Skip to main content

PLCXD1 Antibody - BSA Free

Novus Biologicals, part of Bio-Techne | Catalog # NBP1-83753

Novus Biologicals, part of Bio-Techne
Catalog #
Availability
Size / Price
Qty
Loading...
NBP1-83753
NBP1-83753-25ul

Key Product Details

Species Reactivity

Human

Applications

Immunohistochemistry, Immunohistochemistry-Paraffin, Immunocytochemistry/ Immunofluorescence

Label

Unconjugated

Antibody Source

Polyclonal Rabbit IgG

Format

BSA Free

Concentration

Concentrations vary lot to lot. See vial label for concentration. If unlisted please contact technical services.

Product Specifications

Immunogen

This antibody was developed against Recombinant Protein corresponding to amino acids: LHHLSIPGSHDTMTYCLNKKSPISHEESRLLQLLNKALPCITRPVVLKWSVTQALDVTEQLDAGVRYLDLRIAHMLEGSEKNLHFVHMVYTTALVEDTLTEISEWL

Clonality

Polyclonal

Host

Rabbit

Isotype

IgG

Scientific Data Images for PLCXD1 Antibody - BSA Free

Immunocytochemistry/ Immunofluorescence: PLCXD1 Antibody [NBP1-83753]

Immunocytochemistry/ Immunofluorescence: PLCXD1 Antibody [NBP1-83753]

Immunocytochemistry/Immunofluorescence: PLCXD1 Antibody [NBP1-83753] - Immunofluorescent staining of human cell line U-2 OS shows localization to cytosol.
PLCXD1 Antibody - BSA Free Immunohistochemistry-Paraffin: PLCXD1 Antibody - BSA Free [NBP1-83753]

Immunohistochemistry-Paraffin: PLCXD1 Antibody - BSA Free [NBP1-83753]

Staining of human skeletal muscle shows no positivity in myocytes as expected.
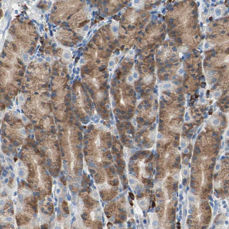
PLCXD1 Antibody - BSA Free Immunohistochemistry-Paraffin: PLCXD1 Antibody - BSA Free [NBP1-83753]

Immunohistochemistry-Paraffin: PLCXD1 Antibody - BSA Free [NBP1-83753]

Staining of human stomach shows strong cytoplasmic positivity in glandular cells.

Applications for PLCXD1 Antibody - BSA Free

Application
Recommended Usage

Immunocytochemistry/ Immunofluorescence

0.25-2 ug/ml

Immunohistochemistry

1:50 - 1:200

Immunohistochemistry-Paraffin

1:50 - 1:200
Application Notes
For IHC-Paraffin, HIER pH 6 retrieval is recommended. Immunocytochemistry/Immunofluorescence Fixation Permeabilization: Use PFA/Triton X-100.

Formulation, Preparation, and Storage

Purification

Affinity purified

Formulation

PBS (pH 7.2) and 40% Glycerol

Format

BSA Free

Preservative

0.02% Sodium Azide

Concentration

Concentrations vary lot to lot. See vial label for concentration. If unlisted please contact technical services.

Shipping

The product is shipped with polar packs. Upon receipt, store it immediately at the temperature recommended below.

Stability & Storage

Store at 4C short term. Aliquot and store at -20C long term. Avoid freeze-thaw cycles.

Background: PLCXD1

Phospholipases are a group of enzymes that hydrolyze phospholipids into fatty acids and other lipophilic molecules. PLC is subdivided into beta, gamma, delta, epsilon, zeta and eta subtypes, which catalyze the hydrolysis of phosphatidylinositol 4,5-bisphosphate (PIP2) to inositol 1,4,5-trisphosphate (IP3) and 1,2-diacylglycerol (DAG). IP3 and DAG both have important second messenger functions. PLC-beta is primarily activated by Gq/11 proteins and PLC-gamma is activated by phosphorylation in response to a variety of growth factor and immune system signals. Phospholipases are ubiquitously expressed and have diverse biological functions including roles in inflammation, cell growth, signaling and death and maintenance of membrane phospholipids.

Alternate Names

FLJ11323, phosphatidylinositol-specific phospholipase C, X domain containing 1, PI-PLC X domain-containing protein 1

Gene Symbol

PLCXD1

Additional PLCXD1 Products

Product Documents for PLCXD1 Antibody - BSA Free

Certificate of Analysis

To download a Certificate of Analysis, please enter a lot number in the search box below.

Product Specific Notices for PLCXD1 Antibody - BSA Free

This product is for research use only and is not approved for use in humans or in clinical diagnosis. Primary Antibodies are guaranteed for 1 year from date of receipt.

Loading...
Loading...
Loading...
Loading...