Skip to main content

NM23-H2/NME2 Antibody (NME2/6437)

Novus Biologicals, part of Bio-Techne | Catalog # NBP3-26831

Novus Biologicals, part of Bio-Techne
Catalog #
Availability
Size / Price
Qty
Loading...
NBP3-26831-100ug
NBP3-26831-20ug

Key Product Details

Species Reactivity

Human

Applications

Immunohistochemistry-Paraffin, Western Blot

Label

Unconjugated

Antibody Source

Monoclonal Mouse IgG1 kappa Clone # NME2/6437

Concentration

0.2 mg/ml

Product Specifications

Immunogen

Recombinant full-length human NM23-H2/NME2 protein

Localization

Cytoplasm, Nucleus

Clonality

Monoclonal

Host

Mouse

Isotype

IgG1 kappa

Description

Antibody with azide - store at 2 to 8C. Antibody without azide - store at -20 to -80C. Non-hazardous. No MSDS required.

Scientific Data Images for NM23-H2/NME2 Antibody (NME2/6437)

NM23-H2/NME2 Antibody (NME2/6437)

Western Blot: NM23-H2/NME2 Antibody (NME2/6437) [NBP3-26831 ] -

Western blot analysis of MCF-7 cell lysate using NM23-H2/NME2 Antibody (NME2/6437).
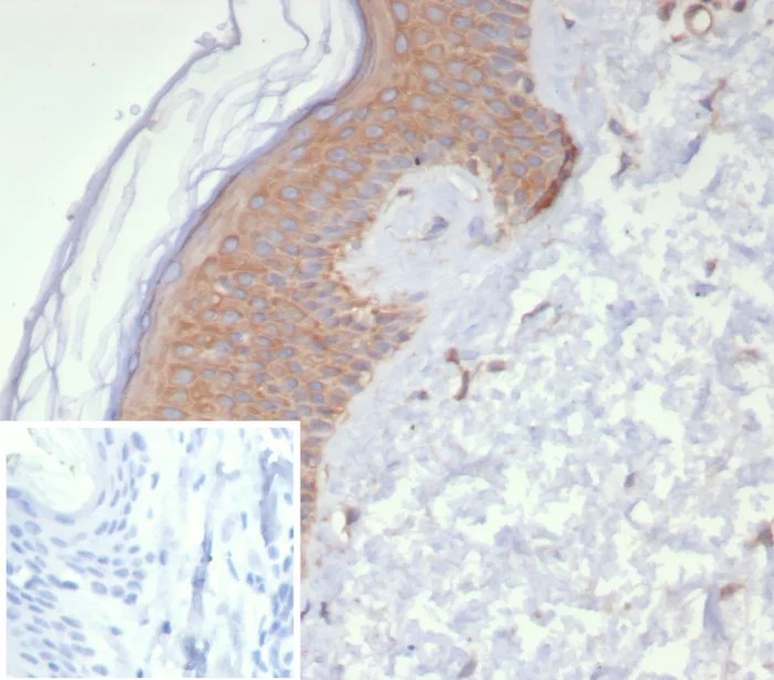
NM23-H2/NME2 Antibody (NME2/6437)

Immunohistochemistry-Paraffin: NM23-H2/NME2 Antibody (NME2/6437) [NBP3-26831 ] -

Formalin-fixed, paraffin-embedded human skin stained with NM23-H2/NME2 Antibody (NME2/6437). Inset: PBS instead of primary antibody; secondary only negative control.
NM23-H2/NME2 Antibody (NME2/6437)

Immunohistochemistry-Paraffin: NM23-H2/NME2 Antibody (NME2/6437) [NBP3-26831 ] -

Formalin-fixed, paraffin-embedded human kidney stained with NM23-H2/NME2 Antibody (NME2/6437). Inset: PBS instead of primary antibody; secondary only negative control.

Applications for NM23-H2/NME2 Antibody (NME2/6437)

Application
Recommended Usage

Immunohistochemistry-Paraffin

1-2ug/ml for 30 minutes at RT

Western Blot

1-2ug/ml
Application Notes
Immunohistochemistry-Paraffin 1-2ug/ml for 30 minutes at RT. Optimal dilution for a specific application should be determined.. Staining of formalin-fixed tissues requires heating tissue sections in 10mM Tris with 1mM EDTA, pH 9.0, for 45 min at 95C followed by cooling at RT for 20 minutes

Formulation, Preparation, and Storage

Purification

Protein A or G purified

Formulation

10mM PBS with 0.05% BSA

Preservative

0.05% Sodium Azide

Concentration

0.2 mg/ml

Shipping

The product is shipped with polar packs. Upon receipt, store it immediately at the temperature recommended below.

Stability & Storage

Store at 4C.

Background: NM23-H2

Nucleoside diphosphate kinase (NDK) exists as a hexamer composed of 'A' (encoded by NME1) and 'B' (encoded by this gene) isoforms. Multiple alternatively spliced transcript variants encoding the same isoform have been found for this gene. Co-transcription of this gene and the neighboring upstream gene (NME1) generates naturally-occurring transcripts (NME1-NME2) which encode a fusion protein comprised of sequence sharing identity with each individual gene product.

Long Name

Non-metastatic Protein 23 Homolog 2

Alternate Names

NDK B, NDP Kinase B2, NDPKB, NM23B, NME2

Gene Symbol

NME2

Additional NM23-H2 Products

Product Documents for NM23-H2/NME2 Antibody (NME2/6437)

Certificate of Analysis

To download a Certificate of Analysis, please enter a lot number in the search box below.

Product Specific Notices for NM23-H2/NME2 Antibody (NME2/6437)

This product is for research use only and is not approved for use in humans or in clinical diagnosis. Primary Antibodies are guaranteed for 1 year from date of receipt.

Loading...
Loading...
Loading...
Loading...