O-GlcNAc Antibody (HGAC85) - BSA Free
Novus Biologicals, part of Bio-Techne | Catalog # NB300-614
Key Product Details
Validated by
Biological Validation
Species Reactivity
Validated:
Human, All Species, Primate
Cited:
Human, Mouse, Rat, Primate
Applications
Validated:
Immunohistochemistry, Immunohistochemistry-Paraffin, Western Blot, ELISA, Immunocytochemistry/ Immunofluorescence, Immunoprecipitation, Chromatin Immunoprecipitation, Chromatin Immunoprecipitation (ChIP)
Cited:
Western Blot, Immunocytochemistry/ Immunofluorescence
Label
Unconjugated
Antibody Source
Monoclonal Mouse IgG3 Kappa Clone # HGAC85
Format
BSA Free
Concentration
This product is unpurified. The exact concentration of antibody is not quantifiable.
Product Specifications
Immunogen
Heat-killed, pepsin-treated group A streptococci (Streptococcus pyogenes)
Reactivity Notes
All Species. Human reactivity reported in scientific literature (PMID: 28973823). Chlorocebus sabaeus (Green monkey) reported in PMID 24256719.
Specificity
Recognizes beta-1,3 linked O-linked N-acetylglucosamine (O-GlcNAc) residues of streptococcal group A carbohydrate as well as O-GlcNAc glycosylated proteins
Clonality
Monoclonal
Host
Mouse
Isotype
IgG3 Kappa
Scientific Data Images for O-GlcNAc Antibody (HGAC85) - BSA Free
Western Blot: O-GlcNAc Antibody (HGAC85) [NB300-614]
O-GlcNAc-Antibody-HGAC85-Western-Blot-NB300-614-img0003.jpgImmunohistochemistry-Paraffin: O-GlcNAc Antibody (HGAC85) [NB300-614]
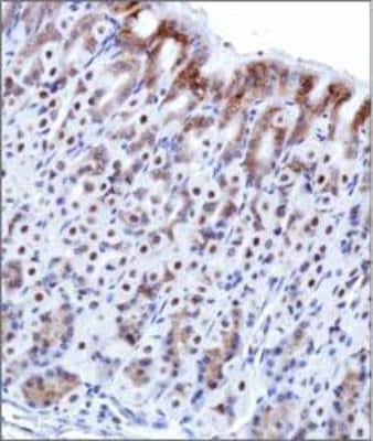
Immunohistochemistry-Paraffin: O-GlcNAc Antibody (HGAC85) [NB300-614] - IHC staining of O-GlcNAc in mouse colon using DAB with hematoxylin counterstain.Western Blot: O-GlcNAc Antibody (HGAC85) [NB300-614]
Western Blot: O-GlcNAc Antibody (HGAC85) [NB300-614] - Western blot analysis of O-GlcNAc expression in 1) HeLa, 2) NTERA-2, 3) PC-12 and 4) COS-7 cell lysates using untreated antibody on the left side and antibody preincubated with 50 uM GlcNAc (see Notes).Applications for O-GlcNAc Antibody (HGAC85) - BSA Free
Application
Recommended Usage
Chromatin Immunoprecipitation
1:10-1:500. Use reported in scientific literature (PMID 20368426)
Chromatin Immunoprecipitation (ChIP)
1:10-1:500
ELISA
1:100-1:2000
Immunocytochemistry/ Immunofluorescence
1:100 - 1:200. Use reported in scientific literature (Hamiel CR et al)
Immunohistochemistry
1:200. Use reported in scientific literature (Zhang , et al)
Immunohistochemistry-Paraffin
1:200
Immunoprecipitation
1:10-1:500. Use reported in scientific literature (Hamiel CR et al)
Western Blot
1:500-1:1000
Application Notes
In Western blot, this antibody detects several proteins representing O-GlcNAc glycoproteins. Immunofluorescence staining of O-GlcNAc in cells results in labeling of the nuclear envelope and pores, nucleolus, and cytoplasm. This staining pattern is consistent with other methods of detecting O-GlcNAc moieties. DO NOT USE WITH DILUENTS CONTAINING GLYCOSYLATED PROTEINS.
Formulation, Preparation, and Storage
Purification
Unpurified
Formulation
Ascites
Format
BSA Free
Preservative
0.1% Sodium Azide
Concentration
This product is unpurified. The exact concentration of antibody is not quantifiable.
Shipping
The product is shipped with polar packs. Upon receipt, store it immediately at the temperature recommended below.
Stability & Storage
Store at -20C. Avoid freeze-thaw cycles.
Background: O-GlcNAc
Alternate Names
GlcNAc, O-linked N-acetylglucosamine
Additional O-GlcNAc Products
Product Documents for O-GlcNAc Antibody (HGAC85) - BSA Free
Product Specific Notices for O-GlcNAc Antibody (HGAC85) - BSA Free
This product is for research use only and is not approved for use in humans or in clinical diagnosis. Primary Antibodies are guaranteed for 1 year from date of receipt.
Loading...
Loading...
Loading...
Loading...
Loading...