Skip to main content

NECAB1 Antibody - BSA Free

Novus Biologicals, part of Bio-Techne | Catalog # NBP2-33949

Novus Biologicals, part of Bio-Techne
Catalog #
Availability
Size / Price
Qty
Loading...
NBP2-33949-25ul
NBP2-33949

Key Product Details

Validated by

Orthogonal Validation, Independent Antibodies

Species Reactivity

Validated:

Human

Cited:

Human

Predicted:

Mouse (97%), Rat (98%). Backed by our 100% Guarantee.

Applications

Validated:

Immunohistochemistry, Immunohistochemistry-Paraffin, Western Blot

Cited:

IF/IHC

Label

Unconjugated

Antibody Source

Polyclonal Rabbit IgG

Format

BSA Free

Concentration

Concentrations vary lot to lot. See vial label for concentration. If unlisted please contact technical services.

Product Specifications

Immunogen

This antibody was developed against a recombinant protein corresponding to amino acids: PSSNNSSEELSSALHLSKGMSIFLDILRRADKNDDGKLSFEEFKAYFADGVLSGEELHELFH

Reactivity Notes

Human reactivity reported in scientific literature (PMID: 26076492).

Clonality

Polyclonal

Host

Rabbit

Isotype

IgG

Description

Novus Biologicals Rabbit NECAB1 Antibody - BSA Free (NBP2-33949) is a polyclonal antibody validated for use in IHC and WB. Anti-NECAB1 Antibody: Cited in 1 publication. All Novus Biologicals antibodies are covered by our 100% guarantee.

Scientific Data Images for NECAB1 Antibody - BSA Free

Immunohistochemistry-Paraffin: NECAB1 Antibody [NBP2-33949]

Immunohistochemistry-Paraffin: NECAB1 Antibody [NBP2-33949]

Immunohistochemistry-Paraffin: NECAB1 Antibody [NBP2-33949] - Staining in human cerebral cortex and pancreas tissues using anti-NECAB1 antibody. Corresponding NECAB1 RNA-seq data are presented for the same tissues.
Immunohistochemistry-Paraffin: NECAB1 Antibody [NBP2-33949]

Immunohistochemistry-Paraffin: NECAB1 Antibody [NBP2-33949]

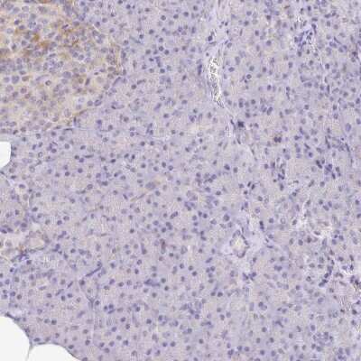
Immunohistochemistry-Paraffin: NECAB1 Antibody [NBP2-33949] - Staining of human cerebral cortex, colon, liver and pancreas using Anti-NECAB1 antibody NBP2-33949 (A) shows similar protein distribution across tissues to independent antibody NBP1-84004 (B).
Western Blot: NECAB1 Antibody [NBP2-33949]

Western Blot: NECAB1 Antibody [NBP2-33949]

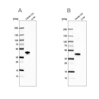
Western Blot: NECAB1 Antibody [NBP2-33949] - Analysis NBP2-33949 (A) shows similar pattern to independent antibody NBP1-84004 (B).

Applications for NECAB1 Antibody - BSA Free

Application
Recommended Usage

Immunohistochemistry

1:500 - 1:1000

Immunohistochemistry-Paraffin

1:500 - 1:1000

Western Blot

0.04-0.4 ug/ml
Application Notes
For IHC-Paraffin, HIER pH 6 retrieval is recommended.

Formulation, Preparation, and Storage

Purification

Immunogen affinity purified

Formulation

PBS (pH 7.2) and 40% Glycerol

Format

BSA Free

Preservative

0.02% Sodium Azide

Concentration

Concentrations vary lot to lot. See vial label for concentration. If unlisted please contact technical services.

Shipping

The product is shipped with polar packs. Upon receipt, store it immediately at the temperature recommended below.

Stability & Storage

Store at 4C short term. Aliquot and store at -20C long term. Avoid freeze-thaw cycles.

Background: NECAB1

The NECAB1 gene codes for a N-terminal EF-hand calcium-binding protein 1 that in isoform 1 is 351 amino acids long and 40 kDA and in isoform 2 is 100 amino acids long at 11 kDA. NECAB1 has been linked to diseases such as seizures, schizophrenia, alzheimer's disease, motor neuron disease, neuronitis, and neurodegenerative disease.

Alternate Names

EF hand calcium binding protein 1, EFCBP1, EF-hand calcium binding protein 1, EF-hand calcium-binding protein 1, neuronal calcium binding protein, Neuronal calcium-binding protein 1, N-terminal EF-hand calcium binding protein 1, N-terminal EF-hand calcium-binding protein 1, STIP-1, synaptotagmin interacting protein 1

Gene Symbol

NECAB1

UniProt

Additional NECAB1 Products

Product Documents for NECAB1 Antibody - BSA Free

Certificate of Analysis

To download a Certificate of Analysis, please enter a lot number in the search box below.

Product Specific Notices for NECAB1 Antibody - BSA Free

This product is for research use only and is not approved for use in humans or in clinical diagnosis. Primary Antibodies are guaranteed for 1 year from date of receipt.

Loading...
Loading...
Loading...
Loading...