NOMO2 Antibody - BSA Free
Novus Biologicals, part of Bio-Techne | Catalog # NBP3-47323
Key Product Details
Species Reactivity
Human
Applications
Immunohistochemistry, Western Blot, ELISA, Immunocytochemistry/ Immunofluorescence
Label
Unconjugated
Antibody Source
Polyclonal Rabbit IgG
Format
BSA Free
Concentration
Please see the vial label for concentration. If unlisted please contact technical services.
Product Specifications
Immunogen
NODAL modulator 2. (Uniprot# Q5JPE7)
Clonality
Polyclonal
Host
Rabbit
Isotype
IgG
Theoretical MW
130 kDa.
Disclaimer note: The observed molecular weight of the protein may vary from the listed predicted molecular weight due to post translational modifications, post translation cleavages, relative charges, and other experimental factors.
Disclaimer note: The observed molecular weight of the protein may vary from the listed predicted molecular weight due to post translational modifications, post translation cleavages, relative charges, and other experimental factors.
Description
Novus Biologicals Rabbit NOMO2 Antibody - BSA Free (NBP3-47323) is a polyclonal antibody validated for use in IHC, WB, ELISA and ICC/IF. All Novus Biologicals antibodies are covered by our 100% guarantee.
Scientific Data Images for NOMO2 Antibody - BSA Free
Western Blot: NOMO2 Antibody - BSA Free [NBP3-47323] -
Western Blot: NOMO2 Antibody - BSA Free [NBP3-47323] - BxPC-3 cells were subjected to SDS PAGE followed by western blot with (NOMO2 antibody) at dilution of 1:300Immunohistochemistry: NOMO2 Antibody - BSA Free [NBP3-47323] -
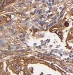
Immunohistochemistry: NOMO2 Antibody - BSA Free [NBP3-47323] - Immunohistochemistry of paraffin-embedded human pancreas cancer using (NOMO2 antibody) at dilution of 1:100Applications for NOMO2 Antibody - BSA Free
Application
Recommended Usage
Immunocytochemistry/ Immunofluorescence
1:20-1:200
Immunohistochemistry
1:20-1:200
Western Blot
1:500-1:2000
Formulation, Preparation, and Storage
Purification
Immunogen affinity purified
Formulation
PBS, 50% Glycerol, pH (7.3)
Format
BSA Free
Preservative
0.02% Sodium Azide
Concentration
Please see the vial label for concentration. If unlisted please contact technical services.
Shipping
The product is shipped with polar packs. Upon receipt, store it immediately at the temperature recommended below.
Stability & Storage
Store at -20C. Avoid freeze-thaw cycles.
Background: NOMO2
Alternate Names
NODAL modulator 2, Nomo, PM5, pM5 protein 2, pM5 protein, centromeric copy
Gene Symbol
NOMO2
Additional NOMO2 Products
Product Documents for NOMO2 Antibody - BSA Free
Product Specific Notices for NOMO2 Antibody - BSA Free
This product is for research use only and is not approved for use in humans or in clinical diagnosis. Primary Antibodies are guaranteed for 1 year from date of receipt.
Loading...
Loading...
Loading...
Loading...