REPIN1 Antibody (2X2E9)
Novus Biologicals, part of Bio-Techne | Catalog # NBP3-33519
Key Product Details
Species Reactivity
Human
Applications
Immunohistochemistry, Immunohistochemistry-Paraffin, Western Blot, ELISA
Label
Unconjugated
Antibody Source
Monoclonal Rabbit IgG Clone # 2X2E9
Concentration
Please see the vial label for concentration. If unlisted please contact technical services.
Product Specifications
Immunogen
Recombinant fusion protein containing a sequence corresponding to amino acids 376-567 of human REPIN1 (NP_037532.2).
Sequence:
SCDDCGRSFRLERFLRAHQRQHTGERPFTCAECGKNFGKKTHLVAHSRVHSGERPFACEECGRRFSQGSHLAAHRRDHAPDRPFVCPDCGKAFRHKPYLAAHRRIHTGEKPYVCPDCGKAFSQKSNLVSHRRIHTGERPYACPDCDRSFSQKSNLITHRKSHIRDGAFCCAICGQTFDDEERLLAHQKKHDV
Sequence:
SCDDCGRSFRLERFLRAHQRQHTGERPFTCAECGKNFGKKTHLVAHSRVHSGERPFACEECGRRFSQGSHLAAHRRDHAPDRPFVCPDCGKAFRHKPYLAAHRRIHTGEKPYVCPDCGKAFSQKSNLVSHRRIHTGERPYACPDCDRSFSQKSNLITHRKSHIRDGAFCCAICGQTFDDEERLLAHQKKHDV
Clonality
Monoclonal
Host
Rabbit
Isotype
IgG
Theoretical MW
64 kDa.
Disclaimer note: The observed molecular weight of the protein may vary from the listed predicted molecular weight due to post translational modifications, post translation cleavages, relative charges, and other experimental factors.
Disclaimer note: The observed molecular weight of the protein may vary from the listed predicted molecular weight due to post translational modifications, post translation cleavages, relative charges, and other experimental factors.
Description
Novus Biologicals Rabbit REPIN1 Antibody (2X2E9) (NBP3-33519) is a monoclonal antibody validated for use in IHC, WB and ELISA. All Novus Biologicals antibodies are covered by our 100% guarantee.
Scientific Data Images for REPIN1 Antibody (2X2E9)
Western Blot:REPIN1 Antibody (2X2E9)-
Western Blot:REPIN1 Antibody (2X2E9)-Analysis of lysates from K-562 cells using REPIN1 Rabbit mAb at 1:40000 dilution incubated overnight at 4℃.Secondary antibody: HRP-conjugated Goat anti-Rabbit IgG (H+L) at 1:10000 dilution.Lysates/proteins: 25 μg per lane.Blocking buffer: 3% nonfat dry milk in TBST.Detection: ECL Basic Kit. Exposure time: 45s.Immunohistochemistry-Paraffin:REPIN1 Antibody (2X2E9)-
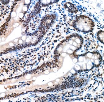
Immunohistochemistry-Paraffin:REPIN1 Antibody (2X2E9)-Human colon tissue using REPIN1 Rabbit mAb at a dilution of 1:200 (40x lens). High pressure antigen retrieval performed with 0.01M Citrate Buffer (pH 6.0) prior to IHC staining.Immunohistochemistry-Paraffin:REPIN1 Antibody (2X2E9)-
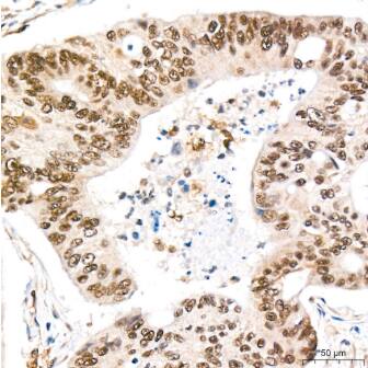
Immunohistochemistry-Paraffin:REPIN1 Antibody (2X2E9)-Human colon carcinoma tissue using REPIN1 Rabbit mAb at a dilution of 1:200 (40x lens). High pressure antigen retrieval performed with 0.01M Citrate Buffer (pH 6.0) prior to IHC staining.Applications for REPIN1 Antibody (2X2E9)
Application
Recommended Usage
ELISA
Recommended starting concentration is 1 μg/mL. Please optimize the concentration based on your specific assay requirements.
Immunohistochemistry
1:200 - 1:2000
Immunohistochemistry-Paraffin
1:200 - 1:2000
Western Blot
1:20000 - 1:80000
Formulation, Preparation, and Storage
Purification
Affinity purified
Formulation
PBS (pH 7.3), 50% glycerol, 0.05% BSA
Preservative
0.02% Sodium Azide
Concentration
Please see the vial label for concentration. If unlisted please contact technical services.
Shipping
The product is shipped with polar packs. Upon receipt, store it immediately at the temperature recommended below.
Stability & Storage
Store at -20C. Avoid freeze-thaw cycles.
Background: REPIN1
Alternate Names
60 kDa origin-specific DNA-binding protein, 60 kDa replication initiation region protein, ATT-binding protein, DHFR oribeta-binding protein RIP60, H_DJ0584D14.12, replication initiation region protein (60kD), replication initiator 1, RIP60AP4, Zfp464, Zinc finger protein 464, zinc finger protein 464 (RIP60), zinc finger protein AP4, zinc finger proten AP4, ZNF464
Gene Symbol
REPIN1
Additional REPIN1 Products
Product Documents for REPIN1 Antibody (2X2E9)
Product Specific Notices for REPIN1 Antibody (2X2E9)
This product is for research use only and is not approved for use in humans or in clinical diagnosis. Primary Antibodies are guaranteed for 1 year from date of receipt.
Loading...
Loading...
Loading...
Loading...