RECQL5 Antibody - BSA Free
Novus Biologicals, part of Bio-Techne | Catalog # NBP1-83438
Key Product Details
Species Reactivity
Human
Applications
Validated:
Immunohistochemistry, Immunohistochemistry-Paraffin, Immunocytochemistry/ Immunofluorescence
Cited:
Western Blot, IF/IHC
Label
Unconjugated
Antibody Source
Polyclonal Rabbit IgG
Format
BSA Free
Concentration
Concentrations vary lot to lot. See vial label for concentration. If unlisted please contact technical services.
Product Specifications
Immunogen
This antibody was developed against Recombinant Protein corresponding to amino acids: ELEHETFRNAKVANLYKASVLKKVADIHRASKDGQPYDMGGSAKSCSAQAEPPEPNEYDIPPASHVYSLKPKRVGAGFPKGSCPFQTATELMETTRIREQ
Clonality
Polyclonal
Host
Rabbit
Isotype
IgG
Scientific Data Images for RECQL5 Antibody - BSA Free
Immunocytochemistry/ Immunofluorescence: RECQL5 Antibody [NBP1-83438]
Immunocytochemistry/Immunofluorescence: RECQL5 Antibody [NBP1-83438] - Staining of human cell line A-431 shows localization to nucleus & cytosol. Antibody staining is shown in green.Immunohistochemistry-Paraffin: RECQL5 Antibody [NBP1-83438]
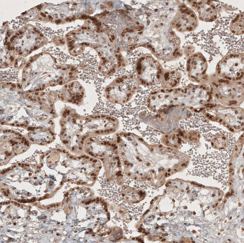
Immunohistochemistry-Paraffin: RECQL5 Antibody [NBP1-83438] - Staining of human placenta shows no positivity in stromal cells as expected.Immunohistochemistry-Paraffin: RECQL5 Antibody [NBP1-83438]
Immunohistochemistry-Paraffin: RECQL5 Antibody [NBP1-83438] - Staining of human testis shows moderate to strong nuclear positivity in squamous epithelial cells.Applications for RECQL5 Antibody - BSA Free
Application
Recommended Usage
Immunocytochemistry/ Immunofluorescence
0.25-2 ug/ml
Immunohistochemistry
1:50 - 1:200
Immunohistochemistry-Paraffin
1:50 - 1:200
Application Notes
IHC-Paraffin, HIER pH 6 retrieval is recommended. ICC/IF, Fixation Permeabilization: Use PFA/Triton X-100.
Formulation, Preparation, and Storage
Purification
Affinity purified
Formulation
PBS (pH 7.2) and 40% Glycerol
Format
BSA Free
Preservative
0.02% Sodium Azide
Concentration
Concentrations vary lot to lot. See vial label for concentration. If unlisted please contact technical services.
Shipping
The product is shipped with polar packs. Upon receipt, store it immediately at the temperature recommended below.
Stability & Storage
Store at 4C short term. Aliquot and store at -20C long term. Avoid freeze-thaw cycles.
Background: RECQL5
Alternate Names
DNA helicase, RecQ-like type 5, EC 3.6.1, EC 3.6.4.12, FLJ90603, RecQ protein-like 5ATP-dependent DNA helicase Q5, RecQ5, RECQ5RecQ protein 5
Gene Symbol
RECQL5
Additional RECQL5 Products
Product Documents for RECQL5 Antibody - BSA Free
Product Specific Notices for RECQL5 Antibody - BSA Free
This product is for research use only and is not approved for use in humans or in clinical diagnosis. Primary Antibodies are guaranteed for 1 year from date of receipt.
Loading...
Loading...
Loading...
Loading...