Skip to main content

pre-mRNA cleavage factor I (59 kDa subunit) Antibody - BSA Free

Novus Biologicals, part of Bio-Techne | Catalog # NB100-61600

Novus Biologicals, part of Bio-Techne

Key Product Details

Validated by

Independent Antibodies

Species Reactivity

Validated:

Human, Mammal, Primate

Cited:

Mammal, Primate - Macaca mulatta (Rhesus Macaque)

Predicted:

Canine (100%), Chimpanzee (100%), Equine (100%), Guinea Pig (100%), Mouse (100%), Orangutan (100%), Rat (100%), Rhesus Macaque (100%). Backed by our 100% Guarantee.

Applications

Validated:

Immunohistochemistry, Immunohistochemistry-Paraffin, Western Blot, Immunoprecipitation

Cited:

Western Blot

Label

Unconjugated

Antibody Source

Polyclonal Rabbit IgG

Format

BSA Free

Concentration

1.0 mg/ml

Product Specifications

Immunogen

The immunogen recognized by this antibody maps to a region between residue 175 and 225 of human cleavage and polyadenylation specificity factor 7, 59 kDa subunit using the numbering given in entry NP_079087.2 (GeneID 79869).

Reactivity Notes

Based on 100% sequence identity, this antibody is predicted to react with White-tufted-ear marmoset, Crab-eating Macaque, Small-eared Galago and Northern White-cheeked Gibbon. Mammal reactivity reported in scientific literature (PMID: 27180817). Primate reactivity reported in scientific literature (PMID: 24147125).

Clonality

Polyclonal

Host

Rabbit

Isotype

IgG

Description

Novus Biologicals Rabbit pre-mRNA cleavage factor I (59 kDa subunit) Antibody - BSA Free (NB100-61600) is a polyclonal antibody validated for use in IHC, WB and IP. Anti-pre-mRNA cleavage factor I (59 kDa subunit) Antibody: Cited in 2 publications. All Novus Biologicals antibodies are covered by our 100% guarantee.

Scientific Data Images for pre-mRNA cleavage factor I (59 kDa subunit) Antibody - BSA Free

Western Blot: pre-mRNA cleavage factor I (59 kDa subunit) Antibody [NB100-61600]

Western Blot: pre-mRNA cleavage factor I (59 kDa subunit) Antibody [NB100-61600]

pre-mRNA-cleavage-factor-I-59-kDa-subunit-Antibody-Western-Blot-NB100-61600-img0006.jpg
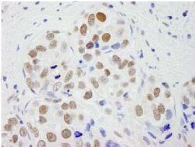
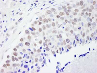
Immunohistochemistry: pre-mRNA cleavage factor I (59 kDa subunit) Antibody [NB100-61600]

Immunohistochemistry: pre-mRNA cleavage factor I (59 kDa subunit) Antibody [NB100-61600]

Immunohistochemistry: pre-mRNA cleavage factor I (59 kDa subunit) Antibody [NB100-61600] - Sample: FFPE section of human breast carcinoma. Antibody: Affinity purified rabbit anti-CPSF59 used at a dilution of 1:500 (2ug/ml). Detection: DAB
Western Blot: pre-mRNA cleavage factor I (59 kDa subunit) Antibody [NB100-61600]

Western Blot: pre-mRNA cleavage factor I (59 kDa subunit) Antibody [NB100-61600]

Western Blot: pre-mRNA cleavage factor I (59 kDa subunit) Antibody [NB100-61600] - Whole cell lysate (1 mg for IP, 20% of IP loaded) from HeLa cells. Affinity purified rabbit anti-CPSF59 antibody NB100-61600 used for IP at 3 mcg/mg lysate. CPSF59 was also immunoprecipitated by rabbit anti-CPSF59 antibody NB100-61599, which recognizes an upstream epitope.

Applications for pre-mRNA cleavage factor I (59 kDa subunit) Antibody - BSA Free

Application
Recommended Usage

Immunohistochemistry

1:10-1:500

Immunohistochemistry-Paraffin

1:100-1:500

Immunoprecipitation

2-5 ug/mg lysate

Western Blot

1:100-1:2000
Application Notes
Although not tested this antibody may be useful in Immunocytochemistry/Immunoflourescence.

Formulation, Preparation, and Storage

Purification

Immunogen affinity purified

Formulation

Tris-Citrate/Phosphate (pH 7.0 - 8.0)

Format

BSA Free

Preservative

0.09% Sodium Azide

Concentration

1.0 mg/ml

Shipping

The product is shipped with polar packs. Upon receipt, store it immediately at the temperature recommended below.

Stability & Storage

Store at 4C. Do not freeze.

Background: pre-mRNA cleavage factor I (59 kDa subunit)

CPSF59 is the the 59 kDa subunit of the cleavage factor Im complex (CFIm). The CFIm is a heterodimer composed of a 25 kDa (CPSF5) subunit and either the 59 kDa (CPSF7) or 68 kDa (CPSF6) subunit and is essential to the first step of pre-mRNA 3 prime-end processing. CPSF59 bears an RNA-recognition motif (RRM).

Alternate Names

CFIm59, cleavage and polyadenylation specific factor 7, 59kDa, CPSF 59 kDa subunit, FLJ12529,59 kDa subunit, FLJ39024, MGC9315, pre-mRNA cleavage factor I, 59 kDa subunit

Entrez Gene IDs

79869 (Human)

Gene Symbol

CPSF7

Additional pre-mRNA cleavage factor I (59 kDa subunit) Products

Product Documents for pre-mRNA cleavage factor I (59 kDa subunit) Antibody - BSA Free

Certificate of Analysis

To download a Certificate of Analysis, please enter a lot number in the search box below.

Product Specific Notices for pre-mRNA cleavage factor I (59 kDa subunit) Antibody - BSA Free

This product is for research use only and is not approved for use in humans or in clinical diagnosis. Primary Antibodies are guaranteed for 1 year from date of receipt.

Loading...
Loading...
Loading...
Loading...