Skip to main content

NT-3 Antibody (D1) - BSA Free

Novus Biologicals, part of Bio-Techne | Catalog # NBP3-41212

Novus Biologicals, part of Bio-Techne
Catalog #
Availability
Size / Price
Qty
Loading...
NBP3-41212

Key Product Details

Species Reactivity

Human, Porcine

Applications

Immunohistochemistry, Immunohistochemistry-Paraffin

Label

Unconjugated

Antibody Source

Monoclonal Mouse IgG1 kappa Clone # D1

Format

BSA Free

Concentration

1 mg/ml

Product Specifications

Immunogen

Immunized with recombinant Human NT-3 (Uniprot#: P20783; Ala130-Gly255 (Uniprot#: P20783)

Clonality

Monoclonal

Host

Mouse

Isotype

IgG1 kappa

Description

Novus Biologicals Mouse NT-3 Antibody (D1) - BSA Free (NBP3-41212) is a monoclonal antibody validated for use in IHC. All Novus Biologicals antibodies are covered by our 100% guarantee.

Scientific Data Images for NT-3 Antibody (D1) - BSA Free

NT-3 Antibody (D1)

Immunohistochemistry-Paraffin: NT-3 Antibody (D1) [NBP3-41212] -

Immunohistochemistry-Paraffin: NT-3 Antibody (D1) [NBP3-41212] - DAB staining on IHC-P; Sample: Human Liver Tissue; Primary Ab: 30ug/ml NBP3-41212; Second Ab: 2ug/mL HRP-Linked Caprine Anti-Mouse IgG Polyclonal Antibody
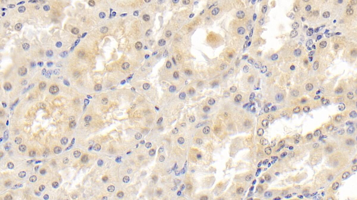
NT-3 Antibody (D1)

Immunohistochemistry-Paraffin: NT-3 Antibody (D1) [NBP3-41212] -

Immunohistochemistry-Paraffin: NT-3 Antibody (D1) [NBP3-41212] - DAB staining on IHC-P; Sample: Human Kidney Tissue; Primary Ab: 30ug/ml NBP3-41212; Second Ab: 2ug/mL HRP-Linked Caprine Anti-Mouse IgG Polyclonal Antibody

Applications for NT-3 Antibody (D1) - BSA Free

Application
Recommended Usage

Immunohistochemistry

5-20ug/mL

Immunohistochemistry-Paraffin

5-20ug/mL

Formulation, Preparation, and Storage

Purification

Protein A or G purified

Formulation

0.01M PBS, pH7.4, 50% glycerol

Format

BSA Free

Preservative

0.05% Proclin 300

Concentration

1 mg/ml

Shipping

The product is shipped with polar packs. Upon receipt, store it immediately at the temperature recommended below.

Stability & Storage

Store at 4C short term. Aliquot and store at -20C long term. Avoid freeze-thaw cycles.

Background: NT-3

NT3 is a member of the neurotrophin family, that controls survival and differentiation of visceral and proprioceptive sensory neurons. NT3 is closely related to both NGF and BDNF. It may be involved in the maintenance of the adult nervous system, and may affect development of neurons in the embryo when it is expressed in human placenta. NT3-deficient mice generated by gene targeting display severe movement defects of the limbs. The mature peptide of this protein is identical in all mammals examined including human, pig, rat and mouse. Subcellular Location: Secreted protein. TISSUE SPECIFICITY: Brain and peripheral tissues. Similarity: Belongs to the NGF-beta family.

Long Name

Neurotrophin 3

Alternate Names

HDNF, NGF2, NT3, NTF3

Gene Symbol

NTF3

Additional NT-3 Products

Product Documents for NT-3 Antibody (D1) - BSA Free

Certificate of Analysis

To download a Certificate of Analysis, please enter a lot number in the search box below.

Product Specific Notices for NT-3 Antibody (D1) - BSA Free

This product is for research use only and is not approved for use in humans or in clinical diagnosis. Primary Antibodies are guaranteed for 1 year from date of receipt.

Loading...
Loading...
Loading...
Loading...