Skip to main content

OTP Antibody (CL11222) - Azide and BSA Free

Novus Biologicals, part of Bio-Techne | Catalog # NBP3-44147

Novus Biologicals, part of Bio-Techne

Key Product Details

Species Reactivity

Human, Rat

Applications

Immunohistochemistry-Paraffin

Label

Unconjugated

Antibody Source

Monoclonal Mouse IgG1 Clone # CL11222

Format

Azide and BSA Free

Concentration

LYOPH mg/ml

Product Specifications

Immunogen

This antibody was generated using a recombinant protein sequence of Q5XKR4, with the exact immunogen sequence remaining proprietary.

Clonality

Monoclonal

Host

Mouse

Isotype

IgG1

Description

Novus Biologicals Mouse OTP Antibody (CL11222) - Azide and BSA Free (NBP3-21188) is a monoclonal antibody validated for use in IHC. All Novus Biologicals antibodies are covered by our 100% guarantee.

Scientific Data Images for OTP Antibody (CL11222) - Azide and BSA Free

OTP Antibody (CL11222) - Azide and BSA Free Immunohistochemistry-Paraffin: OTP Antibody [NBP3-44147]

Immunohistochemistry-Paraffin: OTP Antibody [NBP3-44147]

Staining of human cerebellum shows no positivity in Purkinje cells as expected.
OTP Antibody (CL11222) - Azide and BSA Free Immunohistochemistry-Paraffin: OTP Antibody [NBP3-44147]

Immunohistochemistry-Paraffin: OTP Antibody [NBP3-44147]

Staining of human hypothalamus shows moderate to strong nuclear positivity in a subset of neurons.
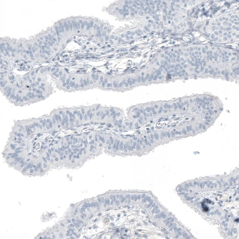
OTP Antibody (CL11222) - Azide and BSA Free Immunohistochemistry-Paraffin: OTP Antibody [NBP3-44147]

Immunohistochemistry-Paraffin: OTP Antibody [NBP3-44147]

Staining of human fallopian tube shows no positivity in glandular cells as expected.

Applications for OTP Antibody (CL11222) - Azide and BSA Free

Application
Recommended Usage

Immunohistochemistry-Paraffin

1:200 - 1:500
Application Notes
For IHC-Paraffin, HIER pH 6 retrieval is recommended.

Formulation, Preparation, and Storage

Purification

Protein A purified

Reconstitution

Centrifuge the vial of lyophilized antibody at 12,000 x g for 20 seconds. Reconstitute by adding sterile, distilled water to achieve a final antibody concentration of 1mg/ml.

Formulation

Lyophilized from a 0.2 um filtered solution in PBS with Trehalose

Format

Azide and BSA Free

Preservative

No Preservative

Concentration

LYOPH mg/ml

Shipping

The product is shipped at ambient temperature. Upon receipt, store it immediately at the temperature recommended below.

Stability & Storage

Store at 4C short term. Aliquot and store at -20C long term. Avoid freeze-thaw cycles.

Background: OTP

OTP encodes a member of the homeodomain (HD) family. HD family proteins are helix-turn-helix transcription factors that play key roles in the specification of cell fates. This protein may function during brain development. [provided by RefSeq]

Alternate Names

homeobox protein orthopedia, MGC3161, orthopedia homeobox, orthopedia homolog, orthopedia homolog (Drosophila)

Gene Symbol

OTP

Additional OTP Products

Product Documents for OTP Antibody (CL11222) - Azide and BSA Free

Certificate of Analysis

To download a Certificate of Analysis, please enter a lot number in the search box below.

Product Specific Notices for OTP Antibody (CL11222) - Azide and BSA Free

This product is for research use only and is not approved for use in humans or in clinical diagnosis. Primary Antibodies are guaranteed for 1 year from date of receipt.

Loading...
Loading...
Loading...
Loading...
Loading...