Skip to main content

PPAR alpha/NR1C1 Antibody - N-terminal - BSA Free

Novus Biologicals, part of Bio-Techne | Catalog # NB600-636

Novus Biologicals, part of Bio-Techne

Key Product Details

Species Reactivity

Validated:

Human, Mouse, Rat, Canine

Cited:

Human, Mouse, Rat, Canine, Equine

Applications

Validated:

Immunohistochemistry, Immunohistochemistry-Paraffin, Western Blot, ELISA, Flow Cytometry, Immunocytochemistry/ Immunofluorescence, Chromatin Immunoprecipitation (ChIP)

Cited:

Immunohistochemistry-Paraffin, Western Blot, Immunocytochemistry/ Immunofluorescence, Chemotaxis

Label

Unconjugated

Antibody Source

Polyclonal Rabbit IgG

Format

BSA Free

Concentration

Please see the vial label for concentration. If unlisted please contact technical services.

Product Specifications

Immunogen

PPAR alpha/NR1C1 Antibody was prepared from whole rabbit serum produced by repeated immunizations with a synthetic peptide corresponding to a N-Terminal region near amino acids 1-25 of mouse PPAR alpha/NR1C1. (Uniprot: P23204)

Reactivity Notes

A BLAST analysis was used to suggest reactivity with this protein from bovine, dog, golden hamster and boar sources based on 100% homology for the immunogen sequence. Cross reactivity with PPAR alpha/NR1C1 protein from chimpanzee and rhesus monkey may also occur as this sequence shows 88% homology (16/18 identities) with the protein from these sources. Cross reactivity with PPAR alpha/NR1C1 homologues from other sources has not been determined
Human reactivity reported in scientific literature (PMID: 31095524).

Localization

Nuclear

Specificity

No reactivity is expected against other subtypes of PPAR.

Clonality

Polyclonal

Host

Rabbit

Isotype

IgG

Description

This antibody is directed against mouse PPAR alpha/NR1C1 protein. The product was affinity purified from monospecific antiserum by immunoaffinity purification

Store vial at -20C prior to opening. Aliquot contents and freeze at -20C or below for extended storage. Avoid cycles of freezing and thawing. Centrifuge product if not completely clear after standing at room temperature. This product is stable for several weeks at 4C as an undiluted liquid. Dilute only prior to immediate use.

Scientific Data Images for PPAR alpha/NR1C1 Antibody - N-terminal - BSA Free

Western Blot: PPAR alpha/NR1C1 AntibodyN-terminal [NB600-636]

Western Blot: PPAR alpha/NR1C1 AntibodyN-terminal [NB600-636]

Western Blot: PPAR alpha/NR1C1 Antibody - N-terminal [NB600-636] - Lane 1: NIH/3T3. Load: 10 ug per lane. Primary antibody: PPAR Alpha (N-terminal specific) antibody at 1:1,000 for overnight at 4C. Secondary antibody: Peroxidase rabbit secondary antibody at 1:40,000 for 30 min at RT. Block: Blocking Buffer for Fluorescent Western Blotting at RT for 30 min. Predicted/Observed size: 50 kDa for PPAR Alpha.
Immunocytochemistry/ Immunofluorescence: PPAR alpha/NR1C1 Antibody - N-terminal [NB600-636]

Immunocytochemistry/ Immunofluorescence: PPAR alpha/NR1C1 Antibody - N-terminal [NB600-636]

Immunocytochemistry/Immunofluorescence: PPAR alpha/NR1C1 Antibody - N-terminal [NB600-636] - Rabbit Anti-PPAR alpha (N-terminal specific) antibody using (A) Mouse NIH/3T3 or (B) Human HEK293 cells fixed with MeOH. (C) Secondary antibody only with NIH/3T3 cells. Anti-PPAR alpha antibody was used at 10 ug/mL, 1h at RT degrees . Secondary antibody: Anti-RABBIT IgG DyLight (R) 488 Conjugated Preadsorbed at 5 ug/ml for 1 h at RT. Staining: PPAR as green fluorescent signal with DAPI (blue) nuclear counterstain.
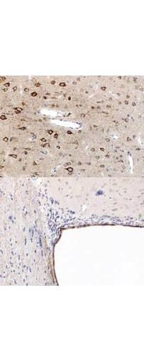
Immunohistochemistry: PPAR alpha/NR1C1 Antibody - N-terminal [NB600-636]

