RARRES3 Antibody - BSA Free
Novus Biologicals, part of Bio-Techne | Catalog # NBP1-59395
Key Product Details
Species Reactivity
Human
Applications
Validated:
Immunohistochemistry, Immunohistochemistry-Paraffin, Western Blot
Cited:
Immunohistochemistry
Label
Unconjugated
Antibody Source
Polyclonal Rabbit IgG
Format
BSA Free
Concentration
1 mg/ml
Product Specifications
Immunogen
Synthetic peptides corresponding to RARRES3(retinoic acid receptor responder (tazarotene induced) 3) The peptide sequence was selected from the middle region of RARRES3.
Peptide sequence FSVLSNSAEVKRERLEDVVGGCCYRVNNSLDHEYQPRPVEVIISSAKEMV. The peptide sequence for this immunogen was taken from within the described region.
Clonality
Polyclonal
Host
Rabbit
Isotype
IgG
Description
The addition of 50% glycerol is optional for those storing this antibody at -20C and not aliquoting smaller units. However, please note that glycerol may interrupt some downstream antibody applications and should be added with caution.
Scientific Data Images for RARRES3 Antibody - BSA Free
Western Blot: RARRES3 Antibody [NBP1-59395]
Western Blot: RARRES3 Antibody [NBP1-59395] - Titration: 5.0ug/ml Positive Control: HepG2 cell lysate.Immunohistochemistry-Paraffin: RARRES3 Antibody [NBP1-59395]
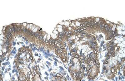
Immunohistochemistry-Paraffin: RARRES3 Antibody [NBP1-59395] - Human Stomach Tissue, Epithelial cells of funic gland (Indicated with Arrows) 4-8ug/ml.Applications for RARRES3 Antibody - BSA Free
Application
Recommended Usage
Immunohistochemistry
1:10-1:500
Immunohistochemistry-Paraffin
1:10-1:500
Western Blot
1.0 ug/ml
Formulation, Preparation, and Storage
Purification
Protein A purified
Formulation
PBS, 2% Sucrose
Format
BSA Free
Preservative
0.09% Sodium Azide
Concentration
1 mg/ml
Shipping
The product is shipped with polar packs. Upon receipt, store it immediately at the temperature recommended below.
Stability & Storage
Store at 4C short term. Aliquot and store at -20C long term. Avoid freeze-thaw cycles.
Background: RARRES3
Long Name
Retinoic Acid Receptor Responder [Tazarotene-induced] 3
Alternate Names
HRASLS4, TIG3
Gene Symbol
PLAAT4
UniProt
Additional RARRES3 Products
Product Documents for RARRES3 Antibody - BSA Free
Product Specific Notices for RARRES3 Antibody - BSA Free
This product is for research use only and is not approved for use in humans or in clinical diagnosis. Primary Antibodies are guaranteed for 1 year from date of receipt.
Loading...
Loading...
Loading...
Loading...