Skip to main content

PCNA Antibody (A6-G11-R)

Novus Biologicals, part of Bio-Techne | Catalog # NBP3-32725

Recombinant Monoclonal Antibody
Novus Biologicals, part of Bio-Techne
Catalog #
Availability
Size / Price
Qty
Loading...
NBP3-32725

Key Product Details

Species Reactivity

Human, Mouse, Rat

Applications

Immunocytochemistry/ Immunofluorescence, Immunohistochemistry, Immunohistochemistry-Paraffin, Immunoprecipitation, Western Blot

Label

Unconjugated

Antibody Source

Recombinant Monoclonal Mouse IgG1 Clone # A6-G11-R expressed in HEK293

Concentration

1 mg/ml

Product Specifications

Immunogen

Recombinant protein within human PCNA aa 1-261. (Uniprot: P12004)

Localization

Nucleus

Clonality

Monoclonal

Host

Mouse

Isotype

IgG1

Theoretical MW

29 kDa.
Disclaimer note: The observed molecular weight of the protein may vary from the listed predicted molecular weight due to post translational modifications, post translation cleavages, relative charges, and other experimental factors.

Description

Novus Biologicals Mouse PCNA Antibody (A6-G11-R) (NBP3-32725) is a recombinant monoclonal antibody validated for use in IHC, WB, ICC/IF and IP. All Novus Biologicals antibodies are covered by our 100% guarantee.

Scientific Data Images for PCNA Antibody (A6-G11-R)

PCNA Antibody (A6-G11-R)

Immunoprecipitation: PCNA Antibody (A6-G11-R) [NBP3-32725]

Immunoprecipitation: PCNA Antibody (A6-G11-R) [NBP3-32725] - PCNA was immunoprecipitated from 0.2 mg HeLa cell lysate with NBP3-32725 at 2 ug/25 ul agarose. Western blot was performed from the immunoprecipitate using NBP3-32725 at 1/10,000 dilution. Anti-Mouse IgG for IP Nano-secondary antibody at 1/5,000 dilution was used for 1 hour at room temperature.

Lane 1: HeLa cell lysate (input)
Lane 2: NBP3-32725 IP in HeLa cell lysate
Lane 3: Mouse IgG instead of NBP3-32725 in HeLa cell lysate

Blocking/Dilution buffer: 5% NFDM/TBST
Exposure time: 24 seconds; ECL
PCNA Antibody (A6-G11-R)

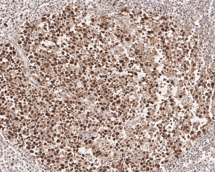
Immunohistochemistry: PCNA Antibody (A6-G11-R) [NBP3-32725]

Immunohistochemistry: PCNA Antibody (A6-G11-R) [NBP3-32725] - Immunohistochemical analysis of paraffin-embedded human lymph node tissue with Mouse anti-PCNA antibody (NBP3-32725) at 1/2,000 dilution.

The section was pre-treated using heat mediated antigen retrieval with sodium citrate buffer (pH 6.0) for 2 minutes. The tissues were blocked in 1% BSA for 20 minutes at room temperature, washed with ddH2O and PBS, and then probed with the primary antibody (NBP3-32725) at 1/2,000 dilution for 1 hour at room temperature. The detection was performed using an HRP conjugated compact polymer system. DAB was used as the chromogen. Tissues were counterstained with hematoxylin and mounted with DPX.
PCNA Antibody (A6-G11-R)

Immunocytochemistry/ Immunofluorescence: PCNA Antibody (A6-G11-R) [NBP3-32725]

Immunocytochemistry/ Immunofluorescence: PCNA Antibody (A6-G11-R) [NBP3-32725] - Immunocytochemistry analysis of HeLa cells labeling PCNA with Mouse anti-PCNA antibody (NBP3-32725) at 1/100 dilution.

Cells were fixed in 100% precooled methanol for 5 minutes at room temperature, then blocked with 1% BSA in 10% negative goat serum for 1 hour at room temperature. Cells were then incubated with Mouse anti-PCNA antibody (NBP3-32725) at 1/100 dilution in 1% BSA in PBST overnight at 4 ℃. Goat Anti-Mouse IgG H&L (iFluor™ 488) was used as the secondary antibody at 1/1,000 dilution. PBS instead of the primary antibody was used as the secondary antibody only control. Nuclear DNA was labelled in blue with DAPI.

beta Tubulin (red) was stained at 1/100 dilution overnight at +4℃. Goat Anti-Rabbit IgG H&L (iFluor™ 594) were used as the secondary antibody at 1/1,000 dilution.

Applications for PCNA Antibody (A6-G11-R)

Application
Recommended Usage

Immunocytochemistry/ Immunofluorescence

1:100

Immunohistochemistry-Paraffin

1:2000

Immunoprecipitation

1-2ug/sample

Western Blot

1:1000-1:5000

Formulation, Preparation, and Storage

Purification

Protein A purified

Formulation

PBS (pH7.4), 0.1% BSA and 40% Glycerol

Preservative

0.05% Sodium Azide

Concentration

1 mg/ml

Shipping

The product is shipped with polar packs. Upon receipt, store it immediately at the temperature recommended below.

Stability & Storage

Store at 4C short term. Aliquot and store at -20C long term. Avoid freeze-thaw cycles.

Background: PCNA

Proliferating Cell Nuclear Antigen (PCNA) is a DNA polymerase that is essential for DNA replication, excision and mismatch repair pathways. PCNA is a "DNA clamp" which binds to the CDK inhibitor p21, the structure-specific endonucleases Fen1 and XPG, and DNA cytosine 5-methyltransferase (MCMT). PCNA is a potentially useful marker of cells with proliferative potential and for identifying the proliferation status of tumor tissue (i.e. relevant to prognosis). PCNA antibodies are also useful tools for DNA repair and cancer research.

Long Name

Proliferating Cell Nuclear Antigen

Alternate Names

cyclin, DNA polymerase delta auxiliary protein, MGC8367, proliferating cell nuclear antigen

Gene Symbol

PCNA

Additional PCNA Products

Product Documents for PCNA Antibody (A6-G11-R)

Certificate of Analysis

To download a Certificate of Analysis, please enter a lot number in the search box below.

Product Specific Notices for PCNA Antibody (A6-G11-R)

This product is for research use only and is not approved for use in humans or in clinical diagnosis. Primary Antibodies are guaranteed for 1 year from date of receipt.

Loading...
Loading...
Loading...
Loading...