Immunohistochemistry: PPAR alpha/NR1C1 Antibody - N-terminal [NB600-636]

PPAR-alpha-NR1C1-Antibody---N-terminal-Immunohistochemistry-NB600-636-img0022.jpg

Applications for PPAR alpha/NR1C1 Antibody - N-terminal - BSA Free

Application
Recommended Usage

Chromatin Immunoprecipitation (ChIP)

1:10-1:500

ELISA

1:75000-1:125000

Flow Cytometry

1:10-1:1000

Immunocytochemistry/ Immunofluorescence

1-5ug/ml

Immunohistochemistry

1:100-1:300

Immunohistochemistry-Paraffin

1:200

Western Blot

1:500-1:2000
Application Notes
This product has been tested in ELISA, Western Blot, Immunohistochemistry, and Immunofluorescence. Expect a single band approximately 52 kDa in size corresponding to PPAR alpha by western blot in the appropriate tissue or cell lysate. A 1:200 dilution is suggested for Immunohistochemistry. Specific conditions for reactivity should be optimized by the end user.

Use in chromatin immunoprecipitation reported in scientific literature (PMID 26586378).

Formulation, Preparation, and Storage

Purification

Immunogen affinity purified

Formulation

0.02 M Potassium Phosphate, 0.15 M Sodium Chloride, pH 7.2

Format

BSA Free

Preservative

0.01% Sodium Azide

Concentration

Please see the vial label for concentration. If unlisted please contact technical services.

Shipping

The product is shipped with polar packs. Upon receipt, store it immediately at the temperature recommended below.

Stability & Storage

Store at -20C. Avoid freeze-thaw cycles.

Background: PPAR alpha/NR1C1

Since their discovery in the early 1990's, the peroxisome proliferator activated receptors (PPARs) have attracted significant attention. This is primarily because PPARs serve as receptors for two very important classes of drugs: the hypolipidemic fibrates and the insulin sensitizing hiazolidinediones. Peroxisome proliferators are non-genotoxic carcinogens that are purported to exert their effect on cells through their interaction with members of the nuclear hormone receptor family termed PPARs. Nuclear hormone receptors are ligand-dependent intracellular proteins that stimulate transcription of specific genes by binding to specific DNA sequences following activation by the appropriate ligand. Upon binding fatty acids or hypolipidemic drugs, PPARs form heterodimers with retinoid X receptors (RXRs) and these heterodimers regulate the expression of target genes. There are 3 known subtypes of PPARs: PPAR-alpha, PPAR-delta and PPARgamma. Mostly target genes are involved in the catabolism of fatty acids. Conversely, PPAR-gamma is activated by peroxisome proliferators such as prostaglandins, leukotrienes and anti-diabetic thiazolidinediones and affects the expression of genes involved in the storage of the fatty acids. PPAR-gamma may also be involved in adipocyte differentiation. It has also been shown that PPARs can induce transcription of acyl coenzyme A oxidase and cytochrome P450 through interaction with specific response elements.

Long Name

Peroxisome Proliferator-activated Receptor alpha

Alternate Names

NR1C1, PPARA

Entrez Gene IDs

19013 (Mouse); 25747 (Rat)

Gene Symbol

PPARA

UniProt

Additional PPAR alpha/NR1C1 Products

Product Documents for PPAR alpha/NR1C1 Antibody - N-terminal - BSA Free

Certificate of Analysis

To download a Certificate of Analysis, please enter a lot number in the search box below.

Product Specific Notices for PPAR alpha/NR1C1 Antibody - N-terminal - BSA Free

This product is for research use only and is not approved for use in humans or in clinical diagnosis. Primary Antibodies are guaranteed for 1 year from date of receipt.

Loading...
Loading...
Loading...
Loading...
Loading...
Loading...