Skip to main content

Pax5/BSAP Antibody (CL14550) - BSA Free

Novus Biologicals, part of Bio-Techne | Catalog # NBP3-26865

Novus Biologicals, part of Bio-Techne
Catalog #
Availability
Size / Price
Qty
Loading...
NBP3-26865-100ul
NBP3-26865-25ul

Key Product Details

Validated by

Orthogonal Validation

Species Reactivity

Validated:

Human

Predicted:

Mouse (100%), Rat (100%). Backed by our 100% Guarantee.

Applications

Immunohistochemistry, Immunohistochemistry-Paraffin, Western Blot

Label

Unconjugated

Antibody Source

Monoclonal Mouse IgG2A Clone # CL14550

Format

BSA Free

Concentration

1 mg/ml

Product Specifications

Immunogen

This antibody was developed using a synthetic peptide derived from Q02548, with the exact immunogen sequence remaining proprietary.

Clonality

Monoclonal

Host

Mouse

Isotype

IgG2A

Description

Novus Biologicals Mouse Pax5/BSAP Antibody (CL14550) - BSA Free (NBP3-26865) is a monoclonal antibody validated for use in IHC and WB. All Novus Biologicals antibodies are covered by our 100% guarantee.

Scientific Data Images for Pax5/BSAP Antibody (CL14550) - BSA Free

Pax5/BSAP Antibody (CL14550)

Immunohistochemistry-Paraffin: Pax5/BSAP Antibody (CL14550) [NBP3-26865]

Analysis in human lymph node and liver tissues. Corresponding RNA-seq data are presented for the same tissues.
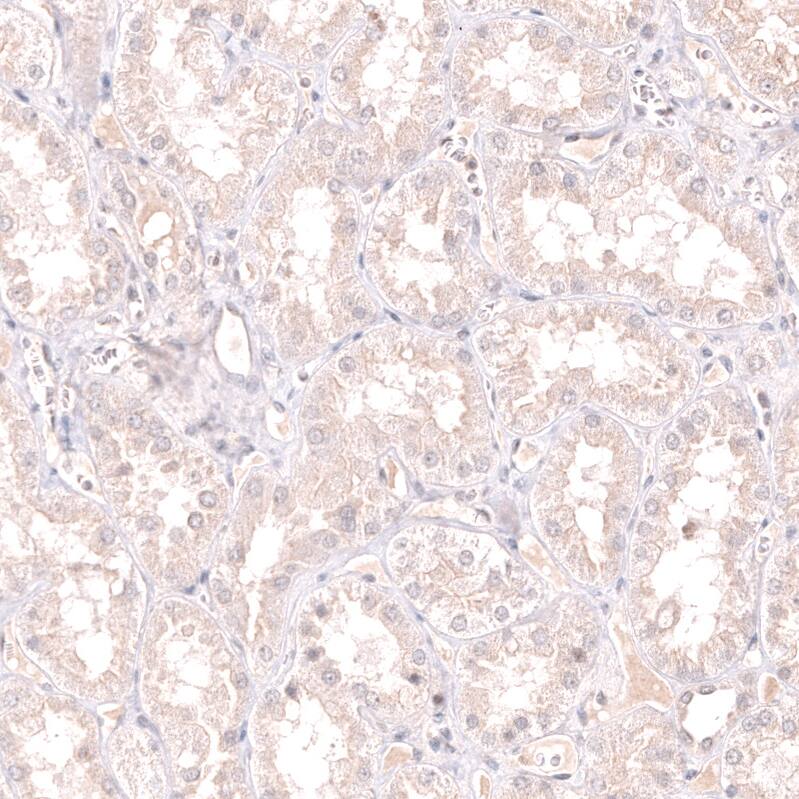
Pax5/BSAP Antibody (CL14550)

Immunohistochemistry-Paraffin: Pax5/BSAP Antibody (CL14550) [NBP3-26865]

