Skip to main content

NHP2 Antibody - BSA Free

Novus Biologicals, part of Bio-Techne | Catalog # NBP2-38626

Novus Biologicals, part of Bio-Techne
Catalog #
Availability
Size / Price
Qty
Loading...
NBP2-38626
NBP2-38626-25ul

Key Product Details

Validated by

Independent Antibodies

Species Reactivity

Human

Applications

Immunohistochemistry, Immunohistochemistry-Paraffin, Western Blot

Label

Unconjugated

Antibody Source

Polyclonal Rabbit IgG

Format

BSA Free

Concentration

Concentrations vary lot to lot. See vial label for concentration. If unlisted please contact technical services.

Product Specifications

Immunogen

This antibody was developed against a recombinant protein corresponding to amino acids: IKADPDGPEAQAEACSGERTYQELLVNQNPIAQPLASRRLTRKLYKCIKKAVKQKQIRRGVKEVQKFVNKGE

Reactivity Notes

Immunogen displays the following percentage of sequence identity for non-tested species: Mouse (88%), Rat (88%)

Clonality

Polyclonal

Host

Rabbit

Isotype

IgG

Description

Novus Biologicals Rabbit NHP2 Antibody - BSA Free (NBP2-38626) is a polyclonal antibody validated for use in IHC and WB. All Novus Biologicals antibodies are covered by our 100% guarantee.

Scientific Data Images for NHP2 Antibody - BSA Free

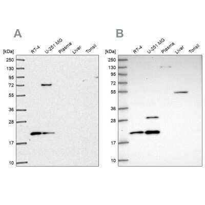
Western Blot: NHP2 Antibody [NBP2-38626]

Western Blot: NHP2 Antibody [NBP2-38626]

Western Blot: NHP2 Antibody [NBP2-38626] - Lane 1: Marker [kDa] 250, 130, 95, 72, 55, 36, 28, 17, 10, Lane 2: Human cell line RT-4
Western Blot: NHP2 Antibody [NBP2-38626]

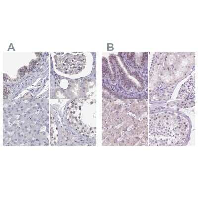
Western Blot: NHP2 Antibody [NBP2-38626]

Western Blot: NHP2 Antibody [NBP2-38626] - Analysis using Anti-NHP2 antibody NBP2-38626 (A) shows similar pattern to independent antibody NBP2-13656 (B).
Immunohistochemistry-Paraffin: NHP2 Antibody [NBP2-38626]

Immunohistochemistry-Paraffin: NHP2 Antibody [NBP2-38626]

Immunohistochemistry-Paraffin: NHP2 Antibody [NBP2-38626] - Staining of human fallopian tube shows high expression.

Applications for NHP2 Antibody - BSA Free

Application
Recommended Usage

Immunohistochemistry

1:500 - 1:1000

Immunohistochemistry-Paraffin

1:500 - 1:1000

Western Blot

0.04-0.4 ug/ml
Application Notes
For IHC-Paraffin, HIER pH 6 retrieval is recommended.

Formulation, Preparation, and Storage

Purification

Affinity purified

Formulation

PBS (pH 7.2) and 40% Glycerol

Format

BSA Free

Preservative

0.02% Sodium Azide

Concentration

Concentrations vary lot to lot. See vial label for concentration. If unlisted please contact technical services.

Shipping

The product is shipped with polar packs. Upon receipt, store it immediately at the temperature recommended below.

Stability & Storage

Store at 4C short term. Aliquot and store at -20C long term. Avoid freeze-thaw cycles.

Background: NHP2

NHP2 is a member of the H/ACA snoRNPs (small nucleolar ribonucleoproteins) gene family. snoRNPs are involved in various aspects of rRNA processing and modification and have been classified into two families: C/D and H/ACA. The H/ACA snoRNPs also include the DKC1, NOLA1 and NOLA3 proteins. These four H/ACA snoRNP proteins localize to the dense fibrillar components of nucleoli and to coiled (Cajal) bodies in the nucleus. Both 18S rRNA production and rRNA pseudouridylation are impaired if any one of the four proteins is depleted. The four H/ACA snoRNP proteins are also components of the telomerase complex. This gene encodes a protein related to Saccharomyces cerevisiae Nhp2p. Alternative splicing results in multiple transcript variants. [provided by RefSeq]

Alternate Names

FLJ20479, H/ACA ribonucleoprotein complex subunit 2, NHP2 ribonucleoprotein homolog (yeast), NHP2-like protein, NHP2P, NOLA2member 2 (H/ACA small nucleolar RNPs), Nucleolar protein family A member 2, snoRNP protein NHP2

Gene Symbol

NHP2

UniProt

Additional NHP2 Products

Product Documents for NHP2 Antibody - BSA Free

Certificate of Analysis

To download a Certificate of Analysis, please enter a lot number in the search box below.

Product Specific Notices for NHP2 Antibody - BSA Free

This product is for research use only and is not approved for use in humans or in clinical diagnosis. Primary Antibodies are guaranteed for 1 year from date of receipt.

Loading...
Loading...
Loading...
Loading...