Skip to main content

SARM1 Antibody (HL1066) - Azide and BSA Free

Novus Biologicals, part of Bio-Techne | Catalog # NBP3-13707

Recombinant Monoclonal Antibody
Novus Biologicals, part of Bio-Techne
Catalog #
Availability
Size / Price
Qty
Loading...
NBP3-13707

Key Product Details

Validated by

Orthogonal Validation, Independent Antibodies

Species Reactivity

Human, Mouse, Rat

Applications

Immunocytochemistry/ Immunofluorescence, Immunohistochemistry, Immunohistochemistry-Paraffin, Western Blot

Label

Unconjugated

Antibody Source

Recombinant Monoclonal Rabbit IgG Clone # HL1066

Format

Azide and BSA Free

Concentration

Concentrations vary lot to lot. See vial label for concentration. If unlisted please contact technical services.

Product Specifications

Immunogen

Recombinant protein encompassing a sequence within the C-terminus region of human SARM1. The exact sequence is proprietary.

Clonality

Monoclonal

Host

Rabbit

Isotype

IgG

Theoretical MW

79 kDa.
Disclaimer note: The observed molecular weight of the protein may vary from the listed predicted molecular weight due to post translational modifications, post translation cleavages, relative charges, and other experimental factors.

Description

Centrifuge briefly prior to opening.

Scientific Data Images for SARM1 Antibody (HL1066) - Azide and BSA Free

Western Blot: SARM1 Antibody (HL1066) [NBP3-13707]

Western Blot: SARM1 Antibody (HL1066) [NBP3-13707]

Western Blot: SARM1 Antibody (HL1066) [NBP3-13707] - Mouse tissue extract (50 ug) was separated by 7.5% SDS-PAGE, and the membranes were blotted with SARM1 antibody [HL1066] (NBP3-13707) diluted at 1:1000 and competitor's antibody (#Highly cited antibody) diluted at 1:500. The HRP-conjugated anti-FALSE was used to detect the primary antibody.
Western Blot: SARM1 Antibody (HL1066) [NBP3-13707]

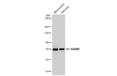
Western Blot: SARM1 Antibody (HL1066) [NBP3-13707]

Western Blot: SARM1 Antibody (HL1066) [NBP3-13707] - Various tissue extracts (50 ug) were separated by 7.5% SDS-PAGE, and the membrane was blotted with SARM1 antibody [HL1066] (NBP3-13707) diluted at 1:1000. The HRP-conjugated anti-rabbit IgG antibody (NBP2-19301) was used to detect the primary antibody.
SARM1 Antibody (HL1066)

ICC/IF:SARM1 Antibody (HL1066) [NBP3-13707] -

ICC/IF:SARM1 Antibody (HL1066) [NBP3-13707]-SH-SY-5Y cells were fixed in 4% paraformaldehyde at RT for 15 min.Green: SARM1 stained by SARM1 antibody [HL1066] diluted at 1:500.Red: alpha Tubulin, a cytoskeleton marker, stained by alpha Tubulin antibody [114] diluted at 1:1000.Blue: Fluoroshield with DAPI.

Applications for SARM1 Antibody (HL1066) - Azide and BSA Free

Application
Recommended Usage

Immunocytochemistry/ Immunofluorescence

Assay dependent

Immunohistochemistry

Assay dependent

Immunohistochemistry-Paraffin

Assay dependent

Western Blot

1:500-1:3000

Formulation, Preparation, and Storage

Purification

Protein A purified

Formulation

PBS

Format

Azide and BSA Free

Preservative

No Preservative

Concentration

Concentrations vary lot to lot. See vial label for concentration. If unlisted please contact technical services.

Shipping

The product is shipped with polar packs. Upon receipt, store it immediately at the temperature recommended below.

Stability & Storage

Store at 4C short term. Aliquot and store at -20C long term. Avoid freeze-thaw cycles.

Background: SARM1

Toll-like receptors (TLRs) play an essential role in the detection and elimination of invading microbes. They are type-1 transmembrane receptors, containing extracellular leucine rich repeats and an intracellular Toll/interleukin-1 receptor (TIR) domain. Upon stimulation, these receptors interact with specific TIR domain-containing adaptor proteins. Five such adaptors have been discovered to date, MyD88, Mal (MyD88 adaptor-like)/TIRAP (TIR domain-containing adaptor protein), Trif (TIR-domain-containing adaptor inducing interferon-beta), TRAM (Trif-related adaptor molecule) and SARM (SAM and ARM-containing protein). Different TLRs use different combinations of these adaptors, leading to the activation of common and unique pathways involved in the elimination of the invading microbe.

Long Name

Sterile alpha and TIR Motif Containing 1

Alternate Names

SAMD2

Gene Symbol

SARM1

Additional SARM1 Products

Product Documents for SARM1 Antibody (HL1066) - Azide and BSA Free

Certificate of Analysis

To download a Certificate of Analysis, please enter a lot number in the search box below.

Product Specific Notices for SARM1 Antibody (HL1066) - Azide and BSA Free

This product is for research use only and is not approved for use in humans or in clinical diagnosis. Primary Antibodies are guaranteed for 1 year from date of receipt.

Loading...
Loading...
Loading...
Loading...