Skip to main content

RENBP Antibody - BSA Free

Novus Biologicals, part of Bio-Techne | Catalog # NBP1-80851

Novus Biologicals, part of Bio-Techne
Catalog #
Availability
Size / Price
Qty
Loading...
NBP1-80851

Key Product Details

Validated by

Orthogonal Validation, Independent Antibodies

Species Reactivity

Human, Mouse, Rat

Applications

Immunohistochemistry, Immunohistochemistry-Paraffin, Western Blot

Label

Unconjugated

Antibody Source

Polyclonal Rabbit IgG

Format

BSA Free

Concentration

Concentrations vary lot to lot. See vial label for concentration. If unlisted please contact technical services.

Product Specifications

Immunogen

This antibody was developed against Recombinant Protein corresponding to amino acids: RILQHVQRDGQAVLENVSEGGKELPGCLGRQQNPGHTLEAGWFLLRHCIRKGDPELRAHVIDKFLLLPFHSGWDPDHGGLFYFQDADNFCPTQLEWAMKLWWPHSEAMIA

Reactivity Notes

Reactivity reported in scientific literature (PMID: 23435261)

Clonality

Polyclonal

Host

Rabbit

Isotype

IgG

Description

Novus Biologicals Rabbit RENBP Antibody - BSA Free (NBP1-80851) is a polyclonal antibody validated for use in IHC and WB. Anti-RENBP Antibody: Cited in 2 publications. All Novus Biologicals antibodies are covered by our 100% guarantee.

Scientific Data Images for RENBP Antibody - BSA Free

Western Blot: RENBP Antibody [NBP1-80851]

Western Blot: RENBP Antibody [NBP1-80851]

Western Blot: RENBP Antibody [NBP1-80851] - Analysis in mouse liver tissue and rat liver tissue.
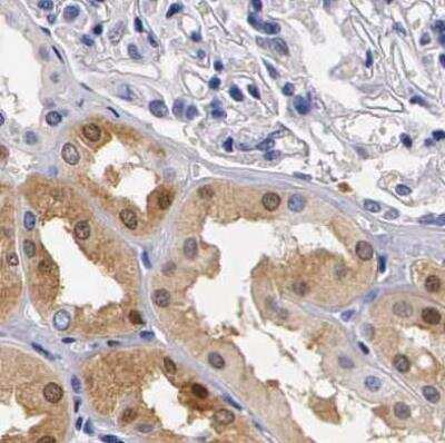
Immunohistochemistry-Paraffin: RENBP Antibody [NBP1-80851]

Immunohistochemistry-Paraffin: RENBP Antibody [NBP1-80851]

Immunohistochemistry-Paraffin: RENBP Antibody [NBP1-80851] - Staining of human cerebral cortex, colon, kidney and lymph node using Anti-RENBP antibody NBP1-80851 (A) shows similar protein distribution across tissues to independent antibody NBP1-80852 (B).
Western Blot: RENBP Antibody [NBP1-80851]

Western Blot: RENBP Antibody [NBP1-80851]

Western Blot: RENBP Antibody [NBP1-80851] - Analysis in human cell lines SK-MEL-30 and PC-3 using anti-RENBP antibody. Corresponding RENBP RNA-seq data are presented for the same cell lines. Loading control: anti-GAPDH.

Applications for RENBP Antibody - BSA Free

Application
Recommended Usage

Immunohistochemistry

1:50 - 1:200

Immunohistochemistry-Paraffin

1:50 - 1:200

Western Blot

0.04-0.4 ug/ml
Application Notes
For IHC-Paraffin, HIER pH 6 retrieval is recommended.

Formulation, Preparation, and Storage

Purification

Affinity purified

Formulation

PBS (pH 7.2) and 40% Glycerol

Format

BSA Free

Preservative

0.02% Sodium Azide

Concentration

Concentrations vary lot to lot. See vial label for concentration. If unlisted please contact technical services.

Shipping

The product is shipped with polar packs. Upon receipt, store it immediately at the temperature recommended below.

Stability & Storage

Store at 4C short term. Aliquot and store at -20C long term. Avoid freeze-thaw cycles.

Background: RENBP

RENBP, also known as N-acylglucosamine 2-epimerase, is a 49kDa 427 amino acid protein with a shorter 29kDa 254 isoform produced by alternative splicing. RENBP functions as a catalyzer in the conversion of N-acetylglucosamine to N-acetylmannosamine. Current research is being conducted on RENBP in relation to sialuria, Wilms tumor, allergic rhinitis, myopathy, vascular disease, hypertension, nephropathy, proteinuria and aldosteronism. RENBP has been linked to the amino sugar and nucleotide sugar metabolism pathways where it interacts with HEXA, HEXB, GNE, REN and ZBED1.

Alternate Names

AGE, EC 5.1.3.8, GlcNAc 2-epimerase, N-acetyl-D-glucosamine 2-epimerase, N-acylglucosamine 2-epimerase, RBP, renin binding protein, Renin-binding protein, RNBP

Entrez Gene IDs

5973 (Human)

Gene Symbol

RENBP

Additional RENBP Products

Product Documents for RENBP Antibody - BSA Free

Certificate of Analysis

To download a Certificate of Analysis, please enter a lot number in the search box below.

Product Specific Notices for RENBP Antibody - BSA Free

This product is for research use only and is not approved for use in humans or in clinical diagnosis. Primary Antibodies are guaranteed for 1 year from date of receipt.

Loading...
Loading...
Loading...
Loading...