Skip to main content

SATB2 Antibody - BSA Free

Novus Biologicals, part of Bio-Techne | Catalog # NBP1-76913

Novus Biologicals, part of Bio-Techne

Key Product Details

Species Reactivity

Human, Mouse, Rat

Applications

Immunohistochemistry, Immunohistochemistry-Paraffin, Western Blot, ELISA, Immunocytochemistry/ Immunofluorescence

Label

Unconjugated

Antibody Source

Polyclonal Rabbit IgG

Format

BSA Free

Concentration

1 mg/ml

Product Specifications

Immunogen

Antibody was raised against a 14 amino acid synthetic peptide near the carboxy terminus of the human SATB2. The immunogen is located within amino acids 570 - 620 of SATB2. Amino Acid Squence: SQPAKESSPPREEA

Specificity

At least two isoforms of SATB2 are known to exist. This SATB2 antibody will not cross-react with SATB1.

Clonality

Polyclonal

Host

Rabbit

Isotype

IgG

Description

Novus Biologicals Rabbit SATB2 Antibody - BSA Free (NBP1-76913) is a polyclonal antibody validated for use in IHC, WB, ELISA and ICC/IF. All Novus Biologicals antibodies are covered by our 100% guarantee.

Scientific Data Images for SATB2 Antibody - BSA Free

Western Blot: SATB2 AntibodyBSA Free [NBP1-76913]

Western Blot: SATB2 AntibodyBSA Free [NBP1-76913]

Western Blot: SATB2 Antibody [NBP1-76913] - A20 cell lysate with SATB2 antibody at (A) 2 and (B) 4 ug/mL.
Immunocytochemistry/ Immunofluorescence: SATB2 Antibody - BSA Free [NBP1-76913]

Immunocytochemistry/ Immunofluorescence: SATB2 Antibody - BSA Free [NBP1-76913]

Immunocytochemistry/Immunofluorescence: SATB2 Antibody [NBP1-76913] - Immunofluorescence of SATB2 in Human Brain cells with SATB2 antibody at 50 ug/mL.
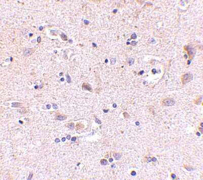
Immunohistochemistry-Paraffin: SATB2 Antibody - BSA Free [NBP1-76913]

Immunohistochemistry-Paraffin: SATB2 Antibody - BSA Free [NBP1-76913]

Immunohistochemistry-Paraffin: SATB2 Antibody [NBP1-76913] - Human brain with SATB2 antibody at 5 ug/ml.

Applications for SATB2 Antibody - BSA Free

Application
Recommended Usage

ELISA

1:100-1:2000

Immunocytochemistry/ Immunofluorescence

20 ug/ml

Immunohistochemistry

5 ug/ml

Immunohistochemistry-Paraffin

5 ug/ml

Western Blot

2-4 ug/ml

Formulation, Preparation, and Storage

Purification

Peptide affinity purified

Formulation

PBS

Format

BSA Free

Preservative

0.02% Sodium Azide

Concentration

1 mg/ml

Shipping

The product is shipped with polar packs. Upon receipt, store it immediately at the temperature recommended below.

Stability & Storage

Store at 4C short term. Aliquot and store at -20C long term. Avoid freeze-thaw cycles.

Background: SATB2

Human special AT-rich sequence-binding protein-2 (SATB2) is a nuclear matrix/scaffold-associated region DNA-binding protein. Like its homolog SATB1, SATB2 selectively binds double-stranded, special AT-rich DNA sequences, but is expressed primarily in a subset of postmitotic, differentiating neurons in the neocortex. Mice deficient in SATB exhibit craniofacial abnormalities and defects in osteoblast differentiation and function. SATB2 also interacts with and enhances the activity of Runx2 and ATF4, two transcription factors that regulate osteoblast differentiation, indicating that SATB2 acts as a molecular node in a transcriptional network regulating skeletal development and osteoblast differentiation. Recent experiments have shown that SATB2 interacts with histone deacetylase 1 and metastasis-associated protein 2, two proteins that are involved in chromatin remodeling, suggesting that SATB2 may also be involved in mediating epigenetic influences during cortical development. At least two isoforms of SATB2 are known to exist. This SATB2 antibody will not cross-react with SATB1.

Alternate Names

DNA-binding protein SATB2, FLJ32076, KIAA1034FLJ21474, MGC119474, MGC119477, SATB family member 2, SATB homeobox 2, Special AT-rich sequence-binding protein 2

Gene Symbol

SATB2

UniProt

Additional SATB2 Products

Product Documents for SATB2 Antibody - BSA Free

Certificate of Analysis

To download a Certificate of Analysis, please enter a lot number in the search box below.

Product Specific Notices for SATB2 Antibody - BSA Free

This product is for research use only and is not approved for use in humans or in clinical diagnosis. Primary Antibodies are guaranteed for 1 year from date of receipt.

Loading...
Loading...
Loading...
Loading...