PSGL-1/CD162 Antibody (HECA-452) - Azide and BSA Free
Novus Biologicals, part of Bio-Techne | Catalog # NBP2-80921
Key Product Details
Species Reactivity
Human, Mouse
Applications
Immunohistochemistry, Immunohistochemistry-Paraffin, Immunohistochemistry-Frozen, Western Blot, ELISA, Flow Cytometry, Flow (Cell Surface), CyTOF-ready
Label
Unconjugated
Antibody Source
Monoclonal Rat IgM Kappa Clone # HECA-452
Format
Azide and BSA Free
Concentration
1 mg/ml
Product Specifications
Immunogen
Human tonsil stroma
Specificity
CLA antibody clone HECA-452 is known to recognize the cutaneous lymphocyte-associated antigen / CLA which is a specialized glycosylated form of P-selectin glycoprotein ligand-1/PSGL-1. Besides lymphocytes, this clone has been shown to react with normal endometrium as well as breast cancer tissues (PMID 19625313 and 22970241).
Clonality
Monoclonal
Host
Rat
Isotype
IgM Kappa
Description
Novus Biologicals Rat PSGL-1/CD162 Antibody (HECA-452) - Azide and BSA Free (NB100-78039) is a monoclonal antibody validated for use in IHC, WB, ELISA and Flow. All Novus Biologicals antibodies are covered by our 100% guarantee.
Scientific Data Images for PSGL-1/CD162 Antibody (HECA-452) - Azide and BSA Free
Western Blot: PSGL-1/CD162 Antibody (HECA-452)Azide and BSA Free [NBP2-80921]
Western Blot: PSGL-1/CD162 Antibody (HECA-452) - Azide and BSA Free [NBP2-80921] - Analysis of human tonsil (1), human spleen (2), and human lymph node (3) tissue using CD162 antibody at a concentration of 2 ug/ml. Image from the standard format of this antibody.Immunohistochemistry: PSGL-1/CD162 Antibody (HECA-452) - Azide and BSA Free [NBP2-80921]
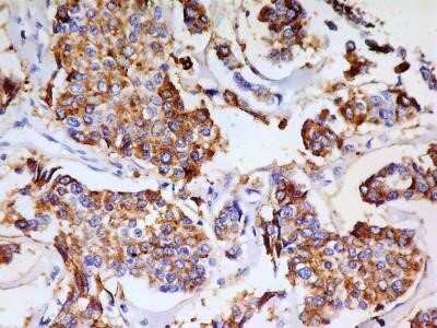
Immunohistochemistry: PSGL-1/CD162 Antibody (HECA-452) - Azide and BSA Free [NBP2-80921] - IHC analysis of formalin-fixed paraffin-embedded tissue section of human breast adenocarcinoma using CLA antibody (clone HECA-452) at 5 ug/ml concentration. The antibody generated a membrane-cytoplasmic staining in the cancerous cells of breast adenocarciFlow (Cell Surface): PSGL-1/CD162 Antibody (HECA-452) - Azide and BSA Free [NBP2-80921]
Flow (Cell Surface): PSGL-1/CD162 Antibody (HECA-452) - Azide and BSA Free [NBP2-80921] - A cell surface stain was performed on CD3+ hPBMCs with Cutaneous Lymphocyte Antigen (CLA) antibody (HECA-452) NB100-78039 and a matched isotype control NBP2-31379. Cells were incubated in an antibody dilution of 1 ug/mL for 20 minutes at room temperature, followed by mouse F(ab)2 IgG (H+L) APC-conjugated secondary antibody [F0101B, R&D Systems]. A co-stain was performed using CD3 antibody NBP2-25186APC. Image from the standard format of this antibody.Applications for PSGL-1/CD162 Antibody (HECA-452) - Azide and BSA Free
Application
Recommended Usage
Flow Cytometry
2 ug/10^6 cells in 100 ul
Immunohistochemistry
1:10-1:500
Immunohistochemistry-Frozen
1:10-1:500
Immunohistochemistry-Paraffin
1:10-1:500
Western Blot
2 ug/ml
Application Notes
This antibody is Cytof ready.
Formulation, Preparation, and Storage
Purification
IgM purified
Formulation
PBS
Format
Azide and BSA Free
Preservative
No Preservative
Concentration
1 mg/ml
Shipping
The product is shipped with polar packs. Upon receipt, store it immediately at the temperature recommended below.
Stability & Storage
Store at 4C short term. Aliquot and store at -20C long term. Avoid freeze-thaw cycles.
Background: PSGL-1/CD162
Long Name
P-Selectin Glycoprotein Ligand 1
Alternate Names
CD162, PSGL1, SELPLG
Gene Symbol
SELPLG
Additional PSGL-1/CD162 Products
Product Documents for PSGL-1/CD162 Antibody (HECA-452) - Azide and BSA Free
Product Specific Notices for PSGL-1/CD162 Antibody (HECA-452) - Azide and BSA Free
This product is for research use only and is not approved for use in humans or in clinical diagnosis. Primary Antibodies are guaranteed for 1 year from date of receipt.
Loading...
Loading...
Loading...
Loading...
Loading...