Skip to main content

PTS Antibody - BSA Free

Novus Biologicals, part of Bio-Techne | Catalog # NBP1-32975

Novus Biologicals, part of Bio-Techne
Catalog #
Availability
Size / Price
Qty
Loading...
NBP1-32975

Key Product Details

Validated by

Knockout/Knockdown

Species Reactivity

Validated:

Human, Mouse

Predicted:

Rhesus Macaque (97%). Backed by our 100% Guarantee.

Applications

Knockout Validated, Immunohistochemistry, Immunohistochemistry-Paraffin, Western Blot, Immunocytochemistry/ Immunofluorescence

Label

Unconjugated

Antibody Source

Polyclonal Rabbit IgG

Format

BSA Free

Concentration

Concentrations vary lot to lot. See vial label for concentration. If unlisted please contact technical services.

Product Specifications

Immunogen

Full length human PTS Recombinant protein.

Reactivity Notes

Rat (87%), Bovine (84%).

Clonality

Polyclonal

Host

Rabbit

Isotype

IgG

Theoretical MW

16 kDa.
Disclaimer note: The observed molecular weight of the protein may vary from the listed predicted molecular weight due to post translational modifications, post translation cleavages, relative charges, and other experimental factors.

Scientific Data Images for PTS Antibody - BSA Free

Western Blot: PTS Antibody [NBP1-32975]

Western Blot: PTS Antibody [NBP1-32975]

Western Blot: PTS Antibody [NBP1-32975] - Wild-type (WT) and PTS knockout (KO) HeLa cell extracts (30 ug) were separated by 15% SDS-PAGE, and the membrane was blotted with PTS antibody diluted at 1:500. HRP-conjugated anti-rabbit IgG antibody was used to detect the primary antibody.
Immunocytochemistry/ Immunofluorescence: PTS Antibody [NBP1-32975]

Immunocytochemistry/ Immunofluorescence: PTS Antibody [NBP1-32975]

Immunocytochemistry/Immunofluorescence: PTS Antibody [NBP1-32975] - Analysis of methanol-fixed HeLa, using antibody at 1:100 dilution.
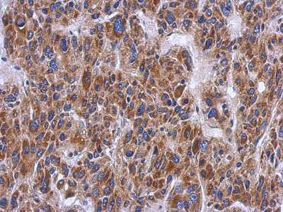
Immunohistochemistry-Paraffin: PTS Antibody [NBP1-32975]

Immunohistochemistry-Paraffin: PTS Antibody [NBP1-32975]

Immunohistochemistry-Paraffin: PTS Antibody [NBP1-32975] - Paraffin-embedded Hepatoma, using antibody at 1:500 dilution.

Applications for PTS Antibody - BSA Free

Application
Recommended Usage

Immunocytochemistry/ Immunofluorescence

1:100-1:1000

Immunohistochemistry

1:100-1:1000

Immunohistochemistry-Paraffin

1:100-1:1000

Western Blot

1:1000-1:10000

Formulation, Preparation, and Storage

Purification

Antigen Affinity-purified

Formulation

0.1M Tris, 0.1M Glycine, 10% Glycerol

Format

BSA Free

Preservative

0.01% Thimerosal

Concentration

Concentrations vary lot to lot. See vial label for concentration. If unlisted please contact technical services.

Shipping

The product is shipped with polar packs. Upon receipt, store it immediately at the temperature recommended below.

Stability & Storage

Aliquot and store at -20C or -80C. Avoid freeze-thaw cycles.

Background: PTS

The enzyme encoded by this gene catalyzes the elimination of inorganic triphosphate from dihydroneopterin triphosphate, which is the second and irreversible step in the biosynthesis of tetrahydrobiopterin from GTP. Tetrahydrobiopterin, also known as BH(4), is an essential cofactor and regulator of various enzyme activities, including enzymes involved in serotonin biosynthesis and NO synthase activity. Mutations in this gene result in hyperphenylalaninemia. [provided by RefSeq]

Alternate Names

6-pyruvoyl tetrahydrobiopterin synthase, 6-pyruvoyltetrahydropterin synthase, EC 4.2.3.12, FLJ97081, PTPSPTP synthase

Gene Symbol

PTS

Additional PTS Products

Product Documents for PTS Antibody - BSA Free

Certificate of Analysis

To download a Certificate of Analysis, please enter a lot number in the search box below.

Product Specific Notices for PTS Antibody - BSA Free

This product is for research use only and is not approved for use in humans or in clinical diagnosis. Primary Antibodies are guaranteed for 1 year from date of receipt.

Loading...
Loading...
Loading...
Loading...

⚠ WARNING: This product can expose you to chemicals including mercury, which is known to the State of California to cause reproductive toxicity with developmental effects.  For more information go to www.P65Warnings.ca.gov.