SALL4 Antibody (A9G9-R)
Novus Biologicals, part of Bio-Techne | Catalog # NBP3-32926
Recombinant Monoclonal Antibody
Key Product Details
Species Reactivity
Human
Applications
Immunohistochemistry, Immunohistochemistry-Paraffin, Western Blot, Flow Cytometry, Immunocytochemistry/ Immunofluorescence
Label
Unconjugated
Antibody Source
Recombinant Monoclonal Mouse IgG1 Clone # A9G9-R expressed in HEK293
Concentration
1 mg/ml
Product Specifications
Immunogen
Recombinant protein within human SALL4 aa 904-1,053/1,053. (Uniprot: Q9UJQ4)
Localization
Cytoplasm, Nucleus.
Clonality
Monoclonal
Host
Mouse
Isotype
IgG1
Theoretical MW
112 kDa.
Disclaimer note: The observed molecular weight of the protein may vary from the listed predicted molecular weight due to post translational modifications, post translation cleavages, relative charges, and other experimental factors.
Disclaimer note: The observed molecular weight of the protein may vary from the listed predicted molecular weight due to post translational modifications, post translation cleavages, relative charges, and other experimental factors.
Description
Novus Biologicals Mouse SALL4 Antibody (A9G9-R) (NBP3-32926) is a recombinant monoclonal antibody validated for use in IHC, WB, Flow and ICC/IF. All Novus Biologicals antibodies are covered by our 100% guarantee.
Scientific Data Images for SALL4 Antibody (A9G9-R)
Western Blot: SALL4 Antibody (A9G9-R) [NBP3-32926]
Western Blot: SALL4 Antibody (A9G9-R) [NBP3-32926] - Western blot analysis of SALL4 on NCCIT cell lysates with Mouse anti-SALL4 antibody (NBP3-32926) at 1/2,000 dilution.Lysates/proteins at 20 ug/Lane.
Predicted band size: 112 kDa
Observed band size: 140/110/75 kDa
Exposure time: 1 minute 26 seconds;
4-20% SDS-PAGE gel.
Proteins were transferred to a PVDF membrane and blocked with 5% NFDM/TBST for 1 hour at room temperature. The primary antibody (NBP3-32926) at 1/2,000 dilution was used in 5% NFDM/TBST at 4C overnight. Goat Anti-Mouse IgG - HRP Secondary Antibody at 1/50,000 dilution was used for 1 hour at room temperature.
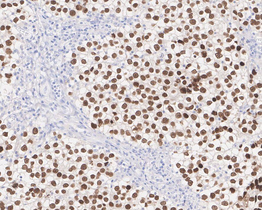
Immunohistochemistry: SALL4 Antibody (A9G9-R) [NBP3-32926]
Immunohistochemistry: SALL4 Antibody (A9G9-R) [NBP3-32926] - Immunohistochemical analysis of paraffin-embedded human seminoma tissue with Mouse anti-SALL4 antibody (NBP3-32926) at 1/4,000 dilution.The section was pre-treated using heat mediated antigen retrieval with sodium citrate buffer (pH 6.0) for 2 minutes. The tissues were blocked in 1% BSA for 20 minutes at room temperature, washed with ddH2O and PBS, and then probed with the primary antibody (NBP3-32926) at 1/4,000 dilution for 1 hour at room temperature. The detection was performed using an HRP conjugated compact polymer system. DAB was used as the chromogen. Tissues were counterstained with hematoxylin and mounted with DPX.
Immunohistochemistry: SALL4 Antibody (A9G9-R) [NBP3-32926]
Immunohistochemistry: SALL4 Antibody (A9G9-R) [NBP3-32926] - Immunofluorescence analysis of paraffin-embedded human seminoma tissue labeling SALL4 with Mouse anti-SALL4 antibody (NBP3-32926) at 1/200 dilution.The section was pre-treated using heat mediated antigen retrieval with sodium citrate buffer (pH 6.0) for 2 minutes. The tissues were blocked in 10% negative goat serum for 1 hour at room temperature, washed with PBS, and then probed with the primary antibody (NBP3-32926, green) at 1/200 dilution overnight at 4 ℃, washed with PBS. Goat Anti-Mouse IgG H&L (iFluor™ 488) was used as the secondary antibody at 1/1,000 dilution. Nuclei were counterstained with DAPI (blue).
Applications for SALL4 Antibody (A9G9-R)
Application
Recommended Usage
Flow Cytometry
1:500-1:1000
Immunocytochemistry/ Immunofluorescence
1:100
Immunohistochemistry-Paraffin
1:2000-1:4000
Western Blot
1:2000
Formulation, Preparation, and Storage
Purification
Protein A purified
Formulation
PBS (pH7.4), 0.1% BSA and 40% Glycerol
Preservative
0.05% Sodium Azide
Concentration
1 mg/ml
Shipping
The product is shipped with polar packs. Upon receipt, store it immediately at the temperature recommended below.
Stability & Storage
Store at 4C short term. Aliquot and store at -20C long term. Avoid freeze-thaw cycles.
Background: SALL4
Long Name
Sal-like 4
Alternate Names
DRRS, HSAL4, ZNF797
Gene Symbol
SALL4
Additional SALL4 Products
Product Documents for SALL4 Antibody (A9G9-R)
Product Specific Notices for SALL4 Antibody (A9G9-R)
This product is for research use only and is not approved for use in humans or in clinical diagnosis. Primary Antibodies are guaranteed for 1 year from date of receipt.
Loading...
Loading...
Loading...
Loading...
Loading...