Staining of human kidney shows no nuclear positivity in cells in tubules as expected.
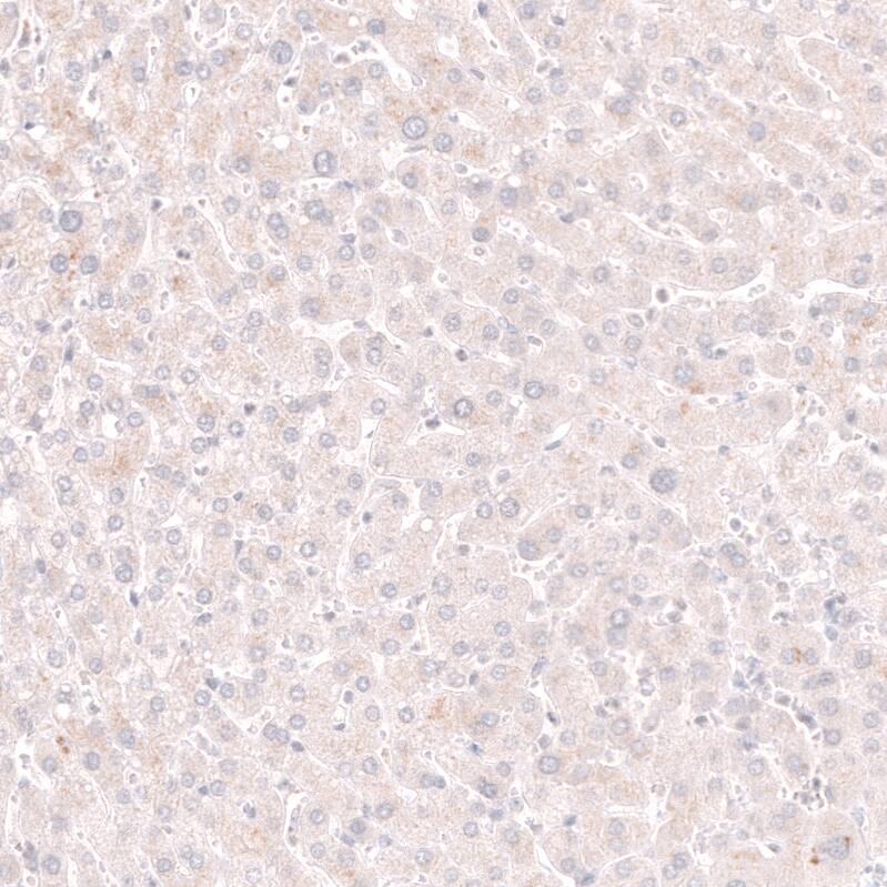
Pax5/BSAP Antibody (CL14550)

Immunohistochemistry-Paraffin: Pax5/BSAP Antibody (CL14550) [NBP3-26865]

Staining of human liver shows no nuclear positivity in hepatocytes as expected.

Applications for Pax5/BSAP Antibody (CL14550) - BSA Free

Application
Recommended Usage

Immunohistochemistry

1:50 - 1:200

Immunohistochemistry-Paraffin

1:50 - 1:200

Western Blot

1 ug/ml
Application Notes
For IHC-Paraffin, HIER pH 6 retrieval is recommended.

Formulation, Preparation, and Storage

Purification

Protein A purified

Formulation

PBS (pH 7.2) and 40% Glycerol

Format

BSA Free

Preservative

0.02% Sodium Azide

Concentration

1 mg/ml

Shipping

The product is shipped with polar packs. Upon receipt, store it immediately at the temperature recommended below.

Stability & Storage

Store at 4C short term. Aliquot and store at -20C long term. Avoid freeze-thaw cycles.

Background: Pax5/BSAP

PAX5 encodes a member of the paired box (PAX) family of transcription factors. The central feature of this gene family is a novel, highly conserved DNA-binding motif, known as the paired box. PAX proteins are important regulators in early development, and alterations in the expression of their genes are thought to contribute to neoplastic transformation. This gene encodes the B-cell lineage specific activator protein that is expressed at early, but not late stages of B-cell differentiation. Its expression has also been detected in developing CNS and testis and so the encoded protein may also play a role in neural development and spermatogenesis. This gene is located at 9p13, which is involved in t(9;14)(p13;q32) translocations recurring in small lymphocytic lymphomas of the plasmacytoid subtype, and in derived large-cell lymphomas. This translocation brings the potent E-mu enhancer of the IgH gene into close proximity of the PAX5 promoter, suggesting that the deregulation of transcription of this gene contributes to the pathogenesis of these lymphomas. Alternatively spliced transcript variants encoding different isoforms have been described but their biological validity has not been determined. [provided by RefSeq]

Long Name

Paired Box Gene 5/B-cell Specific Activator Protein

Alternate Names

BSAP

Gene Symbol

PAX5

Additional Pax5/BSAP Products

Product Documents for Pax5/BSAP Antibody (CL14550) - BSA Free

Certificate of Analysis

To download a Certificate of Analysis, please enter a lot number in the search box below.

Product Specific Notices for Pax5/BSAP Antibody (CL14550) - BSA Free

This product is for research use only and is not approved for use in humans or in clinical diagnosis. Primary Antibodies are guaranteed for 1 year from date of receipt.

Loading...
Loading...
Loading...
Loading...