Skip to main content

RPS13 Antibody - BSA Free

Novus Biologicals, part of Bio-Techne | Catalog # NBP1-92350

Novus Biologicals, part of Bio-Techne
Catalog #
Availability
Size / Price
Qty
Loading...
NBP1-92350
NBP1-92350-25ul

Key Product Details

Species Reactivity

Validated:

Human

Predicted:

Mouse (100%), Rat (100%). Backed by our 100% Guarantee.

Applications

Immunohistochemistry, Immunohistochemistry-Paraffin, Immunocytochemistry/ Immunofluorescence

Label

Unconjugated

Antibody Source

Polyclonal Rabbit IgG

Format

BSA Free

Concentration

Concentrations vary lot to lot. See vial label for concentration. If unlisted please contact technical services.

Product Specifications

Immunogen

This antibody was developed against Recombinant Protein corresponding to amino acids: RSVPTWLKLTSDDVKEQIYKLAKKGLTPSQIGVILRDSHGVAQVRFVTGNKILRILKSKGLAPDLPEDLYHLIKKAVAVRKHLERNRKDKDAKFRLILIESRIHRLARYYKTKRVLPPNWKYESSTA

Clonality

Polyclonal

Host

Rabbit

Isotype

IgG

Description

Novus Biologicals Rabbit RPS13 Antibody - BSA Free (NBP1-92350) is a polyclonal antibody validated for use in IHC and ICC/IF. All Novus Biologicals antibodies are covered by our 100% guarantee.

Scientific Data Images for RPS13 Antibody - BSA Free

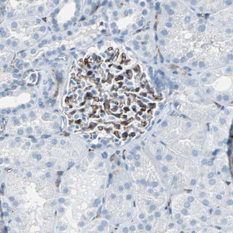
Immunohistochemistry-Paraffin: RPS13 Antibody [NBP1-92350]

Immunohistochemistry-Paraffin: RPS13 Antibody [NBP1-92350]

Immunohistochemistry-Paraffin: RPS13 Antibody [NBP1-92350] - Staining of human stomach shows cytoplasmic positivity in glandular cells.
Immunocytochemistry/ Immunofluorescence: RPS13 Antibody [NBP1-92350]

Immunocytochemistry/ Immunofluorescence: RPS13 Antibody [NBP1-92350]

Immunocytochemistry/Immunofluorescence: RPS13 Antibody [NBP1-92350] - Immunofluorescent staining of human cell line A-431 shows localization to nuclear bodies.
RPS13 Antibody - BSA Free Immunocytochemistry/ Immunofluorescence: RPS13 Antibody - BSA Free [NBP1-92350]

Immunocytochemistry/ Immunofluorescence: RPS13 Antibody - BSA Free [NBP1-92350]

Staining of human cell line HEK 293 shows localization to endoplasmic reticulum.

Applications for RPS13 Antibody - BSA Free

Application
Recommended Usage

Immunocytochemistry/ Immunofluorescence

0.25-2 ug/ml

Immunohistochemistry

1:20 - 1:50

Immunohistochemistry-Paraffin

1:20 - 1:50
Application Notes
For IHC-Paraffin, HIER pH 6 retrieval is recommended. Immunocytochemistry/Immunofluorescence Fixation Permeabilization: Use PFA/Triton X-100.

Formulation, Preparation, and Storage

Purification

Immunogen affinity purified

Formulation

PBS (pH 7.2) and 40% Glycerol

Format

BSA Free

Preservative

0.02% Sodium Azide

Concentration

Concentrations vary lot to lot. See vial label for concentration. If unlisted please contact technical services.

Shipping

The product is shipped with polar packs. Upon receipt, store it immediately at the temperature recommended below.

Stability & Storage

Store at 4C short term. Aliquot and store at -20C long term. Avoid freeze-thaw cycles.

Background: RPS13

Ribosomes, the organelles that catalyze protein synthesis, consist of a small 40S subunit and a large 60S subunit. Together these subunits are composed of 4 RNA species and approximately 80 structurally distinct proteins. This gene encodes a ribosomal protein that is a component of the 40S subunit. The protein belongs to the S15P family of ribosomal proteins. It is located in the cytoplasm. The protein has been shown to bind to the 5.8S rRNA in rat. The gene product of the E. coli ortholog (ribosomal protein S15) functions at early steps in ribosome assembly. This gene is co-transcribed with two U14 small nucleolar RNA genes, which are located in its third and fifth introns. As is typical for genes encoding ribosomal proteins, there are multiple processed pseudogenes of this gene dispersed through the genome. (provided by RefSeq)

Alternate Names

ribosomal protein S13,40S ribosomal protein S13

Gene Symbol

RPS13

Additional RPS13 Products

Product Documents for RPS13 Antibody - BSA Free

Certificate of Analysis

To download a Certificate of Analysis, please enter a lot number in the search box below.

Product Specific Notices for RPS13 Antibody - BSA Free

This product is for research use only and is not approved for use in humans or in clinical diagnosis. Primary Antibodies are guaranteed for 1 year from date of receipt.

Loading...
Loading...
Loading...
Loading...