Skip to main content

ROMO1 Antibody (OTI2C12) - Azide and BSA Free

Novus Biologicals, part of Bio-Techne | Catalog # NBP2-73928

Novus Biologicals, part of Bio-Techne

Key Product Details

Species Reactivity

Human, Mouse, Rat

Applications

Immunohistochemistry, Immunohistochemistry-Paraffin, Western Blot, Immunocytochemistry/ Immunofluorescence

Label

Unconjugated

Antibody Source

Monoclonal Mouse IgG1 Clone # OTI2C12

Format

Azide and BSA Free

Concentration

LYOPH mg/ml

Product Specifications

Immunogen

Full length human recombinant protein of human ROMO1(NP_542786) produced in HEK293T cell.

Reactivity Notes

Please note that this antibody is reactive to Mouse and derived from the same host, Mouse. Mouse-On-Mouse blocking reagent may be needed for IHC and ICC experiments to reduce high background signal. You can find these reagents under catalog numbers PK-2200-NB and MP-2400-NB. Please contact Technical Support if you have any questions.

Clonality

Monoclonal

Host

Mouse

Isotype

IgG1

Theoretical MW

8 kDa.
Disclaimer note: The observed molecular weight of the protein may vary from the listed predicted molecular weight due to post translational modifications, post translation cleavages, relative charges, and other experimental factors.

Description

Novus Biologicals Mouse ROMO1 Antibody (OTI2C12) - Azide and BSA Free (NBP2-45607) is a monoclonal antibody validated for use in IHC, WB and ICC/IF. All Novus Biologicals antibodies are covered by our 100% guarantee.

Scientific Data Images for ROMO1 Antibody (OTI2C12) - Azide and BSA Free

Western Blot: ROMO1 Antibody (OTI2C12)Azide and BSA Free [NBP2-73928]

Western Blot: ROMO1 Antibody (OTI2C12)Azide and BSA Free [NBP2-73928]

Western Blot: ROMO1 Antibody (OTI2C12) - Azide and BSA Free [NBP2-73928] - Analysis of HEK293T cells were transfected with the pCMV6-ENTRY control (Left lane) or pCMV6-ENTRY ROMO1.
Immunocytochemistry/ Immunofluorescence: ROMO1 Antibody (OTI2C12) - Azide and BSA Free [NBP2-73928]

Immunocytochemistry/ Immunofluorescence: ROMO1 Antibody (OTI2C12) - Azide and BSA Free [NBP2-73928]

Immunocytochemistry/Immunofluorescence: ROMO1 Antibody (OTI2C12) - Azide and BSA Free [NBP2-73928] - Analysis of COS7 cells transiently transfected by pCMV6-ENTRY ROMO1.
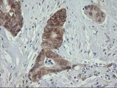
Immunohistochemistry: ROMO1 Antibody (OTI2C12) - Azide and BSA Free [NBP2-73928]

Immunohistochemistry: ROMO1 Antibody (OTI2C12) - Azide and BSA Free [NBP2-73928]

Immunohistochemistry: ROMO1 Antibody (OTI2C12) - Azide and BSA Free [NBP2-73928] - Analysis of Human prostate tissue.

Applications for ROMO1 Antibody (OTI2C12) - Azide and BSA Free

Application
Recommended Usage

Immunocytochemistry/ Immunofluorescence

1:100

Immunohistochemistry

1:150

Western Blot

1:2000

Formulation, Preparation, and Storage

Purification

Immunogen affinity purified

Reconstitution

we recommend adding 100uL distilled water to a final antibody concentration of about 1 mg/mL. To use this carrier-free antibody for conjugation experiment, we strongly recommend performing another round of desalting process.

Formulation

Lyophilized from PBS (pH 7.3) with 8% Trehalose

Format

Azide and BSA Free

Preservative

No Preservative

Concentration

LYOPH mg/ml

Shipping

The product is shipped with polar packs. Upon receipt, store it immediately at the temperature recommended below.

Stability & Storage

Store at -20C. Avoid freeze-thaw cycles.

Background: ROMO1

Alternate Names

reactive oxygen species modulator 1

Gene Symbol

ROMO1

Additional ROMO1 Products

Product Documents for ROMO1 Antibody (OTI2C12) - Azide and BSA Free

Certificate of Analysis

To download a Certificate of Analysis, please enter a lot number in the search box below.

Product Specific Notices for ROMO1 Antibody (OTI2C12) - Azide and BSA Free

This product is for research use only and is not approved for use in humans or in clinical diagnosis. Primary Antibodies are guaranteed for 1 year from date of receipt.

Loading...
Loading...
Loading...
Loading...
Loading...