Skip to main content

POMK/SGK196 Antibody (OTI2B10)

Novus Biologicals, part of Bio-Techne | Catalog # NBP2-45805

Novus Biologicals, part of Bio-Techne
Catalog #
Availability
Size / Price
Qty
Loading...
NBP2-45805

Key Product Details

Species Reactivity

Human

Applications

Immunohistochemistry, Immunohistochemistry-Paraffin, Western Blot

Label

Unconjugated

Antibody Source

Monoclonal Mouse IgG1 Clone # OTI2B10

Concentration

1 mg/ml

Product Specifications

Immunogen

Human recombinant protein fragment corresponding to amino acids 141-350 of human SGK196 (NP_115613) produced in E.coli.

Clonality

Monoclonal

Host

Mouse

Isotype

IgG1

Theoretical MW

39.9 kDa.
Disclaimer note: The observed molecular weight of the protein may vary from the listed predicted molecular weight due to post translational modifications, post translation cleavages, relative charges, and other experimental factors.

Description

Novus Biologicals Mouse POMK/SGK196 Antibody (OTI2B10) (NBP2-45805) is a monoclonal antibody validated for use in IHC and WB. All Novus Biologicals antibodies are covered by our 100% guarantee.

Scientific Data Images for POMK/SGK196 Antibody (OTI2B10)

Western Blot: POMK/SGK196 Antibody (OTI2B10) [NBP2-45805]

Western Blot: POMK/SGK196 Antibody (OTI2B10) [NBP2-45805]

Western Blot: FLJ23356 Antibody (2B10) [NBP2-45805] - Analysis of HEK293T cells were transfected with the pCMV6-ENTRY control (Left lane) or pCMV6-ENTRY FLJ23356.
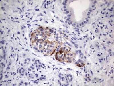
Immunohistochemistry: POMK/SGK196 Antibody (OTI2B10) [NBP2-45805]

Immunohistochemistry: POMK/SGK196 Antibody (OTI2B10) [NBP2-45805]

Immunohistochemistry: FLJ23356 Antibody (2B10) [NBP2-45805] - Analysis of Carcinoma of Human pancreas tissue.

Applications for POMK/SGK196 Antibody (OTI2B10)

Application
Recommended Usage

Immunohistochemistry

1:150

Western Blot

1:2000

Formulation, Preparation, and Storage

Purification

Immunogen affinity purified

Formulation

PBS (pH 7.3), 1.0% BSA and 50% Glycerol

Preservative

0.02% Sodium Azide

Concentration

1 mg/ml

Shipping

The product is shipped with polar packs. Upon receipt, store it immediately at the temperature recommended below.

Stability & Storage

Store at -20C. Avoid freeze-thaw cycles.

Background: POMK/SGK196

Alternate Names

FLJ23356, MGC126597, protein kinase-like protein SgK196, Sugen kinase 196

Gene Symbol

POMK

Additional POMK/SGK196 Products

Product Documents for POMK/SGK196 Antibody (OTI2B10)

Certificate of Analysis

To download a Certificate of Analysis, please enter a lot number in the search box below.

Product Specific Notices for POMK/SGK196 Antibody (OTI2B10)

This product is for research use only and is not approved for use in humans or in clinical diagnosis. Primary Antibodies are guaranteed for 1 year from date of receipt.

Loading...
Loading...
Loading...
Loading...