PHLPP Antibody - BSA Free
Novus Biologicals, part of Bio-Techne | Catalog # NBP2-93296
Key Product Details
Species Reactivity
Human, Mouse, Rat
Applications
Immunohistochemistry, Immunohistochemistry-Paraffin, Western Blot, ELISA, Immunocytochemistry/ Immunofluorescence
Label
Unconjugated
Antibody Source
Polyclonal Rabbit IgG
Format
BSA Free
Concentration
Please see the vial label for concentration. If unlisted please contact technical services.
Product Specifications
Immunogen
Recombinant fusion protein containing a sequence corresponding to amino acids 1160-1428 of human PHLPP (NP_919431.2). DQPSTGDASGAPAVWSHGYTEASGVKNKLCVAALSVNNFCDNREALYGVFDGDRNVEVPYLLQCTMSDILAEELQKTKNEEEYMVNTFIVMQRKLGTAGQKLGGAAVLCHIKHDPVDPGGSFTLTSANVGKCQTVLCRNGKPLPLSRSYIMSCEEELKRIKQHKAIITEDGKVNGVTESTRILGYTFLHPSVVPRPHVQSVLLTPQDEFFILGSKGLWDSLSVEEAVEAVRNVPDALAAAKKLCTLAQSYGCHDSISAVVVQLSVTEDS
Clonality
Polyclonal
Host
Rabbit
Isotype
IgG
Theoretical MW
185 kDa.
Disclaimer note: The observed molecular weight of the protein may vary from the listed predicted molecular weight due to post translational modifications, post translation cleavages, relative charges, and other experimental factors.
Disclaimer note: The observed molecular weight of the protein may vary from the listed predicted molecular weight due to post translational modifications, post translation cleavages, relative charges, and other experimental factors.
Description
Novus Biologicals Rabbit PHLPP Antibody - BSA Free (NBP2-93296) is a polyclonal antibody validated for use in IHC, WB and ICC/IF. All Novus Biologicals antibodies are covered by our 100% guarantee.
Scientific Data Images for PHLPP Antibody - BSA Free
Western Blot: PHLPP AntibodyAzide and BSA Free [NBP2-93296]
Western Blot: PHLPP Antibody [NBP2-93296] - Western blot analysis of extracts of various cell lines, using PHLPP antibody (NBP2-93296) at 1:1000 dilution. Secondary antibody: HRP Goat Anti-Rabbit IgG (H+L) at 1:10000 dilution. Lysates/proteins: 25ug per lane. Blocking buffer: 3% nonfat dry milk in TBST. Detection: ECL Basic Kit. Exposure time: 30s.Immunohistochemistry-Paraffin: PHLPP Antibody - Azide and BSA Free [NBP2-93296]
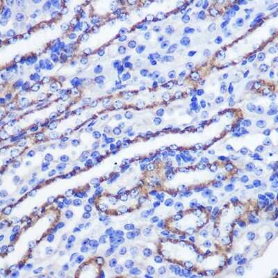
Immunohistochemistry-Paraffin: PHLPP Antibody [NBP2-93296] - Immunohistochemistry of paraffin-embedded mouse kidney using PHLPP Rabbit pAb (NBP2-93296) at dilution of 1:100 (40x lens). Perform microwave antigen retrieval with 10 mM PBS buffer pH 7.2 before commencing with IHC staining protocol.Immunocytochemistry/ Immunofluorescence: PHLPP Antibody - Azide and BSA Free [NBP2-93296] -
Immunocytochemistry/ Immunofluorescence: PHLPP Antibody - Azide and BSA Free [NBP2-93296] - Immunofluorescence analysis of U-2 OS cells using PHLPP Rabbit pAb at dilution of 1:100 (40x lens). Secondary antibody: Cy3-conjugated Goat anti-Rabbit IgG (H+L) at 1:500 dilution. Blue: DAPI for nuclear staining.Applications for PHLPP Antibody - BSA Free
Application
Recommended Usage
ELISA
Recommended starting concentration is 1 μg/mL.
Immunocytochemistry/ Immunofluorescence
1:50-1:200
Immunohistochemistry
1:50-1:200
Western Blot
1:500 - 1:1000
Formulation, Preparation, and Storage
Purification
Affinity purified
Formulation
PBS (pH 7.3), 50% glycerol
Format
BSA Free
Preservative
0.09% Sodium Azide
Concentration
Please see the vial label for concentration. If unlisted please contact technical services.
Shipping
The product is shipped with polar packs. Upon receipt, store it immediately at the temperature recommended below.
Stability & Storage
Store at -20C. Avoid freeze-thaw cycles.
Background: PHLPP
Alternate Names
EC 3.1.3.16, hSCOP, KIAA0606, MGC161555, PH domain and leucine rich repeat protein phosphatase, PH domain and leucine rich repeat protein phosphatase 1, PH domain leucine-rich repeat-containing protein phosphatase 1, PHLPP, pleckstrin homology domain containing, family E (with leucine rich repeats)member 1, Pleckstrin homology domain-containing family E member 1, PLEKHE1, SCN circadian oscillatory protein, SCOPPH domain-containing family E member 1, Suprachiasmatic nucleus circadian oscillatory protein
Gene Symbol
PHLPP1
Additional PHLPP Products
Product Documents for PHLPP Antibody - BSA Free
Product Specific Notices for PHLPP Antibody - BSA Free
This product is for research use only and is not approved for use in humans or in clinical diagnosis. Primary Antibodies are guaranteed for 1 year from date of receipt.
Loading...
Loading...
Loading...
Loading...
⚠ WARNING: This product can expose you to chemicals including Methotrexate, which is known to the State of California to cause reproductive toxicity with developmental effects. For more information, go to www.P65Warnings.ca.gov