Rhox11 Antibody - BSA Free
Novus Biologicals, part of Bio-Techne | Catalog # NBP2-23830
Key Product Details
Species Reactivity
Mouse
Applications
Immunohistochemistry, Immunohistochemistry-Paraffin, Western Blot
Label
Unconjugated
Antibody Source
Polyclonal Rabbit IgG
Format
BSA Free
Concentration
This product is unpurified. The exact concentration of antibody is not quantifiable.
Product Specifications
Immunogen
Within the range of amino acids 139-171 of mouse Rhox-11 protein were used as the immunogen.
Clonality
Polyclonal
Host
Rabbit
Isotype
IgG
Description
Novus Biologicals Rabbit Rhox11 Antibody - BSA Free (NBP2-23830) is a polyclonal antibody validated for use in IHC and WB. All Novus Biologicals antibodies are covered by our 100% guarantee.
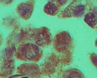
Scientific Data Images for Rhox11 Antibody - BSA Free
Western Blot: Rhox11 Antibody [NBP2-23830]
Western Blot: Rhox11 Antibody [NBP2-23830] - Analysis of Rhox-11 in 12 day mouse testis in the 1) absence and 2) presence of immunizing peptide using this antibody. Goat anti-rabbit Ig HRP secondary antibody and PicoTect ECL substrate solution were used for this test.Immunohistochemistry-Paraffin: Rhox11 Antibody [NBP2-23830]
Immunohistochemistry-Paraffin: Rhox11 Antibody [NBP2-23830] - Analysis of Rhox-11 in formalin-fixed, paraffin-embedded mouse testis tissue using this antibody at 1:100.Applications for Rhox11 Antibody - BSA Free
Application
Recommended Usage
Immunohistochemistry-Paraffin
1: 100
Western Blot
1: 1000-1:2000
Formulation, Preparation, and Storage
Purification
Unpurified
Formulation
Whole sera with 50% Glycerol
Format
BSA Free
Preservative
0.025% Sodium Azide
Concentration
This product is unpurified. The exact concentration of antibody is not quantifiable.
Shipping
The product is shipped with polar packs. Upon receipt, store it immediately at the temperature recommended below.
Stability & Storage
Store at -20C. Avoid freeze-thaw cycles.
Background: Rhox11
Alternate Names
BC049711, Gm39,11, MGC58663, reproductive homeobox 11
Gene Symbol
RHOX11
Additional Rhox11 Products
Product Documents for Rhox11 Antibody - BSA Free
Product Specific Notices for Rhox11 Antibody - BSA Free
This product is for research use only and is not approved for use in humans or in clinical diagnosis. Primary Antibodies are guaranteed for 1 year from date of receipt.
Loading...
Loading...
Loading...
Loading...