Skip to main content

RPA2 Antibody (MA34)

Novus Biologicals, part of Bio-Techne | Catalog # NB100-74526

Novus Biologicals, part of Bio-Techne
Catalog #
Availability
Size / Price
Qty
Loading...
NB100-74526
NB100-74526-0.025ml

Key Product Details

Species Reactivity

Human, Rat

Applications

Immunohistochemistry, Immunohistochemistry-Paraffin, Western Blot, Immunocytochemistry/ Immunofluorescence

Label

Unconjugated

Antibody Source

Monoclonal Mouse IgM Clone # MA34

Concentration

1 mg/ml

Product Specifications

Immunogen

RPA p34 subunit isolated from HeLa cells.

Specificity

RPA 34 (MA34)

Clonality

Monoclonal

Host

Mouse

Isotype

IgM

Description

Novus Biologicals Mouse RPA2 Antibody (MA34) (NB100-74526) is a monoclonal antibody validated for use in IHC, WB and ICC/IF. All Novus Biologicals antibodies are covered by our 100% guarantee.

Scientific Data Images for RPA2 Antibody (MA34)

Western Blot: RPA2 Antibody (MA34) [NB100-74526]

Western Blot: RPA2 Antibody (MA34) [NB100-74526]

Western Blot: RPA2 Antibody (MA34) [NB100-74526] - Analysis of purified RPA protein
Immunocytochemistry/ Immunofluorescence: RPA2 Antibody (MA34) [NB100-74526]

Immunocytochemistry/ Immunofluorescence: RPA2 Antibody (MA34) [NB100-74526]

Immunocytochemistry/Immunofluorescence: RPA2 Antibody (MA34) [NB100-74526] - Analysis of RPA34 in A431 cells. Cells were grown on chamber slides and fixed with formaldehyde prior to staining. Cells were probed without (control) or with a RPA34 monoclonal antibody at a dilution of 1:200 overnight at 4C, washed with PBS and incubated with a DyLight-488 conjugated secondary antibody. RPA34 staining (green), F-Actin staining with Phalloidin (red) and nuclei with DAPI (blue) is shown.
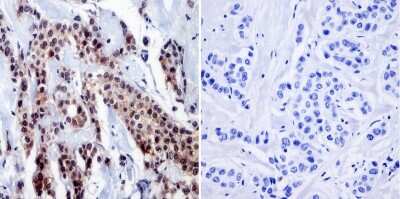
Immunohistochemistry-Paraffin: RPA2 Antibody (MA34) [NB100-74526]

Immunohistochemistry-Paraffin: RPA2 Antibody (MA34) [NB100-74526]

Immunohistochemistry-Paraffin: RPA2 Antibody (MA34) [NB100-74526] - Normal biopsies of deparaffinized Human kidney tissue at a dilution of 1:20.

Applications for RPA2 Antibody (MA34)

Application
Recommended Usage

Immunocytochemistry/ Immunofluorescence

1:100 - 1:1000

Immunohistochemistry

1:10 - 1:100

Immunohistochemistry-Paraffin

1:10 - 1:100

Western Blot

1:500
Application Notes
Useful in WB. By WB it detects a 34 kDa protein representing RPA p34.

Formulation, Preparation, and Storage

Purification

Protein G purified

Formulation

PBS with 1 mg/ml BSA

Preservative

0.05% Sodium Azide

Concentration

1 mg/ml

Shipping

The product is shipped with polar packs. Upon receipt, store it immediately at the temperature recommended below.

Stability & Storage

Store at -20C. Avoid freeze-thaw cycles.

Background: RPA2

RPA p34 is a subunit of replication protein A, also known as Human single-stranded DNA-binding protein (HSSB). P11 and p34 are thought to form the base for the complex before p70 is added to the complex, as they can form stable complexes together, but neither can form a stable complex with p70.

Long Name

Replication Protein A2, 32kDa

Alternate Names

REPA2, RPA32

Gene Symbol

RPA2

Additional RPA2 Products

Product Documents for RPA2 Antibody (MA34)

Certificate of Analysis

To download a Certificate of Analysis, please enter a lot number in the search box below.

Product Specific Notices for RPA2 Antibody (MA34)

This product is for research use only and is not approved for use in humans or in clinical diagnosis. Primary Antibodies are guaranteed for 1 year from date of receipt.

Loading...
Loading...
Loading...
Loading...