Skip to main content

Prolactin Antibody (PRL/4908R)

Novus Biologicals, part of Bio-Techne | Catalog # NBP3-07241

Recombinant Monoclonal Antibody
Novus Biologicals, part of Bio-Techne
Catalog #
Availability
Size / Price
Qty
Loading...
NBP3-07241-100ug
NBP3-07241-20ug

Key Product Details

Species Reactivity

Human

Applications

Immunohistochemistry-Paraffin

Label

Unconjugated

Antibody Source

Recombinant Monoclonal Rabbit IgG Clone # PRL/4908R

Concentration

0.2 mg/ml

Product Specifications

Immunogen

Recombinant fragment of human Prolactin (PRL) protein (around aa 63-201) (exact sequence is proprietary) (Uniprot: IDP01236)

Localization

Secreted.

Marker

Pituitary Tumor Marker

Clonality

Monoclonal

Host

Rabbit

Isotype

IgG

Theoretical MW

27 kDa.
Disclaimer note: The observed molecular weight of the protein may vary from the listed predicted molecular weight due to post translational modifications, post translation cleavages, relative charges, and other experimental factors.

Description

200ug/ml of antibody purified from Bioreactor Concentrate by Protein A or G. Prepared in 10 mM PBS with 0.05% BSA & 0.05% azide. Also available WITHOUT BSA & azide at 1.0 mg/ml. (NBP3-08249)

Antibody with azide - store at 2 to 8C. Antibody without azide - store at -20 to -80 C.

Scientific Data Images for Prolactin Antibody (PRL/4908R)

Immunohistochemistry-Paraffin: Prolactin Antibody (PRL/4908R) [NBP3-07241]

Immunohistochemistry-Paraffin: Prolactin Antibody (PRL/4908R) [NBP3-07241]

Immunohistochemistry-Paraffin: Prolactin Antibody (PRL/4908R) [NBP3-07241] - Formalin-fixed, paraffin-embedded human pituitary carcinoma stained with Prolactin Recombinant Rabbit Monoclonal Antibody (PRL/4908R).
Immunohistochemistry-Paraffin: Prolactin Antibody (PRL/4908R) [NBP3-07241]

Immunohistochemistry-Paraffin: Prolactin Antibody (PRL/4908R) [NBP3-07241]

Immunohistochemistry-Paraffin: Prolactin Antibody (PRL/4908R) [NBP3-07241] - Formalin-fixed, paraffin-embedded human pituitary stained with Prolactin Recombinant Rabbit Monoclonal Antibody (PRL/4908R).
Immunohistochemistry-Paraffin: Prolactin Antibody (PRL/4908R) [NBP3-07241]

Immunohistochemistry-Paraffin: Prolactin Antibody (PRL/4908R) [NBP3-07241]

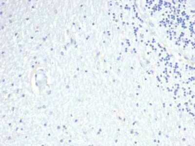
Immunohistochemistry-Paraffin: Prolactin Antibody (PRL/4908R) [NBP3-07241] - IHC analysis of formalin-fixed, paraffin-embedded human brain. Negative tissue control using Prolactin antibody (PRL/4908R) at 2ug/ml in PBS for 30min RT. HIER: Tris/EDTA, pH9.0, 45min. 2 : HRP-polymer, 30min. DAB, 5min.

Applications for Prolactin Antibody (PRL/4908R)

Application
Recommended Usage

Immunohistochemistry-Paraffin

1-2 ug/ml
Application Notes
Immunohistochemistry (Formalin-fixed): 1-2ug/ml for 30 minutes at RT. Staining of formalin-fixed tissues requires heating tissue sections in 10mM Tris with 1mM EDTA, pH 9.0, for 45 min at 95C followed by cooling at RT for 20 minutes.
Optimal dilution for a specific application should be determined.

Formulation, Preparation, and Storage

Purification

Protein A or G purified

Formulation

10 mM PBS with 0.05% BSA

Preservative

0.05% Sodium Azide

Concentration

0.2 mg/ml

Shipping

The product is shipped with polar packs. Upon receipt, store it immediately at the temperature recommended below.

Stability & Storage

Store at 4C.

Background: Prolactin

Various hormones are secreted from the anterior pituitary during development and growth. Prolactin is a growth factor secreted by the anterior pituitary that is necessary for the proliferation and differentiation of the mammary glands.

Alternate Names

PRL

Gene Symbol

PRL

Additional Prolactin Products

Product Documents for Prolactin Antibody (PRL/4908R)

Certificate of Analysis

To download a Certificate of Analysis, please enter a lot number in the search box below.

Product Specific Notices for Prolactin Antibody (PRL/4908R)

This product is for research use only and is not approved for use in humans or in clinical diagnosis. Primary Antibodies are guaranteed for 1 year from date of receipt.

Loading...
Loading...
Loading...
Loading...