SALF Antibody - BSA Free
Novus Biologicals, part of Bio-Techne | Catalog # NBP2-20253
Key Product Details
Species Reactivity
Human
Applications
Immunohistochemistry, Immunohistochemistry-Paraffin, Western Blot
Label
Unconjugated
Antibody Source
Polyclonal Rabbit IgG
Format
BSA Free
Concentration
Concentrations vary lot to lot. See vial label for concentration. If unlisted please contact technical services.
Product Specifications
Immunogen
Recombinant protein encompassing a sequence within the C-terminus region of human SALF. The exact sequence is proprietary.
Clonality
Polyclonal
Host
Rabbit
Isotype
IgG
Theoretical MW
132 kDa.
Disclaimer note: The observed molecular weight of the protein may vary from the listed predicted molecular weight due to post translational modifications, post translation cleavages, relative charges, and other experimental factors.
Disclaimer note: The observed molecular weight of the protein may vary from the listed predicted molecular weight due to post translational modifications, post translation cleavages, relative charges, and other experimental factors.
Description
Novus Biologicals Rabbit SALF Antibody - BSA Free (NBP2-20253) is a polyclonal antibody validated for use in IHC and WB. All Novus Biologicals antibodies are covered by our 100% guarantee.
Scientific Data Images for SALF Antibody - BSA Free
Western Blot: SALF Antibody [NBP2-20253]
Western Blot: SALF Antibody [NBP2-20253] - Sample (30 ug of whole cell lysate) A: Raji 5% SDS PAGE gel, diluted at 1:1000.Immunohistochemistry-Paraffin: SALF Antibody [NBP2-20253]
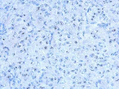
Immunohistochemistry-Paraffin: SALF Antibody [NBP2-20253] - Immunohistochemical analysis of paraffin-embedded Mahlarvu xenograft, using antibody at 1:500 dilution.Applications for SALF Antibody - BSA Free
Application
Recommended Usage
Immunohistochemistry
1:100-1:1000
Immunohistochemistry-Paraffin
1:100-1:1000
Western Blot
1:500-1:3000
Formulation, Preparation, and Storage
Purification
Antigen Affinity-purified
Formulation
0.1M Tris, 0.1M Glycine, 20% Glycerol
Format
BSA Free
Preservative
0.01% Thimerosal
Concentration
Concentrations vary lot to lot. See vial label for concentration. If unlisted please contact technical services.
Shipping
The product is shipped with polar packs. Upon receipt, store it immediately at the temperature recommended below.
Stability & Storage
Aliquot and store at -20C or -80C. Avoid freeze-thaw cycles.
Background: SALF
Alternate Names
MGC126821, MGC126823, SALF, STON1-GTF2A1L protein, STON1-GTF2A1L readthrough, stoned B/TFIIA-alpha/beta-like factor
Gene Symbol
STON1-GTF2A1L
Additional SALF Products
Product Documents for SALF Antibody - BSA Free
Product Specific Notices for SALF Antibody - BSA Free
This product is for research use only and is not approved for use in humans or in clinical diagnosis. Primary Antibodies are guaranteed for 1 year from date of receipt.
Loading...
Loading...
Loading...
Loading...
⚠ WARNING: This product can expose you to chemicals including mercury, which is known to the State of California to cause reproductive toxicity with developmental effects. For more information go to www.P65Warnings.ca.gov.