PMEL17/SILV Antibody (HMB45) - Azide and BSA Free
Novus Biologicals, part of Bio-Techne | Catalog # NBP2-34638
Conjugate
Catalog #
Forumulation
Catalog #
Key Product Details
Species Reactivity
Human, Canine (Negative), Rat (Negative)
Applications
Immunohistochemistry, Immunohistochemistry-Paraffin, Western Blot, Flow Cytometry, Flow (Intracellular), Immunocytochemistry/ Immunofluorescence, Multiplex Immunoassay, CyTOF-ready
Label
Unconjugated
Antibody Source
Monoclonal Mouse IgG1 kappa Clone # HMB45
Format
Azide and BSA Free
Concentration
1.0 mg/ml
Product Specifications
Immunogen
Extract of pigmented melanoma metastases from lymph nodes
Reactivity Notes
Does not react with Canine or Rat.
Localization
Cytoplasmic
Specificity
The gp100 molecule is a 100kDa glycosylated protein that is cleaved into a small (26kDa) carboxy-terminal fragment and a larger amino- terminal section (6038kDa fragments. By immunohistochemistry, it specifically recognizes a protein in melanocytes and melanomas. This monoclonal antibody reacts with junctional and blue nevus cells and variably with fetal and neonatal melanocytes. Intradermal nevi, normal adult melanocytes, and non-melanocytic cells are negative. It does not stain tumor cells of epithelial, lymphoid, glial, or mesenchymal origin. Metastatic amelanotic melanoma can often be confused with a variety of poorly differentiated carcinomas, large cell lymphomas, and sarcomas using H E stains alone. It is also difficult to differentiate melanoma from spindle cell carcinomas and various types of mesenchymal neoplasms. This monoclonal antibody stains fetal and neonatal melanocytes, junctional and blue nevus cells, and malignant melanoma. This monoclonal antibody also stains Angiomyolipoma (PEComa).
Marker
Melanoma Marker
Clonality
Monoclonal
Host
Mouse
Isotype
IgG1 kappa
Theoretical MW
95 kDa.
Disclaimer note: The observed molecular weight of the protein may vary from the listed predicted molecular weight due to post translational modifications, post translation cleavages, relative charges, and other experimental factors.
Disclaimer note: The observed molecular weight of the protein may vary from the listed predicted molecular weight due to post translational modifications, post translation cleavages, relative charges, and other experimental factors.
Description
1.0 mg/ml of antibody purified from Bioreactor Concentrate by Protein A/G. Prepared in 10mM PBS WITHOUT BSA & azide. Also available at 200 ug/ml WITH BSA & azide (NBP2-44520).
Antibody with azide - store at 2 to 8C. Antibody without azide - store at -20 to -80C.
Antibody with azide - store at 2 to 8C. Antibody without azide - store at -20 to -80C.
Scientific Data Images for PMEL17/SILV Antibody (HMB45) - Azide and BSA Free
Western Blot: PMEL17/SILV Antibody (HMB45)Azide and BSA Free [NBP2-34638]
Western Blot: PMEL17/SILV Antibody (HMB45) - Azide and BSA Free [NBP2-34638] - Western Blot Analysis of COLO-38 cell lysate using PMEL17/SILV antibody (HMB45).Immunohistochemistry: PMEL17/SILV Antibody (HMB45) - Azide and BSA Free [NBP2-34638]
Immunohistochemistry: PMEL17/SILV Antibody (HMB45) - Azide and BSA Free [NBP2-34638] - PMEL17 (red) was detected in human skin (melanoma) using PMEL17-PE antibody (1:200) in PBS for 1 hour. Nuclei were stained with DAPI (blue). Image from a verified customer review. Image using the PE format of this antibody.Immunohistochemistry-Paraffin: PMEL17/SILV Antibody (HMB45) - Azide and BSA Free [NBP2-34638]
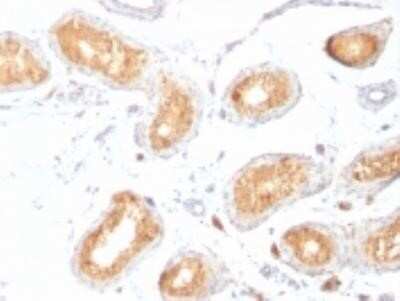
Immunohistochemistry-Paraffin: PMEL17/SILV Antibody (HMB45) - Azide and BSA Free [NBP2-34638] - Formalin-fixed, paraffin-embedded human testis stained with gp100/Melanosome Monoclonal Antibody (HMB45).Applications for PMEL17/SILV Antibody (HMB45) - Azide and BSA Free
Application
Recommended Usage
Flow Cytometry
0.5-1ug/million cells
Immunocytochemistry/ Immunofluorescence
0.5-1ug/ml
Immunohistochemistry-Paraffin
0.5-1.0ug/ml
Western Blot
0.5-1.0ug/ml
Application Notes
Use in Multiplex Immunoassay reported in scientific literature (PMID: 31942075).
Immunohistochemistry (Formalin-fixed): 1-2ug/ml for 30 minutes at RT. Staining of formalin-fixed tissues requires heating tissue sections in 10mM Tris with 1mM EDTA, pH 9.0, for 45 min at 95C followed by cooling at RT for 20 minutes.
Optimal dilution for a specific application should be determined.
Use in Western blot reported in scientific literature (PMID: 30561643).
Immunohistochemistry (Formalin-fixed): 1-2ug/ml for 30 minutes at RT. Staining of formalin-fixed tissues requires heating tissue sections in 10mM Tris with 1mM EDTA, pH 9.0, for 45 min at 95C followed by cooling at RT for 20 minutes.
Optimal dilution for a specific application should be determined.
Use in Western blot reported in scientific literature (PMID: 30561643).
Formulation, Preparation, and Storage
Purification
Protein A or G purified
Formulation
10 mM PBS
Format
Azide and BSA Free
Preservative
No Preservative
Concentration
1.0 mg/ml
Shipping
The product is shipped with polar packs. Upon receipt, store it immediately at the temperature recommended below.
Stability & Storage
Store at -20 to -80C. Avoid freeze-thaw cycles.
Background: PMEL
Long Name
Premelanosome Protein
Alternate Names
Gp100, ME20, ME20-M, ME20M, PMEL17, SILV
Gene Symbol
PMEL
Additional PMEL Products
Product Documents for PMEL17/SILV Antibody (HMB45) - Azide and BSA Free
Product Specific Notices for PMEL17/SILV Antibody (HMB45) - Azide and BSA Free
This product is for research use only and is not approved for use in humans or in clinical diagnosis. Primary Antibodies are guaranteed for 1 year from date of receipt.
Loading...
Loading...
Loading...
Loading...
Loading...