Skip to main content

MSH3 Antibody (CL14059) - BSA Free

Novus Biologicals, part of Bio-Techne | Catalog # NBP3-24587

Novus Biologicals, part of Bio-Techne
Catalog #
Availability
Size / Price
Qty
Loading...
NBP3-24587-25ul
NBP3-24587-100ul

Key Product Details

Species Reactivity

Validated:

Human

Predicted:

Mouse (100%), Rat (100%). Backed by our 100% Guarantee.

Applications

Immunohistochemistry, Immunohistochemistry-Paraffin, Western Blot, Immunocytochemistry/ Immunofluorescence

Label

Unconjugated

Antibody Source

Monoclonal Mouse IgG1 Clone # CL14059

Format

BSA Free

Concentration

Concentrations vary lot to lot. See vial label for concentration. If unlisted please contact technical services.

Product Specifications

Immunogen

This antibody was developed using a synthetic peptide derived from P20585, with the exact immunogen sequence remaining proprietary.

Clonality

Monoclonal

Host

Mouse

Isotype

IgG1

Description

Novus Biologicals Mouse MSH3 Antibody (CL14059) - BSA Free (NBP3-24587) is a monoclonal antibody validated for use in IHC, WB and ICC/IF. All Novus Biologicals antibodies are covered by our 100% guarantee.

Scientific Data Images for MSH3 Antibody (CL14059) - BSA Free

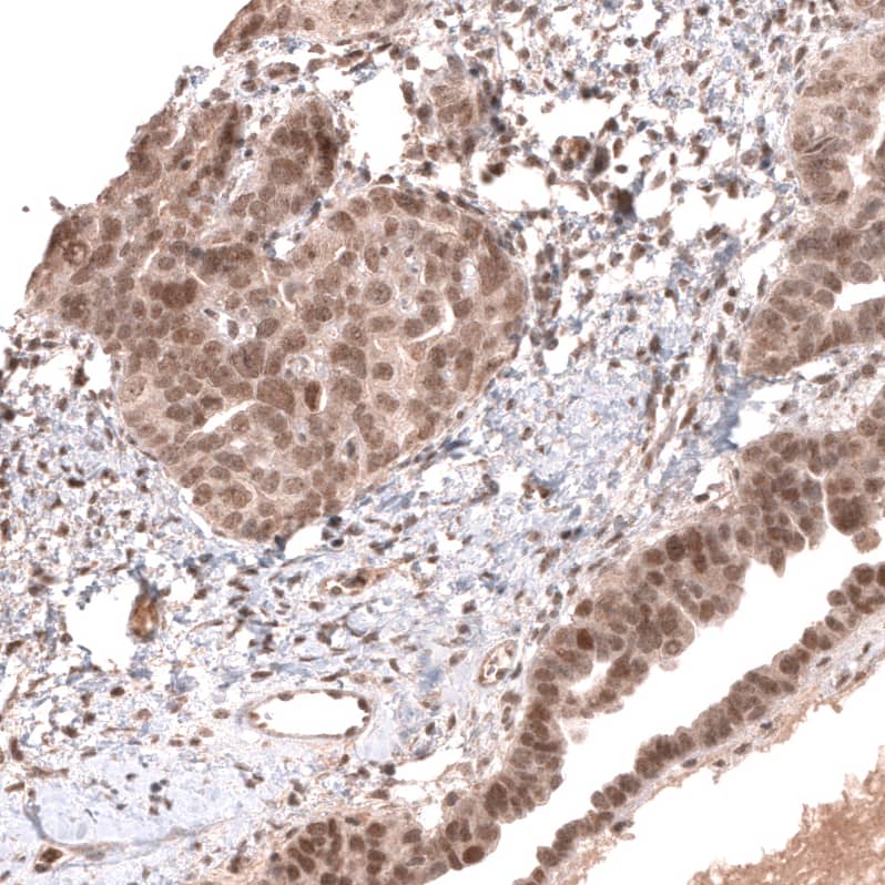
Immunohistochemistry-Paraffin: MSH3 Antibody (CL14059) [NBP3-24587]

Staining of human breast cancer shows moderate to strong nuclear positivity in tumor cells.

Western Blot: MSH3 Antibody (CL14059) [NBP3-24587]

Western blot analysis in human cell line U-251 MG.

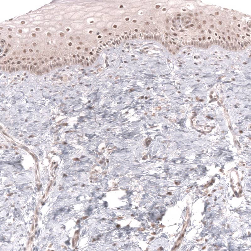
Immunohistochemistry-Paraffin: MSH3 Antibody (CL14059) [NBP3-24587]

Staining of human cervix, uterine shows moderate nuclear positivity in squamous epithelial cells.

Applications for MSH3 Antibody (CL14059) - BSA Free

Application
Recommended Usage

Immunocytochemistry/ Immunofluorescence

2-10 ug/ml

Immunohistochemistry

1:50 - 1:200

Immunohistochemistry-Paraffin

1:50 - 1:200

Western Blot

1ug/ml
Application Notes
ICC/IF, PFA/Triton X-100, IHC-P, Retrieval method: HIER pH6

Formulation, Preparation, and Storage

Purification

Protein A purified

Formulation

PBS (pH 7.2) and 40% Glycerol

Format

BSA Free

Preservative

0.02% Sodium Azide

Concentration

Concentrations vary lot to lot. See vial label for concentration. If unlisted please contact technical services.

Shipping

The product is shipped with polar packs. Upon receipt, store it immediately at the temperature recommended below.

Stability & Storage

Store at 4C short term. Aliquot and store at -20C long term. Avoid freeze-thaw cycles.

Background: MSH3

The function of MSH3 is unknown. It is probably a DNA-repair protein. Defects in MSH3 are a cause of susceptibility to endometrial cancer.

Alternate Names

Divergent upstream protein, DNA mismatch repair protein Msh3, DUC1, DUG, DUPMGC163306, hMSH3, Mismatch repair protein 1, MRP1MGC163308, mutS (E. coli) homolog 3, mutS homolog 3 (E. coli)

Gene Symbol

MSH3

Additional MSH3 Products

Product Documents for MSH3 Antibody (CL14059) - BSA Free

Certificate of Analysis

To download a Certificate of Analysis, please enter a lot number in the search box below.

Product Specific Notices for MSH3 Antibody (CL14059) - BSA Free

This product is for research use only and is not approved for use in humans or in clinical diagnosis. Primary Antibodies are guaranteed for 1 year from date of receipt.

Loading...
Loading...
Loading...
Loading...