Skip to main content

S100A3 Antibody (C5) - BSA Free

Novus Biologicals, part of Bio-Techne | Catalog # NBP3-41689

Novus Biologicals, part of Bio-Techne
Catalog #
Availability
Size / Price
Qty
Loading...
NBP3-41689

Key Product Details

Species Reactivity

Human

Applications

Immunohistochemistry, Immunohistochemistry-Paraffin, Western Blot

Label

Unconjugated

Antibody Source

Monoclonal Mouse IgG1 kappa Clone # C5

Format

BSA Free

Concentration

1 mg/ml

Product Specifications

Immunogen

Immunized with recombinant Human S100A3 (Uniprot#: P33764; Met1-Gln101 (Uniprot#: P33764)

Clonality

Monoclonal

Host

Mouse

Isotype

IgG1 kappa

Description

Novus Biologicals Mouse S100A3 Antibody (C5) - BSA Free (NBP3-41689) is a monoclonal antibody validated for use in IHC and WB. All Novus Biologicals antibodies are covered by our 100% guarantee.

Scientific Data Images for S100A3 Antibody (C5) - BSA Free

S100A3 Antibody (C5)

Western Blot: S100A3 Antibody (C5) [NBP3-41689] -

Western Blot: S100A3 Antibody (C5) [NBP3-41689] - Sample: Recombinant S100A3, Human.
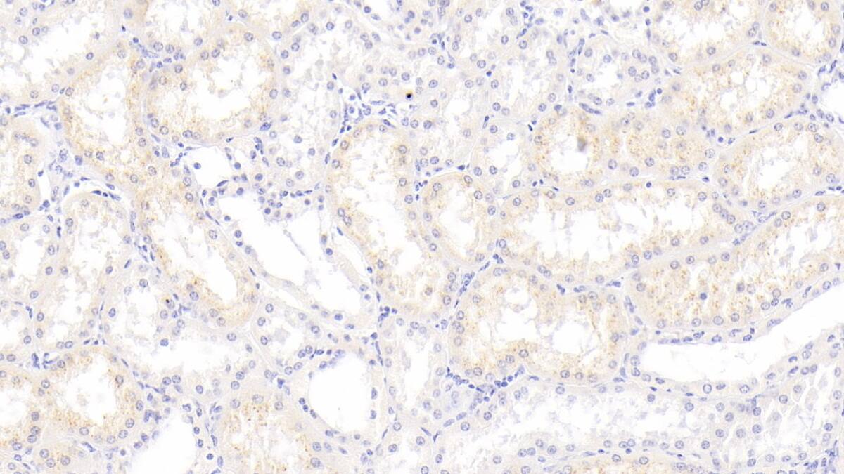
S100A3 Antibody (C5)

Immunohistochemistry-Paraffin: S100A3 Antibody (C5) [NBP3-41689] -

Immunohistochemistry-Paraffin: S100A3 Antibody (C5) [NBP3-41689] - DAB staining on IHC-P; Samples: Human Kidney Tissue; Primary Ab: 30ug/ml NBP3-41689; Second Ab: 2ug/mL HRP-Linked Caprine Anti-Mouse IgG Polyclonal Antibody

Applications for S100A3 Antibody (C5) - BSA Free

Application
Recommended Usage

Immunohistochemistry

5-30ug/mL

Immunohistochemistry-Paraffin

5-30ug/mL

Western Blot

0.5-3ug/mL

Formulation, Preparation, and Storage

Purification

Protein A or G purified

Formulation

0.01M PBS, pH7.4, 50% glycerol

Format

BSA Free

Preservative

0.05% Proclin 300

Concentration

1 mg/ml

Shipping

The product is shipped with polar packs. Upon receipt, store it immediately at the temperature recommended below.

Stability & Storage

Store at 4C short term. Aliquot and store at -20C long term. Avoid freeze-thaw cycles.

Background: S100A3

S100A3 - S100 calcium binding protein A3

Alternate Names

Protein S-100E, S100 calcium binding protein A3, S100 calcium-binding protein A3S100Eprotein S100-A3

Gene Symbol

S100A3

Additional S100A3 Products

Product Documents for S100A3 Antibody (C5) - BSA Free

Certificate of Analysis

To download a Certificate of Analysis, please enter a lot number in the search box below.

Product Specific Notices for S100A3 Antibody (C5) - BSA Free

This product is for research use only and is not approved for use in humans or in clinical diagnosis. Primary Antibodies are guaranteed for 1 year from date of receipt.

Loading...
Loading...
Loading...
Loading...