Skip to main content

PLK1 Antibody (PSH04-35)

Novus Biologicals, part of Bio-Techne | Catalog # NBP3-32829

Recombinant Monoclonal Antibody
Novus Biologicals, part of Bio-Techne
Catalog #
Availability
Size / Price
Qty
Loading...
NBP3-32829

Key Product Details

Species Reactivity

Human, Mouse, Rat, Monkey

Applications

Immunocytochemistry/ Immunofluorescence, Immunohistochemistry, Immunohistochemistry-Paraffin, Western Blot

Label

Unconjugated

Antibody Source

Recombinant Monoclonal Rabbit IgG Clone # PSH04-35

Concentration

1 mg/ml

Product Specifications

Immunogen

Recombinant protein within human PLK1 aa 314-603 / 603. (Uniprot: P53350)

Localization

Nucleus, Chromosome, centromere, kinetochore, Cytoplasm, cytoskeleton, microtubule organizing center, spindle, Midbody.

Clonality

Monoclonal

Host

Rabbit

Isotype

IgG

Theoretical MW

68 kDa.
Disclaimer note: The observed molecular weight of the protein may vary from the listed predicted molecular weight due to post translational modifications, post translation cleavages, relative charges, and other experimental factors.

Scientific Data Images for PLK1 Antibody (PSH04-35)

PLK1 Antibody (PSH04-35)

Western Blot: PLK1 Antibody (PSH04-35) [NBP3-32829]

Western Blot: PLK1 Antibody (PSH04-35) [NBP3-32829] - Western blot analysis of PLK1 on different lysates with Rabbit anti-PLK1 antibody (NBP3-32829) at 1/1,000 dilution.

Lane 1: HeLa cell lysate (20 ug/Lane)
Lane 2: K-562 cell lysate (20 ug/Lane)
Lane 3: HEK-293 cell lysate (20 ug/Lane)
Lane 4: Raji cell lysate (20 ug/Lane)
Lane 5: HT-29 cell lysate (20 ug/Lane)
Lane 6: HCT 116 cell lysate (20 ug/Lane)
Lane 7: COS-1 cell lysate (20 ug/Lane)
Lane 8: RAW264.7 cell lysate (20 ug/Lane)
Lane 9: C6 cell lysate (20 ug/Lane)
Lane 10: Mouse testis tissue lysate (40 ug/Lane)
Lane 11: Rat testis tissue lysate (40 ug/Lane)

Predicted band size: 68 kDa
Observed band size: 68 kDa

Exposure time: 1 minute; ECL;

4-20% SDS-PAGE gel.

Proteins were transferred to a PVDF membrane and blocked with 5% NFDM/TBST for 1 hour at room temperature. The primary antibody (NBP3-32829) at 1/1,000 dilution was used in 5% NFDM/TBST at 4C overnight. Goat Anti-Rabbit IgG - HRP Secondary Antibody at 1/50,000 dilution was used for 1 hour at room temperature.
PLK1 Antibody (PSH04-35)

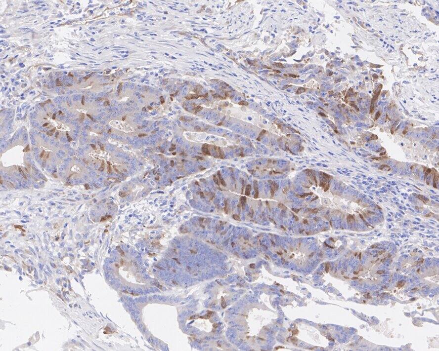
Immunohistochemistry: PLK1 Antibody (PSH04-35) [NBP3-32829]

Immunohistochemistry: PLK1 Antibody (PSH04-35) [NBP3-32829] - Immunohistochemical analysis of paraffin-embedded human colon cancer tissue with Rabbit anti-PLK1 antibody (NBP3-32829) at 1/200 dilution.

The section was pre-treated using heat mediated antigen retrieval with sodium citrate buffer (pH 6.0) for 2 minutes. The tissues were blocked in 1% BSA for 20 minutes at room temperature, washed with ddH2O and PBS, and then probed with the primary antibody (NBP3-32829) at 1/200 dilution for 1 hour at room temperature. The detection was performed using an HRP conjugated compact polymer system. DAB was used as the chromogen. Tissues were counterstained with hematoxylin and mounted with DPX.
PLK1 Antibody (PSH04-35)

Immunocytochemistry/ Immunofluorescence: PLK1 Antibody (PSH04-35) [NBP3-32829]

Immunocytochemistry/ Immunofluorescence: PLK1 Antibody (PSH04-35) [NBP3-32829] - Immunocytochemistry analysis of HeLa cells labeling PLK1 with Rabbit anti-PLK1 antibody (NBP3-32829) at 1/100 dilution.

Cells were fixed in 4% paraformaldehyde for 20 minutes at room temperature, permeabilized with 0.1% Triton X-100 in PBS for 5 minutes at room temperature, then blocked with 1% BSA in 10% negative goat serum for 1 hour at room temperature. Cells were then incubated with Rabbit anti-PLK1 antibody (NBP3-32829) at 1/100 dilution in 1% BSA in PBST overnight at 4 ℃. Goat Anti-Rabbit IgG H&L (iFluor™ 488) was used as the secondary antibody at 1/1,000 dilution. PBS instead of the primary antibody was used as the secondary antibody only control. Nuclear DNA was labelled in blue with DAPI.

Beta tubulin (red) was stained at 1/100 dilution overnight at +4℃. Goat Anti-Mouse IgG H&L (iFluor™ 594) was used as the secondary antibody at 1/1,000 dilution.

Applications for PLK1 Antibody (PSH04-35)

Application
Recommended Usage

Immunocytochemistry/ Immunofluorescence

1:100

Immunohistochemistry-Paraffin

1:200

Western Blot

1:1000

Formulation, Preparation, and Storage

Purification

Protein A purified

Formulation

PBS (pH7.4), 0.1% BSA and 40% Glycerol

Preservative

0.05% Sodium Azide

Concentration

1 mg/ml

Shipping

The product is shipped with polar packs. Upon receipt, store it immediately at the temperature recommended below.

Stability & Storage

Store at 4C short term. Aliquot and store at -20C long term. Avoid freeze-thaw cycles.

Background: PLK1

Considerable evidence indicates that a Polo-Like Kinase (PLK) plays an important role in cell cycle regulation. PLK is also required for bipolar spindle formation, activation of the anaphase-promoting complex/cyclosome, and cytokinesis. Recent work led to the identification of a PLKK that is thought to be responsible for activation of PLK. Recent work (Erikson, et al., 2004) has shown that PLKK is in turn activated by phosphorylation at three sites (Ser482, Ser486 and Ser490). Thus activation of PLK is thought to involve a kinase cascade involving the phosphorylation of Ser482,486,490 in PLKK.

Long Name

Polo-like Kinase 1

Alternate Names

STPK13

Gene Symbol

PLK1

Additional PLK1 Products

Product Documents for PLK1 Antibody (PSH04-35)

Certificate of Analysis

To download a Certificate of Analysis, please enter a lot number in the search box below.

Product Specific Notices for PLK1 Antibody (PSH04-35)

This product is for research use only and is not approved for use in humans or in clinical diagnosis. Primary Antibodies are guaranteed for 1 year from date of receipt.

Loading...
Loading...
Loading...
Loading...