RPS14 Antibody - BSA Free
Novus Biologicals, part of Bio-Techne | Catalog # NBP3-38318
Key Product Details
Species Reactivity
Human, Mouse, Rat
Applications
Immunohistochemistry, Immunohistochemistry-Paraffin, Western Blot, ELISA, Immunocytochemistry/ Immunofluorescence
Label
Unconjugated
Antibody Source
Polyclonal Rabbit IgG
Format
BSA Free
Concentration
Please see the vial label for concentration. If unlisted please contact technical services.
Product Specifications
Immunogen
Recombinant fusion protein containing a sequence corresponding to amino acids 1-151 of human RPS14 (NP_005608.1).
Sequence:
MAPRKGKEKKEEQVISLGPQVAEGENVFGVCHIFASFNDTFVHVTDLSGKETICRVTGGMKVKADRDESSPYAAMLAAQDVAQRCKELGITALHIKLRATGGNRTKTPGPGAQSALRALARSGMKIGRIEDVTPIPSDSTRRKGGRRGRRL
Sequence:
MAPRKGKEKKEEQVISLGPQVAEGENVFGVCHIFASFNDTFVHVTDLSGKETICRVTGGMKVKADRDESSPYAAMLAAQDVAQRCKELGITALHIKLRATGGNRTKTPGPGAQSALRALARSGMKIGRIEDVTPIPSDSTRRKGGRRGRRL
Clonality
Polyclonal
Host
Rabbit
Isotype
IgG
Theoretical MW
16 kDa.
Disclaimer note: The observed molecular weight of the protein may vary from the listed predicted molecular weight due to post translational modifications, post translation cleavages, relative charges, and other experimental factors.
Disclaimer note: The observed molecular weight of the protein may vary from the listed predicted molecular weight due to post translational modifications, post translation cleavages, relative charges, and other experimental factors.
Scientific Data Images for RPS14 Antibody - BSA Free
Western Blot: RPS14 Antibody [NBP3-38318] -
Western Blot: RPS14 Antibody [NBP3-38318] - Western blot analysis of various lysates using RPS14 Rabbit pAb at 1:1000 dilution.Secondary antibody: HRP-conjugated Goat anti-Rabbit IgG (H+L) at 1:10000 dilution.
Lysates/proteins: 25ug per lane.
Blocking buffer: 3% nonfat dry milk in TBST.
Detection: ECL Basic Kit.
Exposure time: 30s.
Immunocytochemistry/ Immunofluorescence: RPS14 Antibody [NBP3-38318] -
Immunocytochemistry/ Immunofluorescence: RPS14 Antibody [NBP3-38318] - Immunofluorescence analysis of MCF7 cells using RPS14 Rabbit pAb. Secondary antibody: Cy3-conjugated Goat anti-Rabbit IgG (H+L) at 1:500 dilution. Blue: DAPI for nuclear staining.Immunohistochemistry: RPS14 Antibody [NBP3-38318] -
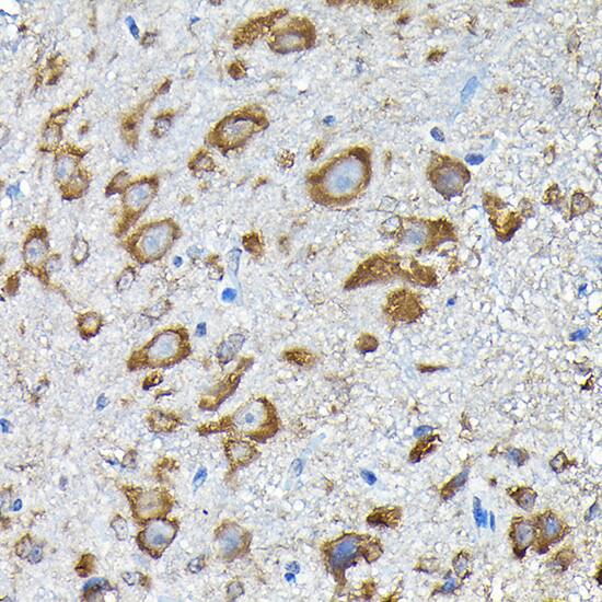
Immunohistochemistry: RPS14 Antibody [NBP3-38318] - Immunohistochemistry analysis of paraffin-embedded Mouse spinal cord using RPS14 Rabbit pAb at dilution of 1:200 (40x lens). High pressure antigen retrieval performed with 0.01M Citrate Bufferr (pH 6.0) prior to IHC staining.Applications for RPS14 Antibody - BSA Free
Application
Recommended Usage
ELISA
Recommended starting concentration is 1 μg/mL.
Immunocytochemistry/ Immunofluorescence
1:50 - 1:200
Immunohistochemistry-Paraffin
1:50 - 1:200
Western Blot
1:500 - 1:2000
Formulation, Preparation, and Storage
Purification
Affinity purified
Formulation
PBS (pH 7.3), 50% glycerol
Format
BSA Free
Preservative
0.02% Sodium Azide
Concentration
Please see the vial label for concentration. If unlisted please contact technical services.
Shipping
The product is shipped with polar packs. Upon receipt, store it immediately at the temperature recommended below.
Stability & Storage
Store at -20C. Avoid freeze-thaw cycles.
Background: RPS14
Alternate Names
emetine resistance, EMTB40S ribosomal protein S14, ribosomal protein S14
Gene Symbol
RPS14
Additional RPS14 Products
Product Documents for RPS14 Antibody - BSA Free
Product Specific Notices for RPS14 Antibody - BSA Free
This product is for research use only and is not approved for use in humans or in clinical diagnosis. Primary Antibodies are guaranteed for 1 year from date of receipt.
Loading...
Loading...
Loading...
Loading...