Skip to main content

SARG Antibody - BSA Free

Novus Biologicals, part of Bio-Techne | Catalog # NBP1-81956

Novus Biologicals, part of Bio-Techne
Catalog #
Availability
Size / Price
Qty
Loading...
NBP1-81956

Key Product Details

Validated by

Independent Antibodies

Species Reactivity

Human

Applications

Immunohistochemistry, Immunohistochemistry-Paraffin, Western Blot

Label

Unconjugated

Antibody Source

Polyclonal Rabbit IgG

Format

BSA Free

Concentration

Concentrations vary lot to lot. See vial label for concentration. If unlisted please contact technical services.

Product Specifications

Immunogen

This antibody was developed against Recombinant Protein corresponding to amino acids: SGEDPNSRLAPLTTPKPRKLPPNIVLKSSRSSFHSDPQHWLSRHTEAAPGDSGLISCSLQEQRKARKEALEKLGLPQDQDEPGLHLSKPTSSIRPKETRAQHLSPAPGLAQPAAPAQASAAIPAAG

Clonality

Polyclonal

Host

Rabbit

Isotype

IgG

Scientific Data Images for SARG Antibody - BSA Free

Western Blot: SARG Antibody [NBP1-81956]

Western Blot: SARG Antibody [NBP1-81956]

Western Blot: SARG Antibody [NBP1-81956] - Analysis using Anti-C1orf116 antibody NBP1-81956 (A) shows similar pattern to independent antibody NBP1-83487 (B).
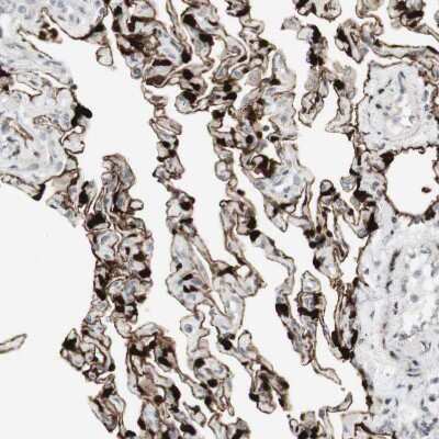
Immunohistochemistry-Paraffin: SARG Antibody [NBP1-81956]

Immunohistochemistry-Paraffin: SARG Antibody [NBP1-81956]

Immunohistochemistry-Paraffin: SARG Antibody [NBP1-81956] - Analysis in human lung and lymph node tissues using NBP1-81956 antibody. Corresponding C1orf116 RNA-seq data are presented for the same tissues.
Immunohistochemistry-Paraffin: SARG Antibody [NBP1-81956]

Immunohistochemistry-Paraffin: SARG Antibody [NBP1-81956]

Immunohistochemistry-Paraffin: SARG Antibody [NBP1-81956] - Staining of human liver shows low expression as expected.

Applications for SARG Antibody - BSA Free

Application
Recommended Usage

Immunohistochemistry

1:50 - 1:200

Immunohistochemistry-Paraffin

1:50 - 1:200

Western Blot

0.04-0.4 ug/ml
Application Notes
For IHC-Paraffin, HIER pH 6 retrieval is recommended.

Formulation, Preparation, and Storage

Purification

Affinity purified

Formulation

PBS (pH 7.2) and 40% Glycerol

Format

BSA Free

Preservative

0.02% Sodium Azide

Concentration

Concentrations vary lot to lot. See vial label for concentration. If unlisted please contact technical services.

Shipping

The product is shipped with polar packs. Upon receipt, store it immediately at the temperature recommended below.

Stability & Storage

Store at 4C short term. Aliquot and store at -20C long term. Avoid freeze-thaw cycles.

Background: SARG

Alternate Names

chromosome 1 open reading frame 116, DKFZp666H2010, MGC2742

Gene Symbol

C1ORF116

Additional SARG Products

Product Documents for SARG Antibody - BSA Free

Certificate of Analysis

To download a Certificate of Analysis, please enter a lot number in the search box below.

Product Specific Notices for SARG Antibody - BSA Free

This product is for research use only and is not approved for use in humans or in clinical diagnosis. Primary Antibodies are guaranteed for 1 year from date of receipt.

Loading...
Loading...
Loading...
Loading...