Skip to main content

Podoplanin Antibody (PDPN/7808R) - Azide and BSA Free

Novus Biologicals, part of Bio-Techne | Catalog # NBP3-20918

Recombinant Monoclonal Antibody
Novus Biologicals, part of Bio-Techne

Key Product Details

Species Reactivity

Human

Applications

Immunohistochemistry-Paraffin, ELISA, Immunocytochemistry/ Immunofluorescence

Label

Unconjugated

Antibody Source

Recombinant Monoclonal Rabbit IgG Kappa Clone # PDPN/7808R

Format

Azide and BSA Free

Concentration

1 mg/ml

Product Specifications

Immunogen

Recombinant fragment (around aa1-100) of human Podoplanin protein (exact sequence is proprietary)

Localization

Cell surface.

Clonality

Monoclonal

Host

Rabbit

Isotype

IgG Kappa

Description

Positive Controls: Human tonsil, cervical or lung carcinoma tissues.

Antibody with azide - store at 2 to 8C. Antibody without azide - store at -20 to -80C. Non-hazardous. No MSDS required.

Scientific Data Images for Podoplanin Antibody (PDPN/7808R) - Azide and BSA Free

Podoplanin Antibody (PDPN/7808R) - Azide and BSA Free

Podoplanin Antibody (PDPN/7808R)

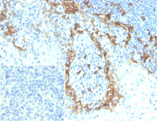
Formalin-fixed, paraffin-embedded human tonsil stained with Podoplanin antibody (PDPN/7808R). Inset: PBS instead of primary antibody; secondary only negative control.
Podoplanin Antibody (PDPN/7808R) - Azide and BSA Free Western Blot: Podoplanin Antibody (PDPN/7808R) - Azide and BSA Free [NBP3-20918] -

Western Blot: Podoplanin Antibody (PDPN/7808R) - Azide and BSA Free [NBP3-20918] -

Western blot analysis of human Lung tissue lysate using Podoplanin Antibody (PDPN/7808R) - Azide and BSA Free.

Applications for Podoplanin Antibody (PDPN/7808R) - Azide and BSA Free

Application
Recommended Usage

Immunocytochemistry/ Immunofluorescence

1-2 ug/ml

Immunohistochemistry-Paraffin

1-2 ug/ml
Application Notes
ELISA: For coating, order antibody without BSA

Immunohistochemistry (Formalin-fixed): 1-2ug/ml for 30 minutes. at RT. Staining of formalin-fixed tissues requires heating tissue sections in 10mM Tris with 1mM EDTA, pH 9.0, for 45 min at 95C followed by cooling at RT for 20 minutes.

Optimal dilution for a specific application should be determined.

Formulation, Preparation, and Storage

Purification

Protein A or G purified

Formulation

10mM PBS

Format

Azide and BSA Free

Preservative

No Preservative

Concentration

1 mg/ml

Shipping

The product is shipped with polar packs. Upon receipt, store it immediately at the temperature recommended below.

Stability & Storage

Store at -20 to -70C. Avoid freeze-thaw cycles.

Background: Podoplanin

Podoplanin is a well-recognized lymphatic endothelium marker, which can be used to reliably distinguish lymphatic vessels from blood vessels. Podoplanin is a 38 kDa membrane mucoprotein that was originally detected on the surface of rat glomerular epithelial cells (podocytes) and was found to be linked to flattening of foot processes that occurs in glomerular diseases. Podoplanin shows features of a membrane mucoprotein with several conserved O-glycosylation sites. Currently, it is of unknown biological function. Because heavily O-glycosylated mucoproteins were identified recently as counterreceptors for selectins that mediate adhesion of inflammatory cells, it is possible that podoplanin plays a similar role in lymphatic endothelia.

Long Name

Lung Type-I Cell Membrane-associated Glycoprotein, Isoform A

Alternate Names

Aggrus, Gp38, PDPN, RANDAM-2, T1A-2

Gene Symbol

PDPN

Additional Podoplanin Products

Product Documents for Podoplanin Antibody (PDPN/7808R) - Azide and BSA Free

Certificate of Analysis

To download a Certificate of Analysis, please enter a lot number in the search box below.

Product Specific Notices for Podoplanin Antibody (PDPN/7808R) - Azide and BSA Free

This product is for research use only and is not approved for use in humans or in clinical diagnosis. Primary Antibodies are guaranteed for 1 year from date of receipt.

Loading...
Loading...
Loading...
Loading...