Skip to main content

Plasma Kallikrein/KLKB1 Antibody (JE31-29)

Novus Biologicals, part of Bio-Techne | Catalog # NBP3-32506

Recombinant Monoclonal Antibody
Novus Biologicals, part of Bio-Techne
Catalog #
Availability
Size / Price
Qty
Loading...
NBP3-32506

Key Product Details

Species Reactivity

Human

Applications

Immunohistochemistry, Immunohistochemistry-Paraffin, Western Blot

Label

Unconjugated

Antibody Source

Recombinant Monoclonal Rabbit IgG Clone # JE31-29 expressed in HEK293

Concentration

1 mg/ml

Product Specifications

Immunogen

Synthetic peptide within Human Plasma Kallikrein/KLKB1 aa 589-638 / 638. (Uniprot: P03952)

Localization

Secreted.

Clonality

Monoclonal

Host

Rabbit

Isotype

IgG

Theoretical MW

71 kDa.
Disclaimer note: The observed molecular weight of the protein may vary from the listed predicted molecular weight due to post translational modifications, post translation cleavages, relative charges, and other experimental factors.

Description

Novus Biologicals Rabbit Plasma Kallikrein/KLKB1 Antibody (JE31-29) (NBP3-32506) is a recombinant monoclonal antibody validated for use in IHC and WB. All Novus Biologicals antibodies are covered by our 100% guarantee.

Scientific Data Images for Plasma Kallikrein/KLKB1 Antibody (JE31-29)

Plasma Kallikrein/KLKB1 Antibody (JE31-29)

Western Blot: Plasma Kallikrein/KLKB1 Antibody (JE31-29) [NBP3-32506]

Western Blot: Plasma Kallikrein/KLKB1 Antibody (JE31-29) [NBP3-32506] - Western blot analysis of Plasma Kallikrein/KLKB1 on human liver tissue lysates with Rabbit anti-Plasma Kallikrein/KLKB1 antibody (NBP3-32506) at 1/1,000 dilution.

Lysates/proteins at 30 ug/Lane.

Predicted band size: 71 kDa
Observed band size: 71 kDa

Exposure time: 1 minute 30 seconds;

4-20% SDS-PAGE gel.

Proteins were transferred to a PVDF membrane and blocked with 5% NFDM/TBST for 1 hour at room temperature. The primary antibody (NBP3-32506) at 1/1,000 dilution was used in 5% NFDM/TBST at room temperature for 2 hours. Goat Anti-Rabbit IgG - HRP Secondary Antibody at 1:100,000 dilution was used for 1 hour at room temperature.
Plasma Kallikrein/KLKB1 Antibody (JE31-29)

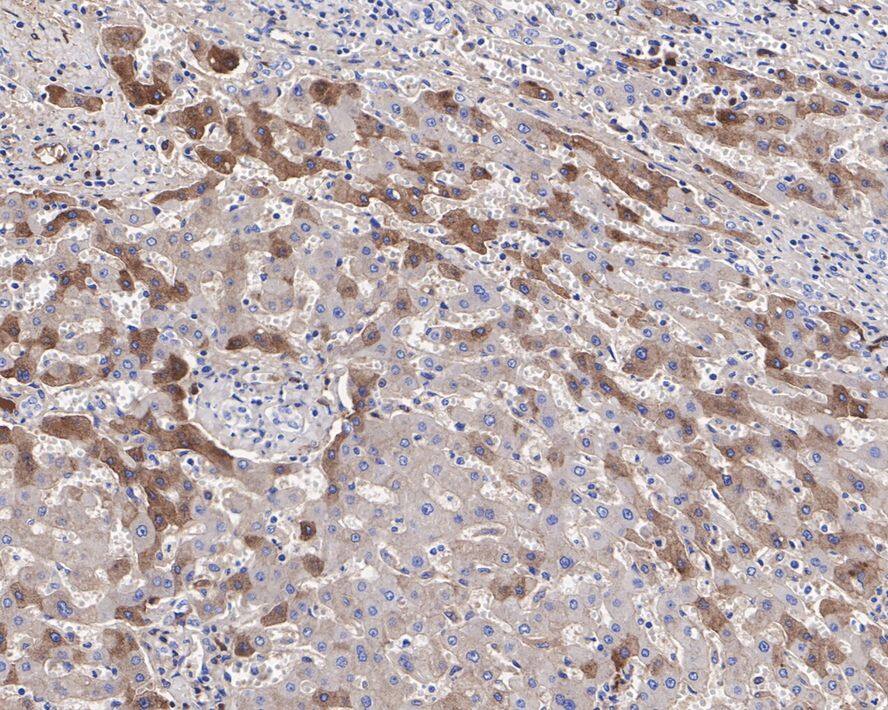
Immunohistochemistry: Plasma Kallikrein/KLKB1 Antibody (JE31-29) [NBP3-32506]

Immunohistochemistry: Plasma Kallikrein/KLKB1 Antibody (JE31-29) [NBP3-32506] - Immunohistochemical analysis of paraffin-embedded human liver tissue with Rabbit anti-Plasma Kallikrein/KLKB1 antibody (NBP3-32506) at 1/200 dilution.

The section was pre-treated using heat mediated antigen retrieval with Tris-EDTA buffer (pH 9.0) for 20 minutes. The tissues were blocked in 1% BSA for 20 minutes at room temperature, washed with ddH2O and PBS, and then probed with the primary antibody (NBP3-32506) at 1/200 dilution for 1 hour at room temperature. The detection was performed using an HRP conjugated compact polymer system. DAB was used as the chromogen. Tissues were counterstained with hematoxylin and mounted with DPX.

Applications for Plasma Kallikrein/KLKB1 Antibody (JE31-29)

Application
Recommended Usage

Immunohistochemistry-Paraffin

1:200

Western Blot

1:1000

Formulation, Preparation, and Storage

Purification

Protein A purified

Formulation

1*TBS (pH7.4), 0.05% BSA and 40% Glycerol

Preservative

0.05% Sodium Azide

Concentration

1 mg/ml

Shipping

The product is shipped with polar packs. Upon receipt, store it immediately at the temperature recommended below.

Stability & Storage

Store at 4C short term. Aliquot and store at -20C long term. Avoid freeze-thaw cycles.

Background: Plasma Kallikrein/KLKB1

Plasma Kallikrein 1B is a serine proteinase of the S1 family It is secreted by the liver, kidney, adrenal gland and placenta. The zymogen is referred to as prekallikrein (PK) and is activated by Factor XIIa to an active two chain form, plasma kallikrein. In Fletcher syndrome plasma kallikrein is deficient, resulting in a prolonged partial thromboplastin time (PT).

Alternate Names

KLKB1, Plasma Prekallikrein

Gene Symbol

KLKB1

Additional Plasma Kallikrein/KLKB1 Products

Product Documents for Plasma Kallikrein/KLKB1 Antibody (JE31-29)

Certificate of Analysis

To download a Certificate of Analysis, please enter a lot number in the search box below.

Product Specific Notices for Plasma Kallikrein/KLKB1 Antibody (JE31-29)

This product is for research use only and is not approved for use in humans or in clinical diagnosis. Primary Antibodies are guaranteed for 1 year from date of receipt.

Loading...
Loading...
Loading...
Loading...