Skip to main content

SCO1 Antibody - BSA Free

Novus Biologicals, part of Bio-Techne | Catalog # NBP3-38322

Novus Biologicals, part of Bio-Techne
Catalog #
Availability
Size / Price
Qty
Loading...
NBP3-38322-20ul
NBP3-38322-100ul

Key Product Details

Species Reactivity

Human, Mouse, Rat

Applications

Immunohistochemistry, Immunohistochemistry-Paraffin, Western Blot, ELISA

Label

Unconjugated

Antibody Source

Polyclonal Rabbit IgG

Format

BSA Free

Concentration

Please see the vial label for concentration. If unlisted please contact technical services.

Product Specifications

Immunogen

Recombinant fusion protein containing a sequence corresponding to amino acids 1-160 of human SCO1 (NP_004580.1).

Sequence:
MAMLVLVPGRVMRPLGGQLWRFLPRGLEFWGPAEGTARVLLRQFCARQAEAWRASGRPGYCLGTRPLSTARPPPPWSQKGPGDSTRPSKPGPVSWKSLAITFAIGGALLAGMKHVKKEKAEKLEKERQRHIGKPLLGGPFSLTTHTGERKTDKDYLGQWL

Clonality

Polyclonal

Host

Rabbit

Isotype

IgG

Theoretical MW

34 kDa.
Disclaimer note: The observed molecular weight of the protein may vary from the listed predicted molecular weight due to post translational modifications, post translation cleavages, relative charges, and other experimental factors.

Description

Novus Biologicals Rabbit SCO1 Antibody - BSA Free (NBP3-38322) is a polyclonal antibody validated for use in IHC, WB and ELISA. All Novus Biologicals antibodies are covered by our 100% guarantee.

Scientific Data Images for SCO1 Antibody - BSA Free

SCO1 Antibody

Western Blot: SCO1 Antibody [NBP3-38322] -

Western Blot: SCO1 Antibody [NBP3-38322] - Western blot analysis of various lysates using SCO1 Rabbit pAb at 1:1000 dilution.
Secondary antibody: HRP-conjugated Goat anti-Rabbit IgG (H+L) at 1:10000 dilution.
Lysates/proteins: 25ug per lane.
Blocking buffer: 3% nonfat dry milk in TBST.
Detection: ECL Basic Kit.
Exposure time: 10s.
SCO1 Antibody

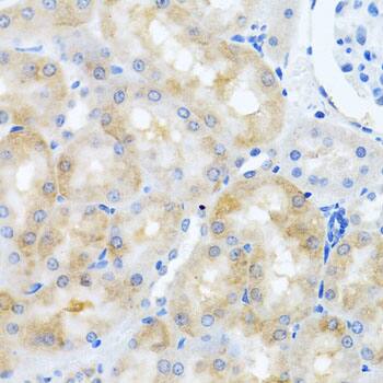
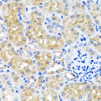
Immunohistochemistry: SCO1 Antibody [NBP3-38322] -

Immunohistochemistry: SCO1 Antibody [NBP3-38322] - Immunohistochemistry analysis of paraffin-embedded Mouse kidney using SCO1 Rabbit pAb at dilution of 1:100 (40x lens). Microwave antigen retrieval performed with 0.01M PBS Buffer (pH 7.2) prior to IHC staining.
SCO1 Antibody

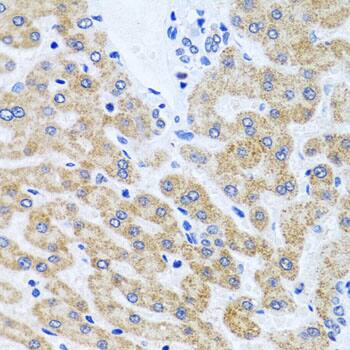
Immunohistochemistry: SCO1 Antibody [NBP3-38322] -

Immunohistochemistry: SCO1 Antibody [NBP3-38322] - Immunohistochemistry analysis of paraffin-embedded Human liver using SCO1 Rabbit pAb at dilution of 1:100 (40x lens). Microwave antigen retrieval performed with 0.01M PBS Buffer (pH 7.2) prior to IHC staining.

Applications for SCO1 Antibody - BSA Free

Application
Recommended Usage

Immunohistochemistry-Paraffin

1:50 - 1:200

Western Blot

1:500 - 1:2000

Formulation, Preparation, and Storage

Purification

Affinity purified

Formulation

PBS (pH 7.3), 50% glycerol

Format

BSA Free

Preservative

0.02% Sodium Azide

Concentration

Please see the vial label for concentration. If unlisted please contact technical services.

Shipping

The product is shipped with polar packs. Upon receipt, store it immediately at the temperature recommended below.

Stability & Storage

Store at -20C. Avoid freeze-thaw cycles.

Background: SCO1

Mammalian cytochrome c oxidase (COX) catalyzes the transfer of reducing equivalents from cytochrome c to molecular oxygen and pumps protons across the inner mitochondrial membrane. In yeast, 2 related COX assembly genes, SCO1 and SCO2 (synthesis of cytochrome c oxidase), enable subunits 1 and 2 to be incorporated into the holoprotein. This gene is the human homolog to the yeast SCO1 gene. (provided by RefSeq)

Alternate Names

protein SCO1 homolog, mitochondrial, SCO cytochrome oxidase deficient homolog 1 (yeast), SCOD1SCO (cytochrome oxidase deficient, yeast) homolog 1

Gene Symbol

SCO1

Additional SCO1 Products

Product Documents for SCO1 Antibody - BSA Free

Certificate of Analysis

To download a Certificate of Analysis, please enter a lot number in the search box below.

Product Specific Notices for SCO1 Antibody - BSA Free

This product is for research use only and is not approved for use in humans or in clinical diagnosis. Primary Antibodies are guaranteed for 1 year from date of receipt.

Loading...
Loading...
Loading...
Loading...