MTAP Antibody (JE63-74)
Novus Biologicals, part of Bio-Techne | Catalog # NBP3-32610
Recombinant Monoclonal Antibody
Key Product Details
Species Reactivity
Human, Mouse, Rat
Applications
Immunohistochemistry, Immunohistochemistry-Paraffin, Western Blot, Flow Cytometry, Immunocytochemistry/ Immunofluorescence
Label
Unconjugated
Antibody Source
Recombinant Monoclonal Rabbit IgG Clone # JE63-74 expressed in HEK293
Concentration
1 mg/ml
Product Specifications
Immunogen
Recombinant protein within Human MTAP aa 184-283 / 283. (Uniprot: Q13126)
Localization
Cytoplasm, Nucleus.
Clonality
Monoclonal
Host
Rabbit
Isotype
IgG
Theoretical MW
31 kDa.
Disclaimer note: The observed molecular weight of the protein may vary from the listed predicted molecular weight due to post translational modifications, post translation cleavages, relative charges, and other experimental factors.
Disclaimer note: The observed molecular weight of the protein may vary from the listed predicted molecular weight due to post translational modifications, post translation cleavages, relative charges, and other experimental factors.
Description
Novus Biologicals Rabbit MTAP Antibody (JE63-74) (NBP3-32610) is a recombinant monoclonal antibody validated for use in IHC, WB, Flow and ICC/IF. All Novus Biologicals antibodies are covered by our 100% guarantee.
Scientific Data Images for MTAP Antibody (JE63-74)
Western Blot: MTAP Antibody (JE63-74) [NBP3-32610]
Western Blot: MTAP Antibody (JE63-74) [NBP3-32610] - Western blot analysis of MTAP on different lysates with Rabbit anti-MTAP antibody (NBP3-32610) at 1/1,000 dilution.Lane 1: HeLa cell lysate
Lane 2: NIH/3T3 cell lysate
Lane 3: C6 cell lysate
Lysates/proteins at 20 ug/Lane.
Predicted band size: 31 kDa
Observed band size: 31 kDa
Exposure time: 24 seconds;
4-20% SDS-PAGE gel.
Proteins were transferred to a PVDF membrane and blocked with 5% NFDM/TBST for 1 hour at room temperature. The primary antibody (NBP3-32610) at 1/1,000 dilution was used in 5% NFDM/TBST at 4 overnight. Goat Anti-Rabbit IgG - HRP Secondary Antibody at 1/50,000 dilution was used for 1 hour at room temperature.
Immunohistochemistry: MTAP Antibody (JE63-74) [NBP3-32610]
Immunohistochemistry: MTAP Antibody (JE63-74) [NBP3-32610] - Immunofluorescence analysis of paraffin-embedded mouse liver tissue labeling MTAP with Rabbit anti-MTAP antibody (NBP3-32610) at 1/200 dilution.The section was pre-treated using heat mediated antigen retrieval with sodium citrate buffer (pH 6.0) for 2 minutes. The tissues were blocked in 10% negative goat serum for 1 hour at room temperature, washed with PBS, and then probed with the primary antibody (NBP3-32610, green) at 1/200 dilution overnight at 4 ℃, washed with PBS. Goat Anti-Rabbit IgG H&L (iFluor™ 488) was used as the secondary antibody at 1/1,000 dilution. Nuclei were counterstained with DAPI (blue).
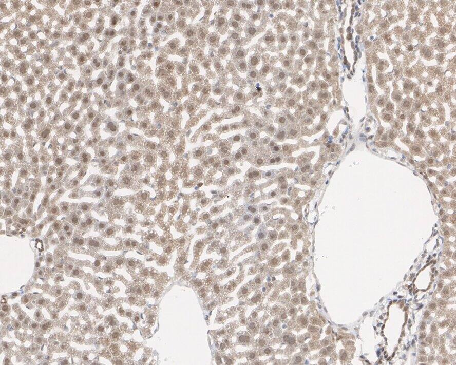
Immunohistochemistry: MTAP Antibody (JE63-74) [NBP3-32610]
Immunohistochemistry: MTAP Antibody (JE63-74) [NBP3-32610] - Immunohistochemical analysis of paraffin-embedded mouse liver tissue with Rabbit anti-MTAP antibody (NBP3-32610) at 1/500 dilution.The section was pre-treated using heat mediated antigen retrieval with sodium citrate buffer (pH 6.0) for 2 minutes. The tissues were blocked in 1% BSA for 20 minutes at room temperature, washed with ddH2O and PBS, and then probed with the primary antibody (NBP3-32610) at 1/500 dilution for 1 hour at room temperature. The detection was performed using an HRP conjugated compact polymer system. DAB was used as the chromogen. Tissues were counterstained with hematoxylin and mounted with DPX.
Applications for MTAP Antibody (JE63-74)
Application
Recommended Usage
Flow Cytometry
1:1000
Immunocytochemistry/ Immunofluorescence
1:100
Immunohistochemistry-Paraffin
1:500
Western Blot
1:1000
Formulation, Preparation, and Storage
Purification
Protein A purified
Formulation
1*TBS (pH7.4), 0.05% BSA and 40% Glycerol
Preservative
0.05% Sodium Azide
Concentration
1 mg/ml
Shipping
The product is shipped with polar packs. Upon receipt, store it immediately at the temperature recommended below.
Stability & Storage
Store at 4C short term. Aliquot and store at -20C long term. Avoid freeze-thaw cycles.
Background: MTAP
Long Name
5'-Methylthioadenosine Phosphorylase
Alternate Names
BDMF, C86fus, DMSFH, DMSMFH, HEL-249, LGMBF, MTAPase
Gene Symbol
MTAP
Additional MTAP Products
Product Documents for MTAP Antibody (JE63-74)
Product Specific Notices for MTAP Antibody (JE63-74)
This product is for research use only and is not approved for use in humans or in clinical diagnosis. Primary Antibodies are guaranteed for 1 year from date of receipt.
Loading...
Loading...
Loading...
Loading...
Loading...