Skip to main content

MUC1 Antibody (SM3) - Chimeric - Azide and BSA Free

Novus Biologicals, part of Bio-Techne | Catalog # NBP2-62561

Recombinant Monoclonal Antibody
Novus Biologicals, part of Bio-Techne
Catalog #
Availability
Size / Price
Qty
Loading...
NBP2-62561-0.025mg
NBP2-62561

Key Product Details

Species Reactivity

Human

Applications

Immunohistochemistry, Immunohistochemistry-Paraffin, Immunohistochemistry-Frozen, Western Blot, ELISA, Flow Cytometry, Immunocytochemistry/ Immunofluorescence

Label

Unconjugated

Antibody Source

Recombinant Monoclonal Rabbit IgG Lambda Clone # SM3

Format

Azide and BSA Free

Concentration

1 mg/ml

Product Specifications

Immunogen

Hydrogen fluoride deglycosylated milk mucin.

Specificity

Recognises the under-glycosylated form of human MUC1, a marker of tumours.

Clonality

Monoclonal

Host

Rabbit

Isotype

IgG Lambda

Scientific Data Images for MUC1 Antibody (SM3) - Chimeric - Azide and BSA Free

Western Blot: MUC1 Antibody (SM3)ChimericAzide and BSA Free [NBP2-62561]

Western Blot: MUC1 Antibody (SM3)ChimericAzide and BSA Free [NBP2-62561]

Western Blot: MUC1 Antibody (SM3) - Chimeric [NBP2-62561] - Western Blot using anti-MUC1 antibody SM3. MCF-7 cell lysate (35ug protein in RIPA buffer) were resolved on a 10% SDS PAGE gel and blots probed with the chimeric rabbit version of SM3 (NBP2-62561) at 1 ug/ml before detection using an anti-rabbit secondary antibody. A primary incubation of 1h was used and protein was detected by chemiluminescence. The predicted band size for unmodified MUC1 is 122.1kDa, though in breast cancer cell lines like MCF-7 MUC1 can be up to 90% glycosylated (c.f. Mueller et al. PMID: 10373415; T47D cells) and expected band sizes are ~250-300kDa. Thus the two bands likely represent processed (>250kDa) and unprocessed (~121kDa) populations of the protein. NBP2-62561 successfully detected human MUC1 in MCF-7 breast cancer cells.
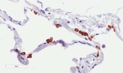
Immunohistochemistry: MUC1 Antibody (SM3) - Chimeric - Azide and BSA Free [NBP2-62561]

Immunohistochemistry: MUC1 Antibody (SM3) - Chimeric - Azide and BSA Free [NBP2-62561]

Immunohistochemistry: MUC1 Antibody (SM3) - Chimeric [NBP2-62561] - Immunohistochemical staining of human lung tissue using anti-MUC1 antibody. SM3 Anti-MUC1 (Mucin-1) staining of paraffin embedded human lung tissue using the rabbit-chimeric version of SM3 (NBP2-62561). Antigen retreival was acheived by microwaving in citrate buffer (pH6), followed by blocking with protein block serum-free buffer. Primary antibody incubation with NBP2-62561 was carried out at 4 ug/ml for 30 minutes. Samples were then incubated with an anti-rabbit IgG HRP secondary antibody for 20 mins followed by DAB (3,3'-diaminobenzidine), and counter-staining with haemotoxylin. Staining of type II pneumocytes may be observed. Recommended concentration, 2-4 ug/ml.
Flow Cytometry: MUC1 Antibody (SM3) - Chimeric - Azide and BSA Free [NBP2-62561]

Flow Cytometry: MUC1 Antibody (SM3) - Chimeric - Azide and BSA Free [NBP2-62561]

Flow Cytometry: MUC1 Antibody (SM3) - Chimeric [NBP2-62561] - Flow-cytometry using the anti-MUC1 SM3. MCF-7 cells were stained with unimmunized rabbit IgG antibody (black line) or the rabbit-chimeric version of SM3 (NBP2-62561, blue line) at a concentration of 10 ug/ml for 30 mins at RT. After washing, bound antibody was detected using anti-rabbit IgG JK (FITC-conjugate) antibody at 2 ug/ml and cells analyzed on a FACSCanto flow-cytometer.

Applications for MUC1 Antibody (SM3) - Chimeric - Azide and BSA Free

Application
Recommended Usage

ELISA

1:100 - 1:2000

Flow Cytometry

1:10 - 1:1000

Immunohistochemistry-Frozen

1:10 - 1:500

Immunohistochemistry-Paraffin

1:10 - 1:500
Application Notes
This chimeric rabbit antibody was made using the variable domain sequences of the original murine IgG1 format, for improved compatibility with existing reagents, assays and techniques.

