Skip to main content

PAX8 Antibody (ZR-1)

Novus Biologicals, part of Bio-Techne | Catalog # NBP3-07361

Recombinant Monoclonal Antibody
Novus Biologicals, part of Bio-Techne
Catalog #
Availability
Size / Price
Qty
Loading...
NBP3-07361-20ug
NBP3-07361-100ug

Key Product Details

Species Reactivity

Human

Applications

Immunohistochemistry-Paraffin

Label

Unconjugated

Antibody Source

Recombinant Monoclonal Rabbit IgG Clone # ZR-1

Concentration

0.2 mg/ml

Product Specifications

Immunogen

Synthetic peptide corresponding to the C-terminus of human PAX8 protein (Uniprot: Q06710)

Localization

Nuclear

Specificity

Recognizes a protein of 62kDa, identified as PAX8. It is a member of the paired box (PAX) family of transcription factors. This nuclear protein is involved in thyroid follicular cell development and expression of thyroid-specific genes. Mutations in this gene have been associated with thyroid dysgenesis, thyroid follicular carcinomas, and atypical thyroid adenomas. PAX-8 is expressed in the thyroid (and associated carcinomas), non-ciliated mucosal cells of the fallopian tubes, and simple ovarian inclusion cysts, but not normal ovarian surface epithelial cells. PAX-8 is expressed in a high percentage of ovarian serous, endometrioid, and clear cell carcinomas, but only rarely in primary ovarian mucinous adenocarcinomas. PAX-8 expression is reported in renal tubules as well as renal cell carcinoma, nephroblastoma, and seminoma. PAX-8 antibody may be used as an additional immunohistochemical marker for renal epithelial tumors.

Marker

Renal Cell Marker

Clonality

Monoclonal

Host

Rabbit

Isotype

IgG

Theoretical MW

62 kDa.
Disclaimer note: The observed molecular weight of the protein may vary from the listed predicted molecular weight due to post translational modifications, post translation cleavages, relative charges, and other experimental factors.

Description

200ug/ml of antibody purified from Bioreactor Concentrate by Protein A or G. Prepared in 10 mM PBS with 0.05% BSA & 0.05% azide. Also available WITHOUT BSA & azide at 1.0 mg/ml. (NBP3-08307)

Antibody with azide - store at 2 to 8C. Antibody without azide - store at -20 to -80 C.

Scientific Data Images for PAX8 Antibody (ZR-1)

Immunohistochemistry-Paraffin: PAX8 Antibody (ZR-1) [NBP3-07361]

Immunohistochemistry-Paraffin: PAX8 Antibody (ZR-1) [NBP3-07361]

Immunohistochemistry-Paraffin: PAX8 Antibody (ZR-1) [NBP3-07361] - Formalin-fixed, paraffin-embedded human thyroid stained with PAX8 Recombinant Rabbit Monoclonal Antibody (ZR-1).
PAX8 Antibody (ZR-1)

Immunohistochemistry-Paraffin: PAX8 Antibody (ZR-1) [NBP3-07361] -

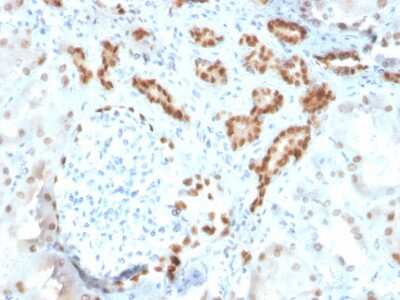
Immunohistochemistry-Paraffin: PAX8 Antibody (ZR-1) [NBP3-07361] - Formalin-fixed, paraffin-embedded human kidney stained with PAX8 Recombinant Rabbit Monoclonal Antibody (ZR-1).

Applications for PAX8 Antibody (ZR-1)

Application
Recommended Usage

Immunohistochemistry-Paraffin

1-2 ug/ml
Application Notes
Immunohistochemistry (Formalin-fixed): 1-2ug/ml for 30 minutes at RT. Staining of formalin-fixed tissues requires heating tissue sections in 10mM Tris with 1mM EDTA, pH 9.0, for 45 min at 95C followed by cooling at RT for 20 minutes.
Optimal dilution for a specific application should be determined.

Formulation, Preparation, and Storage

Purification

Protein A or G purified

Formulation

10 mM PBS with 0.05% BSA

Preservative

0.05% Sodium Azide

Concentration

0.2 mg/ml

Shipping

The product is shipped with polar packs. Upon receipt, store it immediately at the temperature recommended below.

Stability & Storage

Store at 4C.

Background: PAX8

PAX8 is a member of the paired box (PAX) family of transcription factors, typically containing a paired box domain, an octapeptide, and a paired-type homeodomain. This family plays critical roles during fetal development and cancer growth. The specific function of the PAX8 is unknown but it may involve kidney cell differentiation, thyroid development, or thyroid dysgenesis. Alternative splicing in the gene by inclusion or exclusion of exons 7 and/or 8 has produced several known products but the biological significance of the variants is unknown. Several other splice variants have been proposed but the full nature of these products has not been described.

Alternate Names

paired box 8, paired box gene 8, paired box protein Pax-8, paired domain gene 8

Gene Symbol

PAX8

UniProt

Additional PAX8 Products

Product Documents for PAX8 Antibody (ZR-1)

Certificate of Analysis

To download a Certificate of Analysis, please enter a lot number in the search box below.

Product Specific Notices for PAX8 Antibody (ZR-1)

This product is for research use only and is not approved for use in humans or in clinical diagnosis. Primary Antibodies are guaranteed for 1 year from date of receipt.

Loading...
Loading...
Loading...
Loading...