Skip to main content

Myosin Heavy Chain 1 Antibody - BSA Free

Novus Biologicals, part of Bio-Techne | Catalog # NBP2-95223

Novus Biologicals, part of Bio-Techne
Catalog #
Availability
Size / Price
Qty
Loading...
NBP2-95223-0.1ml
NBP2-95223-0.02ml

Key Product Details

Species Reactivity

Human, Mouse, Rat

Applications

Immunohistochemistry, Immunohistochemistry-Paraffin, Western Blot, ELISA, Immunocytochemistry/ Immunofluorescence

Label

Unconjugated

Antibody Source

Polyclonal Rabbit IgG

Format

BSA Free

Concentration

Please see the vial label for concentration. If unlisted please contact technical services.

Product Specifications

Immunogen

Recombinant fusion protein containing a sequence corresponding to amino acids 1-100 of human MYH1 (NP_005954.3). MSSDSEMAIFGEAAPFLRKSERERIEAQNKPFDAKTSVFVVDPKESFVKATVQSREGGKVTAKTEAGATVTVKDDQVFPMNPPKYDKIEDMAMMTHLHEP

Clonality

Polyclonal

Host

Rabbit

Isotype

IgG

Theoretical MW

223 kDa.
Disclaimer note: The observed molecular weight of the protein may vary from the listed predicted molecular weight due to post translational modifications, post translation cleavages, relative charges, and other experimental factors.

Description

Novus Biologicals Rabbit Myosin Heavy Chain 1 Antibody - BSA Free (NBP2-95223) is a polyclonal antibody validated for use in IHC, WB, ELISA and ICC/IF. All Novus Biologicals antibodies are covered by our 100% guarantee.

Scientific Data Images for Myosin Heavy Chain 1 Antibody - BSA Free

Western Blot: Myosin Heavy Chain 1 AntibodyAzide and BSA Free [NBP2-95223]

Western Blot: Myosin Heavy Chain 1 AntibodyAzide and BSA Free [NBP2-95223]

Western Blot: Myosin Heavy Chain 1 Antibody [NBP2-95223] - Analysis of extracts of various cell lines, using MYH1 antibody at 1:410 dilution.Secondary antibody: HRP Goat Anti-Rabbit IgG (H+L) at 1:10038 dilution.Lysates/proteins: 63ug per lane. Blocking buffer: 41% nonfat dry milk in TBST.Detection: ECL Basic Kit. Exposure time: 30s.
Myosin Heavy Chain 1 Antibody - Azide and BSA Free

Western Blot: Myosin Heavy Chain 1 Antibody [NBP2-95223] -

Western Blot: Myosin Heavy Chain 1 Antibody [NBP2-95223] -analysis of lysates from Mouse skeletal muscle using MYH1 Rabbit pAb at 1:1000 dilution.Secondary antibody: HRP Goat Anti-Rabbit IgG (H+L) at 1:10000 dilution.Lysates/proteins: 25 ug per lane.Blocking buffer: 3% nonfat dry milk in TBST.Detection: ECL Basic Kit. Exposure time:3s.
Myosin Heavy Chain 1 Antibody - Azide and BSA Free

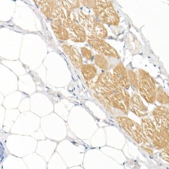
Immunohistochemistry-Paraffin: Myosin Heavy Chain 1 Antibody [NBP2-95223] -

Immunohistochemistry-Paraffin: Myosin Heavy Chain 1 Antibody [NBP2-95223] - Human skeletal muscle using MYH1 Rabbit pAb at dilution of 1:50 (40x lens). Perform high pressure antigen retrieval with 10 mM citrate buffer pH 6.0 before commencing with IHC staining protocol.

Applications for Myosin Heavy Chain 1 Antibody - BSA Free

Application
Recommended Usage

ELISA

Recommended starting concentration is 1 μg/mL

Immunocytochemistry/ Immunofluorescence

1:50 - 1:200

Immunohistochemistry

1:50 - 1:200

Immunohistochemistry-Paraffin

1:50 - 1:200

Western Blot

1:100 - 1:500

Formulation, Preparation, and Storage

Purification

Affinity purified

Formulation

PBS (pH 7.3), 50% glycerol

Format

BSA Free

Preservative

0.02% Sodium Azide

Concentration

Please see the vial label for concentration. If unlisted please contact technical services.

Shipping

The product is shipped with polar packs. Upon receipt, store it immediately at the temperature recommended below.

Stability & Storage

Store at -20C. Avoid freeze-thaw cycles.

Background: Myosin Heavy Chain 1/MYH1

The Myosin family includes a number of ATP-driven motor proteins involved in muscle contration and actin-dependent cellular motility. Although they were originally thought to be limited to muscle tissues, new genes sharing basic myosin superfamily properties have since been identifed nearly all eukaryotic cell types. The myosin proteins are spearated into 18 different classes, which have been found to be highly conserved across species. Myosin antibodies are commonly used for cell motility, ATP hydrolysis and muscle studies, as well as loading controls.

Long Name

Myosin Heavy Chain 1

Alternate Names

MGC133384, MYH1, MyHC-2x, MyHC-IIx/d, Myosin-1

Gene Symbol

MYH1

Additional Myosin Heavy Chain 1/MYH1 Products

Product Documents for Myosin Heavy Chain 1 Antibody - BSA Free

Certificate of Analysis

To download a Certificate of Analysis, please enter a lot number in the search box below.

Product Specific Notices for Myosin Heavy Chain 1 Antibody - BSA Free

This product is for research use only and is not approved for use in humans or in clinical diagnosis. Primary Antibodies are guaranteed for 1 year from date of receipt.

Loading...
Loading...
Loading...
Loading...