Skip to main content

RFC5 Antibody - BSA Free

Novus Biologicals, part of Bio-Techne | Catalog # NBP1-58108

Novus Biologicals, part of Bio-Techne
Catalog #
Availability
Size / Price
Qty
Loading...
NBP1-58108

Key Product Details

Species Reactivity

Human

Applications

Immunohistochemistry, Immunohistochemistry-Paraffin, Western Blot

Label

Unconjugated

Antibody Source

Polyclonal Rabbit IgG

Format

BSA Free

Concentration

0.5 mg/ml

Product Specifications

Immunogen

Synthetic peptides corresponding to RFC5(replication factor C (activator 1) 5, 36.5kDa) The peptide sequence was selected from the N terminal of RFC5. Peptide sequence METSALKQQEQPAATKIRNLPWVEKYRPQTLNDLISHQDILSTIQKFINE. The peptide sequence for this immunogen was taken from within the described region.

Specificity

This product is specific to Subunit or Isoform: 5.

Clonality

Polyclonal

Host

Rabbit

Isotype

IgG

Description

The addition of 50% glycerol is optional for those storing this antibody at -20C and not aliquoting smaller units. However, please note that glycerol may interrupt some downstream antibody applications and should be added with caution.

Scientific Data Images for RFC5 Antibody - BSA Free

Western Blot: RFC5 Antibody [NBP1-58108]

Western Blot: RFC5 Antibody [NBP1-58108]

Western Blot: RFC5 Antibody [NBP1-58108] - Jurkat cell lysate, concentration 1 ug/ml.
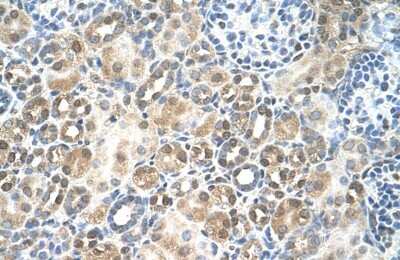
Immunohistochemistry-Paraffin: RFC5 Antibody [NBP1-58108]

Immunohistochemistry-Paraffin: RFC5 Antibody [NBP1-58108]

Immunohistochemistry-Paraffin: RFC5 Antibody [NBP1-58108] - Human kidney Tissue, antibody concentration 4-8ug/ml. Cells with positive label: renal corpuscle cells (indicated with arrows) 400X magnification.

Applications for RFC5 Antibody - BSA Free

Application
Recommended Usage

Immunohistochemistry

1:10-1:500

Immunohistochemistry-Paraffin

1:10-1:500

Western Blot

1.0 ug/ml

Formulation, Preparation, and Storage

Purification

Affinity purified

Formulation

PBS, 2% Sucrose

Format

BSA Free

Preservative

0.09% Sodium Azide

Concentration

0.5 mg/ml

Shipping

The product is shipped with polar packs. Upon receipt, store it immediately at the temperature recommended below.

Stability & Storage

Store at 4C short term. Aliquot and store at -20C long term. Avoid freeze-thaw cycles.

Background: RFC5

The elongation of primed DNA templates by DNA polymerase delta and DNA polymerase epsilon requires the accessory proteins proliferating cell nuclear antigen (PCNA) and replication factor C (RFC). RFC, also named activator 1, is a protein complex consisting of five distinct subunits of 140, 40, 38, 37, and 36 kD. RFC5 is the 36 kD subunit. This subunit can interact with the C-terminal region of PCNA. It forms a core complex with the 38 and 40 kDa subunits. The core complex possesses DNA-dependent ATPase activity, which was found to be stimulated by PCNA in an in vitro system.The elongation of primed DNA templates by DNA polymerase delta and DNA polymerase epsilon requires the accessory proteins proliferating cell nuclear antigen (PCNA) and replication factor C (RFC). RFC, also named activator 1, is a protein complex consisting of five distinct subunits of 140, 40, 38, 37, and 36 kD. This gene encodes the 36 kD subunit. This subunit can interact with the C-terminal region of PCNA. It forms a core complex with the 38 and 40 kDa subunits. The core complex possesses DNA-dependent ATPase activity, which was found to be stimulated by PCNA in an in vitro system. Alternatively spliced transcript variants encoding distinct isoforms have been reported.

Alternate Names

Activator 1 36 kDa subunit, Activator 1 subunit 5,36.5 kD subunit, MGC1155, replication factor C (activator 1) 5, 36.5kDa, RF-C 36 kDa subunit, RFC36replication factor C (activator 1) 5 (36.5kD)

Gene Symbol

RFC5

UniProt

Additional RFC5 Products

Product Documents for RFC5 Antibody - BSA Free

Certificate of Analysis

To download a Certificate of Analysis, please enter a lot number in the search box below.

Product Specific Notices for RFC5 Antibody - BSA Free

This product is for research use only and is not approved for use in humans or in clinical diagnosis. Primary Antibodies are guaranteed for 1 year from date of receipt.

Loading...
Loading...
Loading...
Loading...