Skip to main content

Myosin Heavy Chain 1 Antibody - BSA Free

Novus Biologicals, part of Bio-Techne | Catalog # NBP3-46984

Novus Biologicals, part of Bio-Techne
Catalog #
Availability
Size / Price
Qty
Loading...
NBP3-46984

Key Product Details

Species Reactivity

Human, Mouse

Applications

Immunohistochemistry, Western Blot, ELISA, Immunoprecipitation

Label

Unconjugated

Antibody Source

Polyclonal Rabbit IgG

Format

BSA Free

Concentration

Please see the vial label for concentration. If unlisted please contact technical services.

Product Specifications

Immunogen

myosin, heavy chain 1, skeletal muscle, adult. (Uniprot# P12882)

Clonality

Polyclonal

Host

Rabbit

Isotype

IgG

Description

Novus Biologicals Rabbit Myosin Heavy Chain 1 Antibody - BSA Free (NBP3-46984) is a polyclonal antibody validated for use in IHC, WB, ELISA and IP. All Novus Biologicals antibodies are covered by our 100% guarantee.

Scientific Data Images for Myosin Heavy Chain 1 Antibody - BSA Free

Myosin Heavy Chain 1 Antibody - BSA Free

Western Blot: Myosin Heavy Chain 1 Antibody - BSA Free [NBP3-46984] -

Western Blot: Myosin Heavy Chain 1 Antibody - BSA Free [NBP3-46984] - Transfected HEK-293 cells were subjected to SDS PAGE followed by western blot with (Myosin Heavy Chain 1 Antibody) at dilution of 1:1000
Myosin Heavy Chain 1 Antibody - BSA Free

Immunoprecipitation: Myosin Heavy Chain 1 Antibody - BSA Free [NBP3-46984] -

Immunoprecipitation: Myosin Heavy Chain 1 Antibody - BSA Free [NBP3-46984] - IP Result of anti-Myosin Heavy Chain 1 (IP:, 5ug; Detection: 1:1000) with mouse skeletal muscle tissue lysate 4000ug.
Myosin Heavy Chain 1 Antibody - BSA Free

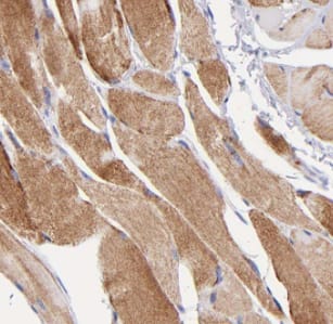
Immunohistochemistry: Myosin Heavy Chain 1 Antibody - BSA Free [NBP3-46984] -

Immunohistochemistry: Myosin Heavy Chain 1 Antibody - BSA Free [NBP3-46984] - Immunohistochemistry of paraffin-embedded human skeletal muscle tissue slide using (Myosin Heavy Chain 1 Antibody) at dilution of 1:50

Applications for Myosin Heavy Chain 1 Antibody - BSA Free

Application
Recommended Usage

Immunohistochemistry

1:20-1:200

Immunoprecipitation

1:200-1:1000

Western Blot

1:500-1:2000
Application Notes
Theoretical Molecular Weight is 220-230 kDa

Formulation, Preparation, and Storage

Purification

Immunogen affinity purified

Formulation

PBS, 50% Glycerol, pH (7.3)

Format

BSA Free

Preservative

0.02% Sodium Azide

Concentration

Please see the vial label for concentration. If unlisted please contact technical services.

Shipping

The product is shipped with polar packs. Upon receipt, store it immediately at the temperature recommended below.

Stability & Storage

Store at -20C. Avoid freeze-thaw cycles.

Background: Myosin Heavy Chain 1/MYH1

The Myosin family includes a number of ATP-driven motor proteins involved in muscle contration and actin-dependent cellular motility. Although they were originally thought to be limited to muscle tissues, new genes sharing basic myosin superfamily properties have since been identifed nearly all eukaryotic cell types. The myosin proteins are spearated into 18 different classes, which have been found to be highly conserved across species. Myosin antibodies are commonly used for cell motility, ATP hydrolysis and muscle studies, as well as loading controls.

Long Name

Myosin Heavy Chain 1

Alternate Names

MGC133384, MYH1, MyHC-2x, MyHC-IIx/d, Myosin-1

Gene Symbol

MYH1

Additional Myosin Heavy Chain 1/MYH1 Products

Product Documents for Myosin Heavy Chain 1 Antibody - BSA Free

Certificate of Analysis

To download a Certificate of Analysis, please enter a lot number in the search box below.

Product Specific Notices for Myosin Heavy Chain 1 Antibody - BSA Free

This product is for research use only and is not approved for use in humans or in clinical diagnosis. Primary Antibodies are guaranteed for 1 year from date of receipt.

Loading...
Loading...
Loading...
Loading...