Formulation, Preparation, and Storage

Purification

Protein A purified

Formulation

PBS

Format

Azide and BSA Free

Preservative

0.02% Proclin 300

Concentration

1 mg/ml

Shipping

The product is shipped with polar packs. Upon receipt, store it immediately at the temperature recommended below.

Stability & Storage

Store at 4C for up to 3 months. For longer storage, aliquot and store at -20C.

Background: MUC-1

Mucin 1 (MUC1), also known as episialin, EMA (epithelial membrane antigen), PEM (polymorphic epithelial mucin), and CA-15-3 antigen, is a membrane-bound type I transmembrane glycoprotein (1,2). MUC1 is typically expressed in the luminal or glandular epithelial cells of the gastrointestinal tract, breast, lungs, and more, and is often overexpressed in epithelial cancers, but also serves a protective role against infection and helps regulate inflammatory response (2,3). Human MUC1 is 1255 amino acids (aa) in length with a theoretical molecular weight of 122 kDa; however, depending on the amount of glycosylation can weigh between 250 - 500 kDa (2,4). Structurally, MUC1 consists of a N-terminal domain which contains a signal peptide, a variable number tandem repeat region (VNTR), and a SEA domain, as well a C-terminal domain which has the extracellular domain (ECD), transmembrane domain (TMD), and cytoplasmic tail (CT) (2,3). The VNTR is comprised of between 25 - 125 repeats of a 20 aa conserved sequence (3). MUC1 is heavily O-glycosylated in the VNTR and has moderate N-glycosylation sites following the VNTR and in the ECD (2). Glycosylation contributes to MUC1's functional properties (2). The MUC1 gene contains seven exons, giving rise to several MUC1 isoforms as a result of alternative splicing (2).

Overexpression of mucins, including MUC1, is a feature of many epithelial cancers (1,3,5,6). The presence of truncated glycan structures called tumor-associated carbohydrate antigens (TACAs) on MUC1 play a role in cancer progression and a loss of apical-basal polarity (5). Carbohydrate-binding partners called lectins are the primary binding partners of TACAs that give rise to the pro-tumor microenvironment and metastasis (5). Given this unique feature, TACAs are a potential target for cancer immunotherapies (5). There are a number of vaccines, drugs, and antibodies targeting MUC1 for treatment of a variety of cancers including breast, lung, and prostate (6). In addition to a role in cancer progression, MUC1, and specifically the CT portion, has been shown to have a positive, anti-inflammatory role in a variety of lung and airway infections (7).

References

1. Khodabakhsh, F., Merikhian, P., Eisavand, M. R., & Farahmand, L. (2021). Crosstalk between MUC1 and VEGF in angiogenesis and metastasis: a review highlighting roles of the MUC1 with an emphasis on metastatic and angiogenic signaling. Cancer cell international. https://doi.org/10.1186/s12935-021-01899-8

2. Nath, S., & Mukherjee, P. (2014). MUC1: a multifaceted oncoprotein with a key role in cancer progression. Trends in molecular medicine. https://doi.org/10.1016/j.molmed.2014.02.007

3. Dhar, P., & McAuley, J. (2019). The Role of the Cell Surface Mucin MUC1 as a Barrier to Infection and Regulator of Inflammation. Frontiers in cellular and infection microbiology. https://doi.org/10.3389/fcimb.2019.00117

4. Uniprot (P15941)

5. Beckwith, D. M., & Cudic, M. (2020). Tumor-associated O-glycans of MUC1: Carriers of the glyco-code and targets for cancer vaccine design. Seminars in immunology. https://doi.org/10.1016/j.smim.2020.101389

6. Almasmoum H. (2021). The Roles of Transmembrane Mucins Located on Chromosome 7q22.1 in Colorectal Cancer. Cancer management and research. https://doi.org/10.2147/CMAR.S299089

7. Ballester, B., Milara, J., & Cortijo, J. (2021). The role of mucin 1 in respiratory diseases. European respiratory review : an official journal of the European Respiratory Society. https://doi.org/10.1183/16000617.0149-2020

Long Name

Mucin 1, Cell Surface-associated

Alternate Names

CD227, Episialin, H23AG, KL-6, Mucin-1, PEM, PEMT

Gene Symbol

MUC1

Additional MUC-1 Products

Product Documents for MUC1 Antibody (SM3) - Chimeric - Azide and BSA Free

Certificate of Analysis

To download a Certificate of Analysis, please enter a lot number in the search box below.

Product Specific Notices for MUC1 Antibody (SM3) - Chimeric - Azide and BSA Free

This product is for research use only and is not approved for use in humans or in clinical diagnosis. Primary Antibodies are guaranteed for 1 year from date of receipt.

Loading...
Loading...
Loading...
Loading...
Loading...
Loading...