Skip to main content

NHE3/SLC9A3 Antibody - BSA Free

Novus Biologicals, part of Bio-Techne | Catalog # NBP1-82574

Novus Biologicals, part of Bio-Techne
Catalog #
Availability
Size / Price
Qty
Loading...
NBP1-82574-25ul
NBP1-82574

Key Product Details

Validated by

Orthogonal Validation, Independent Antibodies

Species Reactivity

Validated:

Human, Mouse, Porcine

Cited:

Human, Mouse, Porcine

Applications

Validated:

Immunohistochemistry, Immunohistochemistry-Paraffin, Immunohistochemistry-Frozen, Western Blot, Immunocytochemistry/ Immunofluorescence, SDS-Page

Cited:

Immunohistochemistry-Paraffin, Immunohistochemistry-Frozen, Western Blot, Flow Cytometry, Immunocytochemistry/ Immunofluorescence, IF/IHC, SDS-Page

Label

Unconjugated

Antibody Source

Polyclonal Rabbit IgG

Format

BSA Free

Concentration

Concentrations vary lot to lot. See vial label for concentration. If unlisted please contact technical services.

Product Specifications

Immunogen

This antibody was developed against Recombinant Protein corresponding to amino acids: DNPVFSPDEALDRSLLARLPPWLSPGETVVPSQRARTQIPYSPGTFCRLMPFRLSSKSVDSFLQADGPEERPPAALPEST

Reactivity Notes

Mouse reactivity reported in scientific literature (PMID: 29196502). Use in Porcine reported in scientific publication (PMID: 32738496).

Clonality

Polyclonal

Host

Rabbit

Isotype

IgG

Description

Novus Biologicals Rabbit NHE3/SLC9A3 Antibody - BSA Free (NBP1-82574) is a polyclonal antibody validated for use in IHC, WB, Flow and ICC/IF. Anti-NHE3/SLC9A3 Antibody: Cited in 29 publications. All Novus Biologicals antibodies are covered by our 100% guarantee.

Scientific Data Images for NHE3/SLC9A3 Antibody - BSA Free

Immunohistochemistry-Paraffin: NHE3/SLC9A3 Antibody [NBP1-82574]

Immunohistochemistry-Paraffin: NHE3/SLC9A3 Antibody [NBP1-82574]

Immunohistochemistry-Paraffin: NHE3/SLC9A3 Antibody [NBP1-82574] - Analysis in human colon and liver tissues using NBP1-82574 antibody. Corresponding SLC9A3 RNA-seq data are presented for the same tissues.
Immunohistochemistry-Paraffin: NHE3/SLC9A3 Antibody [NBP1-82574]

Immunohistochemistry-Paraffin: NHE3/SLC9A3 Antibody [NBP1-82574]

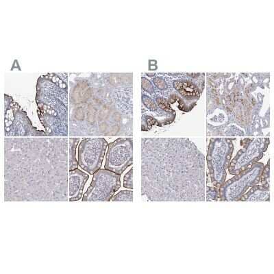
Immunohistochemistry-Paraffin: NHE3/SLC9A3 Antibody [NBP1-82574] - Staining of human colon, kidney, liver and small intestine using Anti-SLC9A3 antibody NBP1-82574 (A) shows similar protein distribution across tissues to independent antibody NBP1-82575 (B).
Immunohistochemistry-Paraffin: NHE3/SLC9A3 Antibody [NBP1-82574]

Immunohistochemistry-Paraffin: NHE3/SLC9A3 Antibody [NBP1-82574]

Immunohistochemistry-Paraffin: NHE3/SLC9A3 Antibody [NBP1-82574] - Staining of human liver shows no membranous positivity in hepatocytes as expected.

Applications for NHE3/SLC9A3 Antibody - BSA Free

Application
Recommended Usage

Immunocytochemistry/ Immunofluorescence

Reported in scientific literature (PMID: 32502894).

Immunohistochemistry

1:200 - 1:500

Immunohistochemistry-Frozen

Reported in scientific literature (PMID 26677983)

Immunohistochemistry-Paraffin

1:200 - 1:500

SDS-Page

Reported in scientific literature (PMID: 32738496).

Western Blot

Reported in scientific literature (PMID: 32738496).
Application Notes
For IHC-Paraffin, HIER pH 6 retrieval is recommended.

Formulation, Preparation, and Storage

Purification

Immunogen affinity purified

Formulation

PBS (pH 7.2) and 40% Glycerol

Format

BSA Free

Preservative

0.02% Sodium Azide

Concentration

Concentrations vary lot to lot. See vial label for concentration. If unlisted please contact technical services.

Shipping

The product is shipped with polar packs. Upon receipt, store it immediately at the temperature recommended below.

Stability & Storage

Store at 4C short term. Aliquot and store at -20C long term. Avoid freeze-thaw cycles.

Background: NHE3/SLC9A3

NHE3 is a member of the Sodium/Hydrogen exchanger family that plays a crucial role in acid-base and volume homeostasis by mediating the majority of sodium and bicarbonate reabsorption in the proximal tubule of the kidney. Two PKA consensus sites have been discovered in rat NHE3, serine 552 and serine 605. Research suggests that dopamine-induced phosphorylation of these consensus sites inhibit NHE3.

Long Name

Sodium/Hydrogen Exchanger 3

Alternate Names

SLC9A3

Gene Symbol

SLC9A3

Additional NHE3/SLC9A3 Products

Product Documents for NHE3/SLC9A3 Antibody - BSA Free

Certificate of Analysis

To download a Certificate of Analysis, please enter a lot number in the search box below.

Product Specific Notices for NHE3/SLC9A3 Antibody - BSA Free

This product is for research use only and is not approved for use in humans or in clinical diagnosis. Primary Antibodies are guaranteed for 1 year from date of receipt.

Loading...
Loading...
Loading...
Loading...
Loading...