Skip to main content

PIKFyve/PIP5K3 Antibody

Novus Biologicals, part of Bio-Techne | Catalog # NBP3-12608

Novus Biologicals, part of Bio-Techne
Discontinued Product
NBP3-12608 has been discontinued. View all PIKFyve products.

Key Product Details

Species Reactivity

Human

Applications

Immunohistochemistry, Immunohistochemistry-Paraffin, Western Blot, Immunoprecipitation

Label

Unconjugated

Antibody Source

Polyclonal Rabbit IgG

Concentration

Please see the vial label for concentration. If unlisted please contact technical services.

Product Specifications

Immunogen

Produced in rabbits immunized with E. coli-derived Human PIKFyve/PIP5K3 fragment

Clonality

Polyclonal

Host

Rabbit

Isotype

IgG

Description

This antibody can be stored at 2-8C for one month without detectable loss of activity. Antibody products are stable for twelve months from date of receipt when stored at -20C to -80C. Avoid repeated freeze-thaw cycles.

Protein A & Antigen Affinity purified

Scientific Data Images for PIKFyve/PIP5K3 Antibody

Western Blot: PIKFyve/PIP5K3 Antibody [NBP3-12608]

Western Blot: PIKFyve/PIP5K3 Antibody [NBP3-12608]

Western Blot: PIKFyve/PIP5K3 Antibody [NBP3-12608] - Lane A: Jurkat Whole Cell LysateLysates/proteins at 30 ug per lane.SecondaryGoat Anti-Rabbit IgG (H+L)/HRP at 1/10000 dilution.Developed using the ECL technique.Performed under reducing conditions.Predicted band size:237 kDaObserved band size:237 kDa(We are unsure as to the identity of these extra bands.)
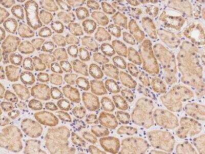
Immunohistochemistry-Paraffin: PIKFyve/PIP5K3 Antibody [NBP3-12608]

Immunohistochemistry-Paraffin: PIKFyve/PIP5K3 Antibody [NBP3-12608]

Immunohistochemistry-Paraffin: PIKFyve/PIP5K3 Antibody [NBP3-12608] - Staining of human PIKFYVE in human kidney with rabbit polyclonal antibody at 1:300 dilution.
Immunoprecipitation: PIKFyve/PIP5K3 Antibody [NBP3-12608]

Immunoprecipitation: PIKFyve/PIP5K3 Antibody [NBP3-12608]

Immunoprecipitation: PIKFyve/PIP5K3 Antibody [NBP3-12608] - Lane A:0.5 mg Jurkat Whole Cell Lysate4 uL anti-PIKFYVE rabbit polyclonal antibody and 60 ug of Immunomagnetic beads Protein A/G.Primary antibody:Anti-PIKFYVE rabbit polyclonal antibody,at 1:100 dilution Secondary antibody:Goat Anti-Rabbit IgG (H+L)/HRP at 1/10000 dilutionDeveloped using the ECL technique.Performed under reducing conditions.Predicted band size: 237 kDaObserved band size :237 kDa

Applications for PIKFyve/PIP5K3 Antibody

Application
Recommended Usage

Immunohistochemistry-Paraffin

1:200-1:1000

Immunoprecipitation

1-5uL/mg of uLysate

Western Blot

1:500-1:2000

Formulation, Preparation, and Storage

Purification

Antigen and protein A Affinity-purified

Formulation

PBS

Preservative

0.03% Proclin 300

Concentration

Please see the vial label for concentration. If unlisted please contact technical services.

Shipping

The product is shipped with polar packs. Upon receipt, store it immediately at the temperature recommended below.

Stability & Storage

Store at 4C short term. Aliquot and store at -20C long term. Avoid freeze-thaw cycles.

Background: PIKFyve

PIP5K3 belongs to a large family of lipid kinases that alter the phosphorylation status of intracellular phosphatidylinositol. Signaling by phosphorylated species of phosphatidylinositol regulates diverse cellular processes, including membrane trafficking and cytoskeletal reorganization (Shisheva et al., 1999 [PubMed 9858586]).[supplied by OMIM]

Long Name

Phosphoinositide Kinase, FYVE Finger-containing

Alternate Names

FAB1, p235, PIP5K, PIP5K3, PIPkin-III

Gene Symbol

PIKFYVE

Additional PIKFyve Products

Product Documents for PIKFyve/PIP5K3 Antibody

Certificate of Analysis

To download a Certificate of Analysis, please enter a lot number in the search box below.

Product Specific Notices for PIKFyve/PIP5K3 Antibody

This product is for research use only and is not approved for use in humans or in clinical diagnosis. Primary Antibodies are guaranteed for 1 year from date of receipt.

Loading...
Loading...
Loading...
Loading...