Skip to main content

Myeloid leukemia factor 1 Antibody (OTI3F11)

Novus Biologicals, part of Bio-Techne | Catalog # NBP2-45866

Novus Biologicals, part of Bio-Techne
Catalog #
Availability
Size / Price
Qty
Loading...
NBP2-45866

Key Product Details

Species Reactivity

Human

Applications

Immunohistochemistry, Immunohistochemistry-Paraffin, Western Blot

Label

Unconjugated

Antibody Source

Monoclonal Mouse IgG2B Clone # OTI3F11

Concentration

1 mg/ml

Product Specifications

Immunogen

Full length human recombinant protein of human MLF1(NP_071888) produced in E.coli.

Clonality

Monoclonal

Host

Mouse

Isotype

IgG2B

Theoretical MW

30.4 kDa.
Disclaimer note: The observed molecular weight of the protein may vary from the listed predicted molecular weight due to post translational modifications, post translation cleavages, relative charges, and other experimental factors.

Description

Novus Biologicals Mouse Myeloid leukemia factor 1 Antibody (OTI3F11) (NBP2-45866) is a monoclonal antibody validated for use in IHC and WB. All Novus Biologicals antibodies are covered by our 100% guarantee.

Scientific Data Images for Myeloid leukemia factor 1 Antibody (OTI3F11)

Western Blot: Myeloid leukemia factor 1 Antibody (OTI3F11) [NBP2-45866]

Western Blot: Myeloid leukemia factor 1 Antibody (OTI3F11) [NBP2-45866]

Western Blot: Myeloid leukemia factor 1 Antibody (3F11) [NBP2-45866] - Analysis of HEK293T cells were transfected with the pCMV6-ENTRY control (Left lane) or pCMV6-ENTRY Myeloid leukemia factor 1.
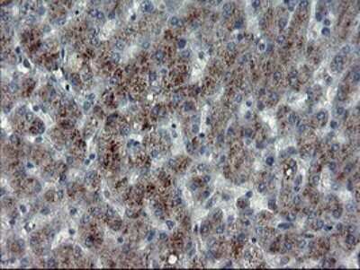
Immunohistochemistry: Myeloid leukemia factor 1 Antibody (OTI3F11) [NBP2-45866]

Immunohistochemistry: Myeloid leukemia factor 1 Antibody (OTI3F11) [NBP2-45866]

Immunohistochemistry: Myeloid leukemia factor 1 Antibody (3F11) [NBP2-45866] - Analysis of Human liver tissue.

Applications for Myeloid leukemia factor 1 Antibody (OTI3F11)

Application
Recommended Usage

Immunohistochemistry

1:150

Western Blot

1:500

Formulation, Preparation, and Storage

Purification

Immunogen affinity purified

Formulation

PBS (pH 7.3), 1.0% BSA and 50% Glycerol

Preservative

0.02% Sodium Azide

Concentration

1 mg/ml

Shipping

The product is shipped with polar packs. Upon receipt, store it immediately at the temperature recommended below.

Stability & Storage

Store at -20C. Avoid freeze-thaw cycles.

Background: Myeloid leukemia factor 1

MLF1 (Myeloid Leukemia Factor 1) is involved in normal hemopoietic differentiation as well as in erythroid/myeloid lineage switching.

Alternate Names

Myelodysplasia-myeloid leukemia factor 1, myeloid leukemia factor 1

Gene Symbol

MLF1

Additional Myeloid leukemia factor 1 Products

Product Documents for Myeloid leukemia factor 1 Antibody (OTI3F11)

Certificate of Analysis

To download a Certificate of Analysis, please enter a lot number in the search box below.

Product Specific Notices for Myeloid leukemia factor 1 Antibody (OTI3F11)

This product is for research use only and is not approved for use in humans or in clinical diagnosis. Primary Antibodies are guaranteed for 1 year from date of receipt.

Loading...
Loading...
Loading...
Loading...