Skip to main content

PDHX Antibody - BSA Free

Novus Biologicals, part of Bio-Techne | Catalog # NBP1-84079

Novus Biologicals, part of Bio-Techne
Catalog #
Availability
Size / Price
Qty
Loading...
NBP1-84079
NBP1-84079-25ul

Key Product Details

Validated by

Orthogonal Validation, Independent Antibodies

Species Reactivity

Human

Applications

Immunohistochemistry, Immunohistochemistry-Paraffin, Western Blot

Label

Unconjugated

Antibody Source

Polyclonal Rabbit IgG

Format

BSA Free

Concentration

Concentrations vary lot to lot. See vial label for concentration. If unlisted please contact technical services.

Product Specifications

Immunogen

This antibody was developed against Recombinant Protein corresponding to amino acids: DASDDGILAKIVVEEGSKNIRLGSLIGLIVEEGEDWKHVEIPKDVGPPPPVSKPSEPRPSPEPQISIPVKKEHIPGTLRFRLS

Clonality

Polyclonal

Host

Rabbit

Isotype

IgG

Scientific Data Images for PDHX Antibody - BSA Free

Western Blot: PDHX Antibody [NBP1-84079]

Western Blot: PDHX Antibody [NBP1-84079]

Western Blot: PDHX Antibody [NBP1-84079] - Analysis using Anti-PDHX antibody NBP1-84079 (A) shows similar pattern to independent antibody NBP1-84080 (B).
PDHX Antibody - BSA Free Immunohistochemistry-Paraffin: PDHX Antibody - BSA Free [NBP1-84079]

Immunohistochemistry-Paraffin: PDHX Antibody - BSA Free [NBP1-84079]

Staining of human skeletal muscle shows moderate granular cytoplasmic positivity in myocytes.
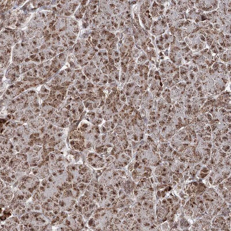
PDHX Antibody - BSA Free Immunohistochemistry-Paraffin: PDHX Antibody - BSA Free [NBP1-84079]

Immunohistochemistry-Paraffin: PDHX Antibody - BSA Free [NBP1-84079]

Staining of human pancreas shows weak granular cytoplasmic positivity in exocrine glandular cells.

Applications for PDHX Antibody - BSA Free

Application
Recommended Usage

Immunohistochemistry

1:1000 - 1:2500

Immunohistochemistry-Paraffin

1:1000 - 1:2500

Western Blot

0.04-0.4 ug/ml
Application Notes
For IHC-Paraffin, HIER pH 6 retrieval is recommended.

Formulation, Preparation, and Storage

Purification

Affinity purified

Formulation

PBS (pH 7.2) and 40% Glycerol

Format

BSA Free

Preservative

0.02% Sodium Azide

Concentration

Concentrations vary lot to lot. See vial label for concentration. If unlisted please contact technical services.

Shipping

The product is shipped with polar packs. Upon receipt, store it immediately at the temperature recommended below.

Stability & Storage

Store at 4C short term. Aliquot and store at -20C long term. Avoid freeze-thaw cycles.

Background: PDHX

The PDHX gene encodes component X of the pyruvate dehydrogenase (PDH) complex. For a detailed description of the pyruvate dehydrogenase complex, see MIM 300502. The mammalian PDH complex differs from that in E. coli and from the other mammalian alpha-keto acid dehydrogenases by the presence of a 53-kD protein called protein X. Component X binds to the E3 (MIM 238331) component of the PDH complex (Robinson et al., 1990; Aral et al., 1997).[supplied by OMIM]

Long Name

Pyruvate Dehydrogenase Complex, Component X

Alternate Names

DLDBP, E3BP, E3BP1, OPDX, PDX1, proX

Gene Symbol

PDHX

Additional PDHX Products

Product Documents for PDHX Antibody - BSA Free

Certificate of Analysis

To download a Certificate of Analysis, please enter a lot number in the search box below.

Product Specific Notices for PDHX Antibody - BSA Free

This product is for research use only and is not approved for use in humans or in clinical diagnosis. Primary Antibodies are guaranteed for 1 year from date of receipt.

Loading...
Loading...
Loading...
Loading...