Skip to main content

PMCA2 Antibody

Novus Biologicals, part of Bio-Techne | Catalog # NB120-3529

Novus Biologicals, part of Bio-Techne
Catalog #
Availability
Size / Price
Qty
Loading...
NB120-3529-0.025mg
NB120-3529

Key Product Details

Species Reactivity

Human, Rat, Porcine

Applications

Immunohistochemistry, Immunohistochemistry-Paraffin, Immunohistochemistry-Frozen, Western Blot, ELISA

Label

Unconjugated

Antibody Source

Polyclonal Rabbit IgG

Concentration

1 mg/ml

Product Specifications

Immunogen

Synthetic Peptide: T(5) N S D F Y S K N Q R N E S S(19)

Specificity

PMCA2 antibody detects calcium pump of the plasma membrane 2 (PMCA2 ATPase) from human and rat and porcine tissues and cells.

Clonality

Polyclonal

Host

Rabbit

Isotype

IgG

Scientific Data Images for PMCA2 Antibody

Immunohistochemistry-Paraffin: PMCA2 Antibody [NB120-3529]

Immunohistochemistry-Paraffin: PMCA2 Antibody [NB120-3529]

Immunohistochemistry-Paraffin: PMCA2 Antibody [NB120-3529] - Immunohistochemistry was performed on normal biopsies of deparaffinized Human brain tissue. To expose target proteins, heat induced antigen retrieval was performed using 10mM sodium citrate (pH6.0) buffer, microwaved for 8-15 minutes. Following antigen retrieval tissues were blocked in 3% BSA-PBS for 30 minutes at room temperature. Tissues were then probed at a dilution of 1:200 with a rabbit polyclonal antibody recognizing PMCA2 ATPase or without primary antibody (negative control) overnight at 4C in a humidified chamber. Tissues were washed extensively with PBST and endogenous peroxidase activity was quenched with a peroxidase suppressor. Tissues were counterstained with hematoxylin and prepped for mounting.
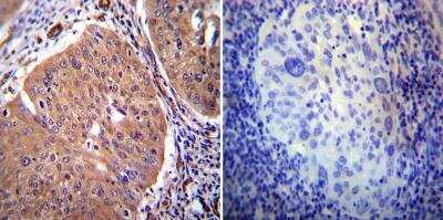
Immunohistochemistry-Paraffin: PMCA2 Antibody [NB120-3529]

Immunohistochemistry-Paraffin: PMCA2 Antibody [NB120-3529]

Immunohistochemistry-Paraffin: PMCA2 Antibody [NB120-3529] - Cancer biopsies of deparaffinized Human cervical carcinoma tissue.

Applications for PMCA2 Antibody

Application
Recommended Usage

ELISA

1:100 - 1:2000

Immunohistochemistry-Frozen

1:20 - 1:200

Immunohistochemistry-Paraffin

1:20 - 1:200

Western Blot

1:1000
Application Notes
WB: Detects an approx. 127 kDa and 133 kDa proteins representing PMCA 2a and 2b ATPase from rat brain microsomal fractions.

Formulation, Preparation, and Storage

Purification

Immunogen affinity purified

Formulation

PBS with 1 mg/ml BSA

Preservative

0.05% Sodium Azide

Concentration

1 mg/ml

Shipping

The product is shipped with polar packs. Upon receipt, store it immediately at the temperature recommended below.

Stability & Storage

Store at -20C. Avoid freeze-thaw cycles.

Background: PMCA2

The calcium pump of the plasma membrane, termed PMCA ATPase, pumps calcium from the cytosol to the extracellular space. This membrane-bound enzyme is related to a number of other ATPases including the SERCA ATPase and the sodium/K+ pump. There are four different genes encoding PMCA ATPase and studies have revealed 20 isoforms of the pump generated by alternate splicing of the primary gene products. mRNA distribution studies show that gene products 1 and 4 are transcribed in most tissues, however, products 2 and 3 are more tissue specific. Transcription of the splicing variants has also been found to be tissue specific. In the pancreas, where insulin secretion is calcium dependent, the beta cells only express the 4b isoform, however the alpha and gamma cells express both 4a and 4b isoforms. Studies have also shown that different splice variants have different affinities for calcium and calmodulin.

Alternate Names

ATPase, Ca++ transporting, plasma membrane 2, plasma membrane calcium-transporting ATPase 2, PMCA2, PMCA2a, PMCA2i

Entrez Gene IDs

491 (Human); 24215 (Rat)

Gene Symbol

ATP2B2

Additional PMCA2 Products

Product Documents for PMCA2 Antibody

Certificate of Analysis

To download a Certificate of Analysis, please enter a lot number in the search box below.

Product Specific Notices for PMCA2 Antibody

This product is for research use only and is not approved for use in humans or in clinical diagnosis. Primary Antibodies are guaranteed for 1 year from date of receipt.

Loading...
Loading...
Loading...
Loading...