Skip to main content

PGAM5 Antibody - BSA Free

Novus Biologicals, part of Bio-Techne | Catalog # NBP1-92257

Novus Biologicals, part of Bio-Techne
Catalog #
Availability
Size / Price
Qty
Loading...
NBP1-92257
NBP1-92257-25ul

Key Product Details

Validated by

Knockout/Knockdown, Independent Antibodies

Species Reactivity

Validated:

Human

Cited:

Human

Predicted:

Mouse (94%), Rat (92%). Backed by our 100% Guarantee.

Applications

Validated:

Immunohistochemistry, Immunohistochemistry-Paraffin, Western Blot, Immunocytochemistry/ Immunofluorescence, Simple Western, Knockdown Validated

Cited:

Western Blot

Label

Unconjugated

Antibody Source

Polyclonal Rabbit IgG

Format

BSA Free

Concentration

Concentrations vary lot to lot. See vial label for concentration. If unlisted please contact technical services.

Product Specifications

Immunogen

This antibody was developed against Recombinant Protein corresponding to amino acids: NWDRREPLSLINVRKRNVESGEEELASKLDHYKAKATRHIFLIRHSQYHVDGSLEKDRTLTPLGREQAELTGLRLASLGLKFNKIV

Clonality

Polyclonal

Host

Rabbit

Isotype

IgG

Theoretical MW

32 kDa.
Disclaimer note: The observed molecular weight of the protein may vary from the listed predicted molecular weight due to post translational modifications, post translation cleavages, relative charges, and other experimental factors.

Scientific Data Images for PGAM5 Antibody - BSA Free

Western Blot: PGAM5 Antibody [NBP1-92257]

Western Blot: PGAM5 Antibody [NBP1-92257]

Western Blot: PGAM5 Antibody [NBP1-92257] - Analysis in RT-4 cells transfected with control siRNA, target specific siRNA probe #1 and #2. Remaining relative intensity is presented. Loading control: Anti-PPIB.
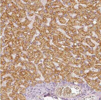
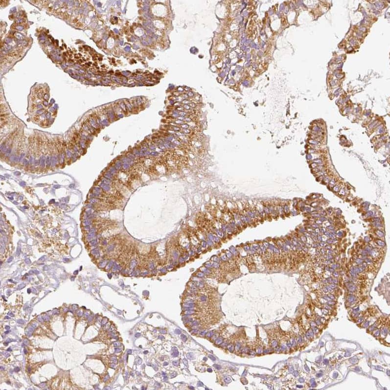
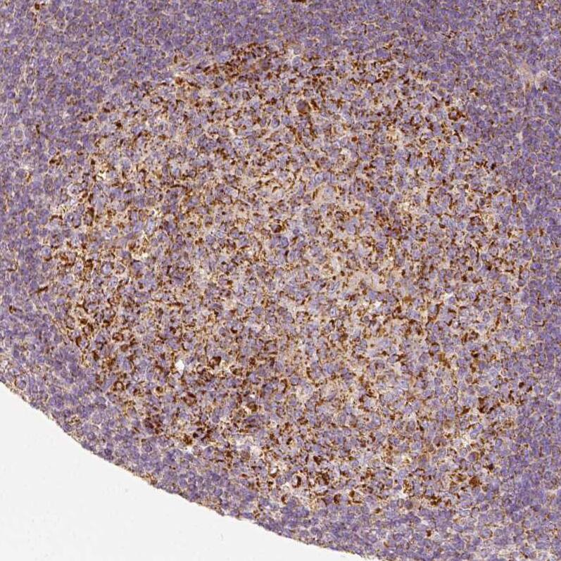
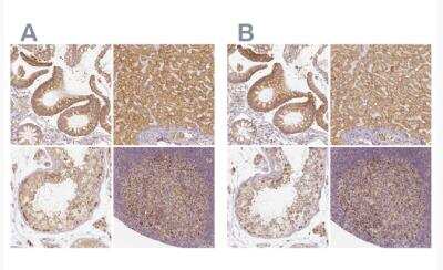
Immunohistochemistry-Paraffin: PGAM5 Antibody [NBP1-92257]

Immunohistochemistry-Paraffin: PGAM5 Antibody [NBP1-92257]

Immunohistochemistry-Paraffin: PGAM5 Antibody [NBP1-92257] - Staining of human colon, liver, testis and tonsil using Anti-PGAM5 antibody NBP1-92257 (A) shows similar protein distribution across tissues to independent antibody NBP1-92258 (B).
Immunocytochemistry/ Immunofluorescence: PGAM5 Antibody [NBP1-92257]

Immunocytochemistry/ Immunofluorescence: PGAM5 Antibody [NBP1-92257]

Immunocytochemistry/Immunofluorescence: PGAM5 Antibody [NBP1-92257] - Staining of human cell line MCF7 shows localization to mitochondria. Antibody staining is shown in green.

Applications for PGAM5 Antibody - BSA Free

Application
Recommended Usage

Immunocytochemistry/ Immunofluorescence

0.25-2 ug/ml

Immunohistochemistry

1:200 - 1:500

Immunohistochemistry-Paraffin

1:200 - 1:500

Simple Western

1:60

Western Blot

0.04-0.4 ug/ml
Application Notes
For IHC-Paraffin, HIER pH 6 retrieval is recommended. ICC/IF Fixation Permeabilization: Use PFA/Triton X-100.

In Simple Western only 10 - 15 uL of the recommended dilution is used per data point.
See Simple Western Antibody Database for Simple Western validation: Tested in RT-4, separated by Size, antibody dilution of 1:60, apparent MW was 38 kDa. Separated by Size-Wes, Sally Sue/Peggy Sue.

Reviewed Applications

Read 1 review rated 5 using NBP1-92257 in the following applications:

Formulation, Preparation, and Storage

Purification

Affinity purified

Formulation

PBS (pH 7.2) and 40% Glycerol

Format

BSA Free

Preservative

0.02% Sodium Azide

Concentration

Concentrations vary lot to lot. See vial label for concentration. If unlisted please contact technical services.

Shipping

The product is shipped with polar packs. Upon receipt, store it immediately at the temperature recommended below.

Stability & Storage

Store at 4C short term. Aliquot and store at -20C long term. Avoid freeze-thaw cycles.

Background: PGAM5

Displays phosphatase activity for serine/threonine residues, and, dephosphorylates and activates MAP3K5kinase. Has apparently no phosphoglycerate mutase activity. May be regulator of mitochondrial dynamics. Substrate fora Keap1-dependent ubiquitin ligase complex. Contributes to the repression of NFE2L2-dependent gene expression

Alternate Names

Bcl-XL-binding protein v68, BXLBv68, EC 3.1.3.16, MGC5352, phosphoglycerate mutase family member 5BXLBV68, serine/threonine-protein phosphatase PGAM5, mitochondrial

Entrez Gene IDs

192111 (Human)

Gene Symbol

PGAM5

UniProt

Additional PGAM5 Products

Product Documents for PGAM5 Antibody - BSA Free

Certificate of Analysis

To download a Certificate of Analysis, please enter a lot number in the search box below.

Product Specific Notices for PGAM5 Antibody - BSA Free

This product is for research use only and is not approved for use in humans or in clinical diagnosis. Primary Antibodies are guaranteed for 1 year from date of receipt.

Loading...
Loading...
Loading...
Loading...
Loading...